Skip to main content

ATF3 Antibody (CL1685) - Azide and BSA Free

Novus Biologicals, part of Bio-Techne | Catalog # NBP3-43991

Novus Biologicals, part of Bio-Techne

Key Product Details

Validated by

Orthogonal Validation

Species Reactivity

Human

Applications

Immunohistochemistry-Paraffin, Immunocytochemistry/ Immunofluorescence

Label

Unconjugated

Antibody Source

Monoclonal Mouse IgG1 Clone # CL1685

Format

Azide and BSA Free

Concentration

LYOPH mg/ml

Product Specifications

Immunogen

This antibody was generated using a recombinant protein sequence of P18847, with the exact immunogen sequence remaining proprietary.

Clonality

Monoclonal

Host

Mouse

Isotype

IgG1

Description

Novus Biologicals Mouse ATF3 Antibody (CL1685) - Azide and BSA Free (NBP2-34489) is a monoclonal antibody validated for use in IHC and ICC/IF. All Novus Biologicals antibodies are covered by our 100% guarantee.

Scientific Data Images for ATF3 Antibody (CL1685) - Azide and BSA Free

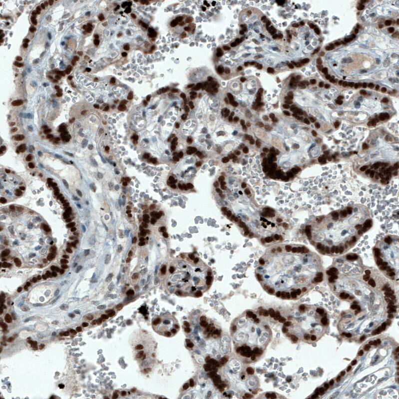
ATF3 Antibody (CL1685) - Azide and BSA Free Immunohistochemistry-Paraffin: ATF3 Antibody [NBP3-43991]

Immunohistochemistry-Paraffin: ATF3 Antibody [NBP3-43991]

Analysis in human placenta and tonsil tissues using NBP3-43991 antibody. Corresponding ATF3 RNA-seq data are presented for the same tissues.
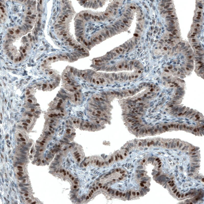
ATF3 Antibody (CL1685) - Azide and BSA Free Immunohistochemistry-Paraffin: ATF3 Antibody [NBP3-43991]

Immunohistochemistry-Paraffin: ATF3 Antibody [NBP3-43991]

Staining of human fallopian tube shows moderate to strong nuclear positivity in glandular cells.
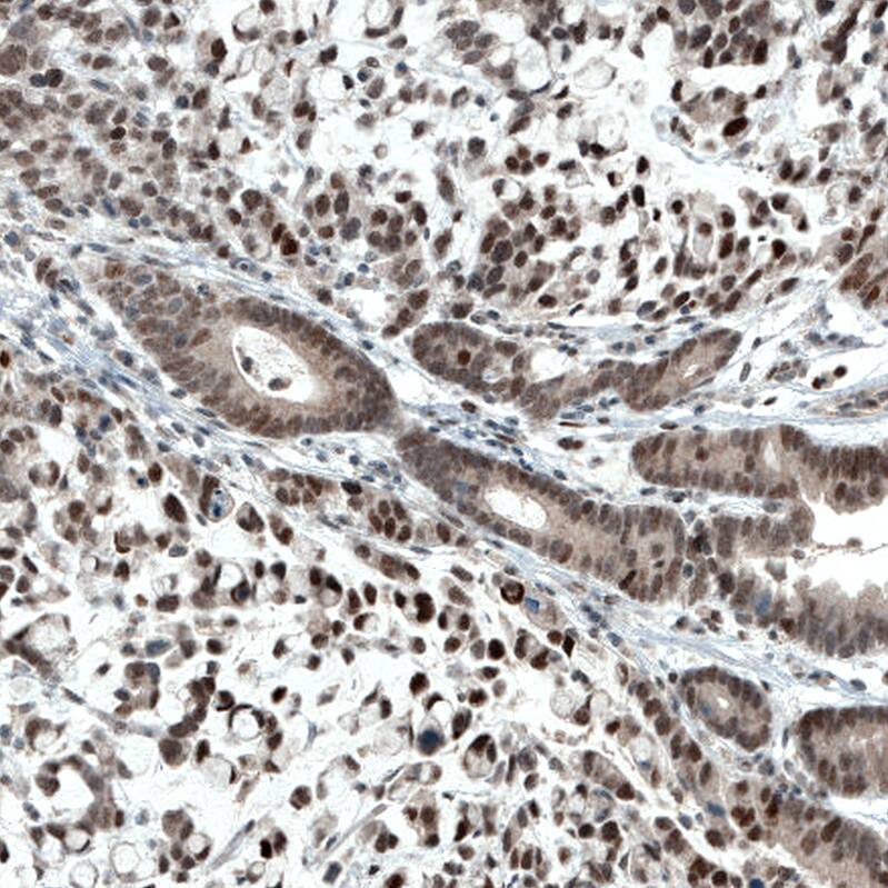
ATF3 Antibody (CL1685) - Azide and BSA Free Immunohistochemistry-Paraffin: ATF3 Antibody [NBP3-43991]

Immunohistochemistry-Paraffin: ATF3 Antibody [NBP3-43991]

Staining of human placenta shows strong nuclear positivity in trophoblastic cells.

Applications for ATF3 Antibody (CL1685) - Azide and BSA Free

Application
Recommended Usage

Immunocytochemistry/ Immunofluorescence

2-10 ug/ml

Immunohistochemistry-Paraffin

1:20 - 1:50
Application Notes
For IHC-Paraffin, HIER pH 6 retrieval is recommended. Immunocytochemistry/ Immunofluorescence/IF Fixation/Permeabilization: PFA/Triton X-100.

Formulation, Preparation, and Storage

Purification

Protein A purified

Reconstitution

Centrifuge the vial of lyophilized antibody at 12,000 x g for 20 seconds. Reconstitute by adding sterile, distilled water to achieve a final antibody concentration of 1mg/ml.

Formulation

Lyophilized from a 0.2 um filtered solution in PBS with Trehalose

Format

Azide and BSA Free

Preservative

No Preservative

Concentration

LYOPH mg/ml

Shipping

The product is shipped at ambient temperature. Upon receipt, store it immediately at the temperature recommended below.

Stability & Storage

Store at 4C short term. Aliquot and store at -20C long term. Avoid freeze-thaw cycles.

Background: ATF3

Activating transcription factor 3 is a member of the mammalian activation transcription factor/cAMP responsive element-binding (CREB) protein family of transcription factors. Multiple transcript variants encoding two different isoforms have been found for this gene. The longer isoform represses rather than activates transcription from promoters with ATF binding elements. The shorter isoform (deltaZip2) lacks the leucine zipper protein-dimerization motif and does not bind to DNA, and it stimulates transcription presumably by sequestering inhibitory co-factors away from the promoter. It is possible that alternative splicing of the ATF3 gene may be physiologically important in the regulation of target genes.

Alternate Names

activating transcription factor 3cAMP-dependent transcription factor ATF-3, ATF3deltaZip2, ATF3deltaZip2c, ATF3deltaZip3, cyclic AMP-dependent transcription factor ATF-3

Gene Symbol

ATF3

Additional ATF3 Products

Product Documents for ATF3 Antibody (CL1685) - Azide and BSA Free

Certificate of Analysis

To download a Certificate of Analysis, please enter a lot number in the search box below.

Product Specific Notices for ATF3 Antibody (CL1685) - Azide and BSA Free

This product is for research use only and is not approved for use in humans or in clinical diagnosis. Primary Antibodies are guaranteed for 1 year from date of receipt.

Loading...
Loading...
Loading...
Loading...
Loading...