Skip to main content

ATG5 Antibody (ATG5/2101)

Novus Biologicals, part of Bio-Techne | Catalog # NBP3-07889

Novus Biologicals, part of Bio-Techne
Catalog #
Availability
Size / Price
Qty
Loading...
NBP3-07889-100ug
NBP3-07889-20ug
Conjugate
Catalog #

Key Product Details

Species Reactivity

Human

Applications

Immunohistochemistry-Paraffin, Western Blot, ELISA, Protein Array

Label

Unconjugated

Antibody Source

Monoclonal Mouse IgG1 kappa Clone # ATG5/2101

Concentration

0.2 mg/ml

Product Specifications

Immunogen

Recombinant fragment of human ATG5 protein (around aa 1-119) (exact sequence is proprietary) (Uniprot: Q9H1Y0)

Localization

Cytoplasm

Marker

Autophagy Marker

Clonality

Monoclonal

Host

Mouse

Isotype

IgG1 kappa

Description

200ug/ml of antibody purified from Bioreactor Concentrate by Protein A or G. Prepared in 10 mM PBS with 0.05% BSA & 0.05% azide. Also available WITHOUT BSA & azide at 1.0 mg/ml. (NBP3-08504)

Antibody with azide - store at 2 to 8C. Antibody without azide - store at -20 to -80C.

Scientific Data Images for ATG5 Antibody (ATG5/2101)

Western Blot: ATG5 Antibody (ATG5/2101) [NBP3-07889]

Western Blot: ATG5 Antibody (ATG5/2101) [NBP3-07889]

Western Blot: ATG5 Antibody (ATG5/2101) [NBP3-07889] - Western Blot Analysis of THP-1 cell and human Brain tissue lysate using ATG5 Mouse Monoclonal Antibody (ATG5/2101).
Immunohistochemistry-Paraffin: ATG5 Antibody (ATG5/2101) [NBP3-07889]

Immunohistochemistry-Paraffin: ATG5 Antibody (ATG5/2101) [NBP3-07889]

Immunohistochemistry-Paraffin: ATG5 Antibody (ATG5/2101) [NBP3-07889] - Formalin-fixed, paraffin-embedded human Endometrium stained with ATG5 Mouse Monoclonal Antibody (ATG5/2101).
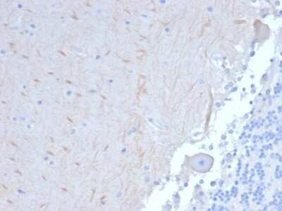
Immunohistochemistry-Paraffin: ATG5 Antibody (ATG5/2101) [NBP3-07889]

Immunohistochemistry-Paraffin: ATG5 Antibody (ATG5/2101) [NBP3-07889]

Immunohistochemistry-Paraffin: ATG5 Antibody (ATG5/2101) [NBP3-07889] - Formalin-fixed, paraffin-embedded human Brain stained with ATG5 Mouse Monoclonal Antibody (ATG5/2101).

Applications for ATG5 Antibody (ATG5/2101)

Application
Recommended Usage

ELISA

1-5 ug/ml

Immunohistochemistry-Paraffin

1-2 ug/ml

Western Blot

1-2 ug/ml
Application Notes
ELISA: For coating use Ab at 1-5ug/ml, order Ab without BSA.
Immunohistochemistry (Formalin-fixed): 1-2ug/ml for 30 min at RT. Staining of formalin-fixed tissues requires heating tissue sections in 10mM Tris with 1mM EDTA, pH 9.0, for 45 min at 95C followed by cooling at RT for 20 minutes.
Optimal dilution for a specific application should be determined.

Formulation, Preparation, and Storage

Purification

Protein A or G purified

Formulation

10 mM PBS with 0.05% BSA

Preservative

0.05% Sodium Azide

Concentration

0.2 mg/ml

Shipping

The product is shipped with polar packs. Upon receipt, store it immediately at the temperature recommended below.

Stability & Storage

Store at 4C.

Background: ATG5

Atg5, Autophagy related 5 or autophagy protein 5 (theoretical molecular weight 32 kDa), belongs to a group of core autophagy-related proteins first identified in yeast and later in eukaryotic cells. Atg proteins play essential roles in the process of macroautophagy. Atg5 is considered a core autophagy protein, for its role in the formation of the autophagosome, a double membrane vesicle which engulfs proteins and organelles for delivery to the lysosome and subsequent degradation (1). Atg5 participates in the process of phagophore elongation by interacting with the ubiquitin-like protein Atg12. Formation of the Atg12-Atg5 conjugate is dependent on the activities of Atg7 (E1 ubiquitin-activating like enzyme) and Atg10 (E2 ubiquitin-activating like enzyme). Non-covalent interaction between the Atg12-Atg5 conjugate and Atg16L1, allows for the formation of a large complex which associates with the nascent phagophore. The Atg16L1 complex dissociates from the autophagosome once it is fully formed (1,2).

In the context of its role in autophagy, Atg5 plays diverse physiologically relevant roles. For example, Atg5 together with Atg7 are required for adipogenesis (3). Recently, Atg5 has been implicated in the process of B-cell receptor polarization and antigen presentation (4). In addition to its role in autophagy, Atg5 is implicated in apoptotic cell death. Interaction of Atg5 with FADD (Fas-associated protein with death domain) is involved in cell death induced by IFN-gamma. A truncated form of Atg5, a 24kDa fragment, leads to cell death by interacting with Bcl-xl and inhibiting its anti-apoptotic activity (5). Other Atg5 interacting partners include interleukin-beta (IL-beta) converting enzyme and nucleotide binding oligomerization domain protein 1, which suggest that Atg5 may play other biologically relevant roles (3).

References

1. Yang, Z., & Klionsky, D. J. (2010). Mammalian autophagy: Core molecular machinery and signaling regulation. Current Opinion in Cell Biology. https://doi.org/10.1016/j.ceb.2009.11.014

2. Rubinsztein, D. C., Shpilka, T., & Elazar, Z. (2012). Mechanisms of autophagosome biogenesis. Current Biology. https://doi.org/10.1016/j.cub.2011.11.034

3. Subramani, S., & Malhotra, V. (2013). Non-autophagic roles of autophagy-related proteins. EMBO Reports. https://doi.org/10.1038/embor.2012.220

4. Arbogast, F., Arnold, J., Hammann, P., Kuhn, L., Chicher, J., Murera, D., Gros, F. (2019). ATG5 is required for B cell polarization and presentation of particulate antigens. Autophagy. https://doi.org/10.1080/15548627.2018.1516327

5. Luo, S., & Rubinsztein, D. C. (2007). Atg5 and Bcl-2 provide novel insights into the interplay between apoptosis and autophagy. Cell Death and Differentiation. https://doi.org/10.1038/sj.cdd.4402149

Long Name

ATG5 Autophagy Related 5 Homolog

Alternate Names

APG5, ASP

Gene Symbol

ATG5

UniProt

Additional ATG5 Products

Product Documents for ATG5 Antibody (ATG5/2101)

Certificate of Analysis

To download a Certificate of Analysis, please enter a lot number in the search box below.

Product Specific Notices for ATG5 Antibody (ATG5/2101)

This product is for research use only and is not approved for use in humans or in clinical diagnosis. Primary Antibodies are guaranteed for 1 year from date of receipt.

Loading...
Loading...
Loading...
Loading...