Skip to main content

Atlastin-3 Antibody (PSH02-47)

Novus Biologicals, part of Bio-Techne | Catalog # NBP3-32060

Recombinant Monoclonal Antibody
Novus Biologicals, part of Bio-Techne
Catalog #
Availability
Size / Price
Qty
Loading...
NBP3-32060

Key Product Details

Species Reactivity

Human, Mouse, Rat, Monkey

Applications

Immunohistochemistry, Immunohistochemistry-Paraffin, Western Blot, Flow Cytometry, Immunocytochemistry/ Immunofluorescence

Label

Unconjugated

Antibody Source

Recombinant Monoclonal Rabbit IgG Clone # PSH02-47 expressed in HEK293

Concentration

1 mg/ml

Product Specifications

Immunogen

Recombinant protein within human Atlastin-3 aa 1-488 / 541. (Uniprot: Q6DD88)

Localization

Endoplasmic reticulum membrane.

Clonality

Monoclonal

Host

Rabbit

Isotype

IgG

Theoretical MW

61 kDa.
Disclaimer note: The observed molecular weight of the protein may vary from the listed predicted molecular weight due to post translational modifications, post translation cleavages, relative charges, and other experimental factors.

Description

Novus Biologicals Rabbit Atlastin-3 Antibody (PSH02-47) (NBP3-32060) is a recombinant monoclonal antibody validated for use in IHC, WB, Flow and ICC/IF. All Novus Biologicals antibodies are covered by our 100% guarantee.

Scientific Data Images for Atlastin-3 Antibody (PSH02-47)

Atlastin-3 Antibody (PSH02-47)

Western Blot: Atlastin-3 Antibody (PSH02-47) [NBP3-32060]

Western Blot: Atlastin-3 Antibody (PSH02-47) [NBP3-32060] - Western blot analysis of Atlastin-3 on different lysates with Rabbit anti-Atlastin-3 antibody (NBP3-32060) at 1/1,000 dilution.

Lane 1: HeLa cell lysate
Lane 2: Jurkat cell lysate
Lane 3: A549 cell lysate
Lane 4: HepG2 cell lysate
Lane 5: COS-1 cell lysate
Lane 6: NIH/3T3 cell lysate
Lane 7: RAW264.7 cell lysate
Lane 8: Neuro-2a cell lysate
Lane 9: PC-12 cell lysate
Lane 10: L6 cell lysate
Lane 11: Mouse liver tissue lysate
Lane 12: Rat liver tissue lysate

Lysates/proteins at 30 ug/Lane.

Predicted band size: 61 kDa
Observed band size: 61 kDa

Exposure time: 30 seconds;

4-20% SDS-PAGE gel.

Proteins were transferred to a PVDF membrane and blocked with 5% NFDM/TBST for 1 hour at room temperature. The primary antibody (NBP3-32060) at 1/1,000 dilution was used in 5% NFDM/TBST at room temperature for 2 hours. Goat Anti-Rabbit IgG - HRP Secondary Antibody at 1/50,000 dilution was used for 1 hour at room temperature.
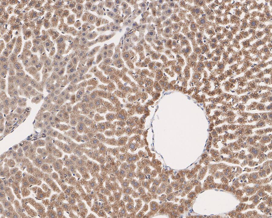
Atlastin-3 Antibody (PSH02-47)

Immunohistochemistry: Atlastin-3 Antibody (PSH02-47) [NBP3-32060]

Immunohistochemistry: Atlastin-3 Antibody (PSH02-47) [NBP3-32060] - Immunohistochemical analysis of paraffin-embedded mouse liver tissue with Rabbit anti-Atlastin-3 antibody (NBP3-32060) at 1/1,000 dilution.

The section was pre-treated using heat mediated antigen retrieval with Tris-EDTA buffer (pH 9.0) for 20 minutes. The tissues were blocked in 1% BSA for 20 minutes at room temperature, washed with ddH2O and PBS, and then probed with the primary antibody (NBP3-32060) at 1/1,000 dilution for 1 hour at room temperature. The detection was performed using an HRP conjugated compact polymer system. DAB was used as the chromogen. Tissues were counterstained with hematoxylin and mounted with DPX.
Atlastin-3 Antibody (PSH02-47)

Immunocytochemistry/ Immunofluorescence: Atlastin-3 Antibody (PSH02-47) [NBP3-32060]

Immunocytochemistry/ Immunofluorescence: Atlastin-3 Antibody (PSH02-47) [NBP3-32060] - Immunocytochemistry analysis of HeLa cells labeling Atlastin-3 with Rabbit anti-Atlastin-3 antibody (NBP3-32060) at 1/100 dilution.

Cells were fixed in 4% paraformaldehyde for 20 minutes at room temperature, permeabilized with 0.1% Triton X-100 in PBS for 5 minutes at room temperature, then blocked with 1% BSA in 10% negative goat serum for 1 hour at room temperature. Cells were then incubated with Rabbit anti-Atlastin-3 antibody (NBP3-32060) at 1/100 dilution in 1% BSA in PBST overnight at 4 ℃. Goat Anti-Rabbit IgG H&L (iFluor™ 488) was used as the secondary antibody at 1/1,000 dilution. PBS instead of the primary antibody was used as the secondary antibody only control. Nuclear DNA was labelled in blue with DAPI.

Beta tubulin (red) was stained at 1/100 dilution overnight at +4℃. Goat Anti-Mouse IgG H&L (iFluor™ 594) was used as the secondary antibody at 1/1,000 dilution.

Applications for Atlastin-3 Antibody (PSH02-47)

Application
Recommended Usage

Flow Cytometry

1:1000

Immunocytochemistry/ Immunofluorescence

1:100

Immunohistochemistry-Paraffin

1:1000

Western Blot

1:1000

Formulation, Preparation, and Storage

Purification

Protein A purified

Formulation

PBS (pH7.4), 0.1% BSA and 40% Glycerol

Preservative

0.05% Sodium Azide

Concentration

1 mg/ml

Shipping

The product is shipped with polar packs. Upon receipt, store it immediately at the temperature recommended below.

Stability & Storage

Store at 4C short term. Aliquot and store at -20C long term. Avoid freeze-thaw cycles.

Background: Atlastin-3

GTPase tethering membranes through formation of trans-homooligomer and mediating homotypic fusion of endoplasmic reticulum membranes. Functions in endoplasmic reticulum tubular network biogenesis

Alternate Names

atlastin 3, atlastin GTPase 3, atlastin-3, DKFZp564J0863, EC 3.6.5.-

Gene Symbol

ATL3

Additional Atlastin-3 Products

Product Documents for Atlastin-3 Antibody (PSH02-47)

Certificate of Analysis

To download a Certificate of Analysis, please enter a lot number in the search box below.

Product Specific Notices for Atlastin-3 Antibody (PSH02-47)

This product is for research use only and is not approved for use in humans or in clinical diagnosis. Primary Antibodies are guaranteed for 1 year from date of receipt.

Loading...
Loading...
Loading...
Loading...
Loading...