Skip to main content

ATG2B Antibody - BSA Free

Novus Biologicals, part of Bio-Techne | Catalog # NBP3-47929

Novus Biologicals, part of Bio-Techne
Catalog #
Availability
Size / Price
Qty
Loading...
NBP3-47929

Key Product Details

Species Reactivity

Human

Applications

Immunohistochemistry, Western Blot, ELISA, Immunocytochemistry/ Immunofluorescence

Label

Unconjugated

Antibody Source

Polyclonal Rabbit IgG

Format

BSA Free

Concentration

Please see the vial label for concentration. If unlisted please contact technical services.

Product Specifications

Immunogen

ATG2 autophagy related 2 homolog B. (Uniprot# Q96BY7)

Clonality

Polyclonal

Host

Rabbit

Isotype

IgG

Description

Novus Biologicals Rabbit ATG2B Antibody - BSA Free (NBP3-47929) is a polyclonal antibody validated for use in IHC, WB, ELISA and ICC/IF. All Novus Biologicals antibodies are covered by our 100% guarantee.

Scientific Data Images for ATG2B Antibody - BSA Free

ATG2B Antibody - BSA Free

Western Blot: ATG2B Antibody - BSA Free [NBP3-47929] -

Western Blot: ATG2B Antibody - BSA Free [NBP3-47929] - HeLa cells were subjected to SDS PAGE followed by western blot with (ATG2B Antibody) at dilution of 1:600
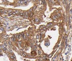
ATG2B Antibody - BSA Free

Immunohistochemistry: ATG2B Antibody - BSA Free [NBP3-47929] -

Immunohistochemistry: ATG2B Antibody - BSA Free [NBP3-47929] - Immunohistochemistry of paraffin-embedded human pancreas cancer tissue slide using (ATG2B Antibody) at dilution of 1:50

Applications for ATG2B Antibody - BSA Free

Application
Recommended Usage

Immunocytochemistry/ Immunofluorescence

1:10-1:100

Immunohistochemistry

1:50-1:500

Western Blot

1:500-1:1000
Application Notes
Theoretical Molecular Weight is 240-250 kDa

Formulation, Preparation, and Storage

Purification

Immunogen affinity purified

Formulation

PBS, 50% Glycerol, pH (7.3)

Format

BSA Free

Preservative

0.02% Sodium Azide

Concentration

Please see the vial label for concentration. If unlisted please contact technical services.

Shipping

The product is shipped with polar packs. Upon receipt, store it immediately at the temperature recommended below.

Stability & Storage

Store at -20C. Avoid freeze-thaw cycles.

Background: ATG2B

Alternate Names

ATG2 autophagy related 2 homolog B (S. cerevisiae), C14orf103, FLJ10242

Gene Symbol

ATG2B

Additional ATG2B Products

Product Documents for ATG2B Antibody - BSA Free

Certificate of Analysis

To download a Certificate of Analysis, please enter a lot number in the search box below.

Product Specific Notices for ATG2B Antibody - BSA Free

This product is for research use only and is not approved for use in humans or in clinical diagnosis. Primary Antibodies are guaranteed for 1 year from date of receipt.

Loading...
Loading...
Loading...
Loading...