ATF2 [p Thr69] Antibody - BSA Free
Novus Biologicals, part of Bio-Techne | Catalog # NB100-81798
Key Product Details
Validated by
Biological Validation
Species Reactivity
Validated:
Human, Mouse, Rat
Cited:
Mouse
Applications
Validated:
Immunohistochemistry, Immunohistochemistry-Paraffin, Western Blot, Immunocytochemistry/ Immunofluorescence
Cited:
Western Blot
Label
Unconjugated
Antibody Source
Polyclonal Rabbit IgG
Format
BSA Free
Concentration
1.0 mg/ml
Product Specifications
Immunogen
The antiserum was produced against synthesized phosphopeptide derived from human ATF2 around the phosphorylation site of threonine 69 or 51 (D-Q-TP-P-T).
Modification
p Thr69
Specificity
Detects endogenous levels of ATF2 only when phosphorylated at threonine 69 or 51.
Clonality
Polyclonal
Host
Rabbit
Isotype
IgG
Theoretical MW
52 kDa.
Disclaimer note: The observed molecular weight of the protein may vary from the listed predicted molecular weight due to post translational modifications, post translation cleavages, relative charges, and other experimental factors.
Disclaimer note: The observed molecular weight of the protein may vary from the listed predicted molecular weight due to post translational modifications, post translation cleavages, relative charges, and other experimental factors.
Description
Novus Biologicals Rabbit ATF2 [p Thr69] Antibody - BSA Free (NB100-81798) is a polyclonal antibody validated for use in IHC, WB and ICC/IF. Anti-ATF2 Antibody: Cited in 1 publication. All Novus Biologicals antibodies are covered by our 100% guarantee.
Scientific Data Images for ATF2 [p Thr69] Antibody - BSA Free
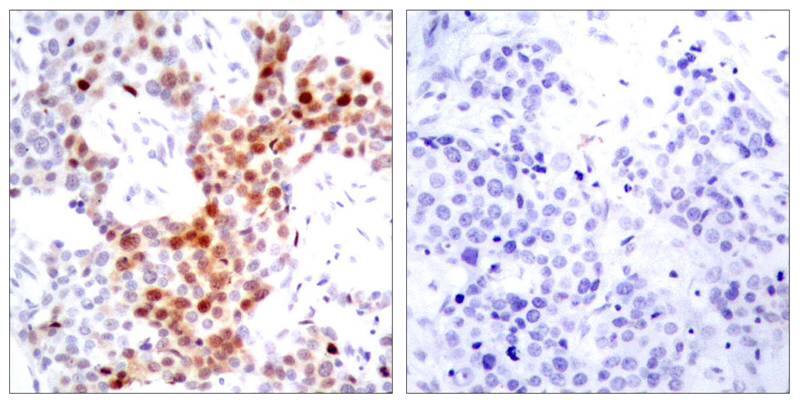
Immunohistochemistry-Paraffin: ATF2 [p Thr69] Antibody [NB100-81798] -
Immunohistochemistry-Paraffin: ATF2 [p Thr69] Antibody [NB100-81798] - Immunohistochemical analysis of paraffin-embedded human breast carcinoma tissue using NB100-81798(left) or the same antibody preincubated with blocking peptide (right).Western Blot: ATF2 [p Thr69] Antibody [NB100-81798] -
Western Blot: ATF2 [p Thr69] Antibody [NB100-81798] - Analysis of extracts from 3T3 cells untreated or treated with Anisomycin using NB100-81798Applications for ATF2 [p Thr69] Antibody - BSA Free
Application
Recommended Usage
Immunocytochemistry/ Immunofluorescence
1:100 - 1:200
Immunohistochemistry
1:50-1:100
Immunohistochemistry-Paraffin
1:50 - 1:100
Western Blot
1:500
Reviewed Applications
Read 1 review rated 4 using NB100-81798 in the following applications:
Formulation, Preparation, and Storage
Purification
Immunogen affinity purified
Formulation
PBS (without Mg2+ and Ca2+), pH 7.4, 150 mM NaCl, 50% glycerol
Format
BSA Free
Preservative
0.02% Sodium Azide
Concentration
1.0 mg/ml
Shipping
The product is shipped with polar packs. Upon receipt, store it immediately at the temperature recommended below.
Stability & Storage
Store at 4C short term. Aliquot and store at -20C long term. Avoid freeze-thaw cycles.
Background: ATF2
Long Name
Activating Transcription Factor 2
Alternate Names
CRE-BP1, CREB2, HB16, mXBP, TREB7
Gene Symbol
ATF2
UniProt
Additional ATF2 Products
Product Documents for ATF2 [p Thr69] Antibody - BSA Free
Product Specific Notices for ATF2 [p Thr69] Antibody - BSA Free
This product is for research use only and is not approved for use in humans or in clinical diagnosis. Primary Antibodies are guaranteed for 1 year from date of receipt.
Loading...
Loading...
Loading...
Loading...