Skip to main content

Ataxin-2 Antibody (HL2886)

Novus Biologicals, part of Bio-Techne | Catalog # NBP3-48745

Recombinant Monoclonal Antibody
Novus Biologicals, part of Bio-Techne
Catalog #
Availability
Size / Price
Qty
Loading...
NBP3-48745

Key Product Details

Species Reactivity

Human, Rat

Applications

Immunohistochemistry, Immunohistochemistry-Paraffin, Western Blot, Immunocytochemistry/ Immunofluorescence

Label

Unconjugated

Antibody Source

Recombinant Monoclonal Rabbit IgG Clone # HL2886

Concentration

Concentrations vary lot to lot. See vial label for concentration. If unlisted please contact technical services.

Product Specifications

Immunogen

Recombinant fragment of human Ataxin-2.

Clonality

Monoclonal

Host

Rabbit

Isotype

IgG

Description

Novus Biologicals Rabbit Ataxin-2 Antibody (HL2886) (NBP3-48745) is a recombinant monoclonal antibody validated for use in IHC, WB and ICC/IF. All Novus Biologicals antibodies are covered by our 100% guarantee.

Scientific Data Images for Ataxin-2 Antibody (HL2886)

Ataxin-2 Antibody (HL2886)

Immunocytochemistry/ Immunofluorescence: Ataxin-2 Antibody (HL2886) [NBP3-48745] -

Ataxin-2 antibody [HL2886] detects Ataxin-2 protein at cytoplasm by immunofluorescent analysis.Sample: HeLa cells were fixed in 4% paraformaldehyde at RT for 15 min.Green: Ataxin-2 stained by Ataxin-2 antibody [HL2886] (NBP3-48745) diluted at 1:500.Red: alpha Tubulin, a cytoskeleton marker, stained by alpha Tubulin antibody [GT114] diluted at 1:1000.Blue: Fluoroshield with DAPI .
Ataxin-2 Antibody (HL2886)

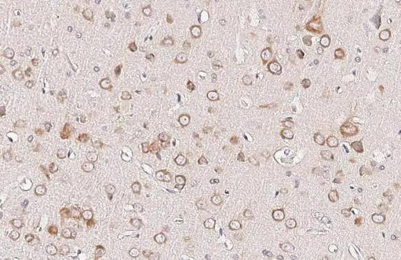
Immunohistochemistry-Paraffin: Ataxin-2 Antibody (HL2886) [NBP3-48745] -

Ataxin-2 antibody [HL2886] detects Ataxin-2 protein by immunohistochemical analysis.Sample: Paraffin-embedded rat brain.Ataxin-2 stained by Ataxin-2 antibody [HL2886] (NBP3-48745) diluted at 1:100.Antigen Retrieval: Citrate buffer, pH 6.0, 15 min
Ataxin-2 Antibody (HL2886)

Western Blot: Ataxin-2 Antibody (HL2886) [NBP3-48745] -

Various whole cell extracts (30 ug) were separated by 5% SDS-PAGE, and the membrane was blotted with Ataxin-2 antibody [HL2886] (NBP3-48745) diluted at 1:1000. The HRP-conjugated anti-rabbit IgG antibody was used to detect the primary antibody.

Applications for Ataxin-2 Antibody (HL2886)

Application
Recommended Usage

Western Blot

1:500-1:3000

Formulation, Preparation, and Storage

Purification

Protein A purified

Formulation

PBS

Preservative

No Preservative

Concentration

Concentrations vary lot to lot. See vial label for concentration. If unlisted please contact technical services.

Shipping

The product is shipped with polar packs. Upon receipt, store it immediately at the temperature recommended below.

Stability & Storage

Store at 4C short term. Aliquot and store at -20C long term. Avoid freeze-thaw cycles.

Background: Ataxin-2

The autosomal dominant cerebellar ataxias (ADCA) are a heterogeneous group of neurodegenerative disorders characterized by progressive degeneration of the cerebellum, brain stem and spinal cord. Clinically, ADCA has been divided into three groups: ADCA types I-III. ADCAI is genetically heterogeneous, with five genetic loci, designated spinocerebellar ataxia (SCA) 1, 2, 3, 4 and 6, being assigned to five different chromosomes. ADCAII, which always presents with retinal degeneration (SCA7), and ADCAIII often referred to as the `pure' cerebellar syndrome (SCA5), are most likely homogeneous disorders. Several SCA genes have been cloned and shown to contain CAG repeats in their coding regions. ADCA is caused by the expansion of the CAG repeats, producing an elongated polyglutamine tract in the corresponding protein. The expanded repeats are variable in size and unstable, usually increasing in size when transmitted to successive generations. The function of the ataxins is not known. This locus has been mapped to chromosome 12, and it has been determined that the diseased allele contains 36-52 CAG repeats, compared to 22-23 in the normal allele. A potential transcript variant, missing an internal coding exon, has been described; however, its full-length nature is not certain.

Alternate Names

ataxin 2, ataxin 2), ataxin-2, ATX2spinocerebellar ataxia 2 (olivopontocerebellar ataxia 2, autosomal dominant, SCA2FLJ46772, Spinocerebellar ataxia type 2 protein, TNRC13, trinucleotide repeat containing 13, Trinucleotide repeat-containing gene 13 protein

Gene Symbol

ATXN2

Additional Ataxin-2 Products

Product Documents for Ataxin-2 Antibody (HL2886)

Certificate of Analysis

To download a Certificate of Analysis, please enter a lot number in the search box below.

Product Specific Notices for Ataxin-2 Antibody (HL2886)

This product is for research use only and is not approved for use in humans or in clinical diagnosis. Primary Antibodies are guaranteed for 1 year from date of receipt.

Loading...
Loading...
Loading...
Loading...