Skip to main content

ATG4C Antibody (JE59-99)

Novus Biologicals, part of Bio-Techne | Catalog # NBP3-32059

Recombinant Monoclonal Antibody
Novus Biologicals, part of Bio-Techne
Catalog #
Availability
Size / Price
Qty
Loading...
NBP3-32059

Key Product Details

Species Reactivity

Human, Mouse

Applications

Flow Cytometry, Immunocytochemistry/ Immunofluorescence, Immunohistochemistry, Immunohistochemistry-Paraffin, Western Blot

Label

Unconjugated

Antibody Source

Recombinant Monoclonal Rabbit IgG Clone # JE59-99 expressed in HEK293

Concentration

1 mg/ml

Product Specifications

Immunogen

Recombinant protein within Human ATG4C aa 309-458 / 458. (Uniprot: Q96DT6)

Localization

Cytoplasm.

Clonality

Monoclonal

Host

Rabbit

Isotype

IgG

Theoretical MW

52 kDa.
Disclaimer note: The observed molecular weight of the protein may vary from the listed predicted molecular weight due to post translational modifications, post translation cleavages, relative charges, and other experimental factors.

Description

Novus Biologicals Rabbit ATG4C Antibody (JE59-99) (NBP3-32059) is a recombinant monoclonal antibody validated for use in IHC, WB, Flow and ICC/IF. All Novus Biologicals antibodies are covered by our 100% guarantee.

Scientific Data Images for ATG4C Antibody (JE59-99)

ATG4C Antibody (JE59-99)

Western Blot: ATG4C Antibody (JE59-99) [NBP3-32059]

Western Blot: ATG4C Antibody (JE59-99) [NBP3-32059] - Western blot analysis of ATG4C on different lysates with Rabbit anti-ATG4C antibody (NBP3-32059) at 1/1,000 dilution.

Lane 1: HeLa cell lysate
Lane 2: Jurkat cell lysate
Lane 3: Raji cell lysate
Lane 4: HEK-293 cell lysate

Lysates/proteins at 20 ug/Lane.

Predicted band size: 52 kDa
Observed band size: 52 kDa

Exposure time: 5 minutes;

4-20% SDS-PAGE gel.

Proteins were transferred to a PVDF membrane and blocked with 5% NFDM/TBST for 1 hour at room temperature. The primary antibody (NBP3-32059) at 1/1,000 dilution was used in 5% NFDM/TBST at 4C overnight. Goat Anti-Rabbit IgG - HRP Secondary Antibody at 1/50,000 dilution was used for 1 hour at room temperature.
ATG4C Antibody (JE59-99)

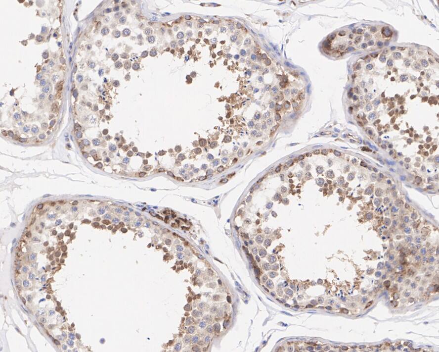
Immunohistochemistry: ATG4C Antibody (JE59-99) [NBP3-32059]

Immunohistochemistry: ATG4C Antibody (JE59-99) [NBP3-32059] - Immunohistochemical analysis of paraffin-embedded human testis tissue with Rabbit anti-ATG4C antibody (NBP3-32059) at 1/1,000 dilution.

The section was pre-treated using heat mediated antigen retrieval with Tris-EDTA buffer (pH 9.0) for 20 minutes. The tissues were blocked in 1% BSA for 20 minutes at room temperature, washed with ddH2O and PBS, and then probed with the primary antibody (NBP3-32059) at 1/1,000 dilution for 1 hour at room temperature. The detection was performed using an HRP conjugated compact polymer system. DAB was used as the chromogen. Tissues were counterstained with hematoxylin and mounted with DPX.
ATG4C Antibody (JE59-99)

Immunocytochemistry/ Immunofluorescence: ATG4C Antibody (JE59-99) [NBP3-32059]

Immunocytochemistry/ Immunofluorescence: ATG4C Antibody (JE59-99) [NBP3-32059] - Immunocytochemistry analysis of Jurkat cells labeling ATG4C with Rabbit anti-ATG4C antibody (NBP3-32059) at 1/100 dilution.

Cells were fixed in 4% paraformaldehyde for 20 minutes at room temperature, permeabilized with 0.1% Triton X-100 in PBS for 5 minutes at room temperature, then blocked with 1% BSA in 10% negative goat serum for 1 hour at room temperature. Cells were then incubated with Rabbit anti-ATG4C antibody (NBP3-32059) at 1/100 dilution in 1% BSA in PBST overnight at 4 ℃. Goat Anti-Rabbit IgG H&L (iFluor™ 488) was used as the secondary antibody at 1/1,000 dilution. PBS instead of the primary antibody was used as the secondary antibody only control. Nuclear DNA was labelled in blue with DAPI.

Applications for ATG4C Antibody (JE59-99)

Application
Recommended Usage

Flow Cytometry

1:1000

Immunocytochemistry/ Immunofluorescence

1:100

Immunohistochemistry-Paraffin

1:1000

Western Blot

1:1000

Formulation, Preparation, and Storage

Purification

Protein A purified

Formulation

1*TBS (pH7.4), 0.05% BSA and 40% Glycerol

Preservative

0.05% Sodium Azide

Concentration

1 mg/ml

Shipping

The product is shipped with polar packs. Upon receipt, store it immediately at the temperature recommended below.

Stability & Storage

Store at 4C short term. Aliquot and store at -20C long term. Avoid freeze-thaw cycles.

Background: ATG4C

ATG4C is a cysteine protease required for autophagy, which cleaves the C-terminal part of either MAP1LC3, GABARAPL2 or GABARAP, allowing the liberation of form I. A subpopulation of form I is subsequently converted to a smaller form (form II). Form II, with a revealed C-terminal glycine, is considered to be the phosphatidylethanolamine (PE)-conjugated form, and has the capacity for the binding to autophagosomes.

Alternate Names

APG4 autophagy 4 homolog C, APG4 autophagy 4 homolog C (S. cerevisiae), APG4C, ATG4 autophagy related 4 homolog C (S. cerevisiae), AUT (S. cerevisiae)-like 1, cysteine endopeptidase; AUT-like 1, cysteineendopeptidase (S. cerevisiae), AUTL1, AUTL3APG4-C, AUT-like 1, cysteine endopeptidase, AUT-like 3 cysteine endopeptidase, autophagin-3, Autophagy-related cysteine endopeptidase 3, Autophagy-related protein 4 homolog C, cysteine protease ATG4C, EC 3.4.22, EC 3.4.22.-, FLJ14867

Gene Symbol

ATG4C

Additional ATG4C Products

Product Documents for ATG4C Antibody (JE59-99)

Certificate of Analysis

To download a Certificate of Analysis, please enter a lot number in the search box below.

Product Specific Notices for ATG4C Antibody (JE59-99)

This product is for research use only and is not approved for use in humans or in clinical diagnosis. Primary Antibodies are guaranteed for 1 year from date of receipt.

Loading...
Loading...
Loading...
Loading...
Loading...