Skip to main content

ATAD3B Antibody - BSA Free

Novus Biologicals, part of Bio-Techne | Catalog # NBP2-32409

Novus Biologicals, part of Bio-Techne
Catalog #
Availability
Size / Price
Qty
Loading...
NBP2-32409
NBP2-32409-25ul

Key Product Details

Species Reactivity

Validated:

Human

Predicted:

Mouse (91%), Rat (91%). Backed by our 100% Guarantee.

Applications

Immunohistochemistry, Immunohistochemistry-Paraffin, Western Blot

Label

Unconjugated

Antibody Source

Polyclonal Rabbit IgG

Format

BSA Free

Concentration

Concentrations vary lot to lot. See vial label for concentration. If unlisted please contact technical services.

Product Specifications

Immunogen

This antibody was developed against a recombinant protein corresponding to amino acids: KAERENADIIREQIRLKASEHRQTVLESIRTA

Clonality

Polyclonal

Host

Rabbit

Isotype

IgG

Description

Novus Biologicals Rabbit ATAD3B Antibody - BSA Free (NBP2-32409) is a polyclonal antibody validated for use in IHC and WB. All Novus Biologicals antibodies are covered by our 100% guarantee.

Scientific Data Images for ATAD3B Antibody - BSA Free

Western Blot: ATAD3B Antibody [NBP2-32409]

Western Blot: ATAD3B Antibody [NBP2-32409]

Western Blot: ATAD3B Antibody [NBP2-32409] - Lane 1: Marker [kDa] 250, 130, 95, 72, 55, 36, 28, 17, 10. Lane 2: Human cell line RT-4. Lane 3: Human cell line U-251MG sp
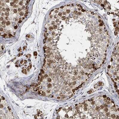
Immunohistochemistry-Paraffin: ATAD3B Antibody [NBP2-32409]

Immunohistochemistry-Paraffin: ATAD3B Antibody [NBP2-32409]

Immunohistochemistry-Paraffin: ATAD3B Antibody [NBP2-32409] - Staining of human testis shows moderate to strong granular cytoplasmic positivity in cells in seminiferous ducts and Leydig cells.
Immunohistochemistry-Paraffin: ATAD3B Antibody [NBP2-32409]

Immunohistochemistry-Paraffin: ATAD3B Antibody [NBP2-32409]

Immunohistochemistry-Paraffin: ATAD3B Antibody [NBP2-32409] - Staining of human tonsil shows strong granular cytoplasmic positivity in lymphoid cells.

Applications for ATAD3B Antibody - BSA Free

Application
Recommended Usage

Immunohistochemistry

1:20 - 1:50

Immunohistochemistry-Paraffin

1:20 - 1:50

Western Blot

0.04-0.4 ug/ml
Application Notes
For IHC-Paraffin, HIER pH 6 retrieval is recommended.

Formulation, Preparation, and Storage

Purification

Immunogen affinity purified

Formulation

PBS (pH 7.2) and 40% Glycerol

Format

BSA Free

Preservative

0.02% Sodium Azide

Concentration

Concentrations vary lot to lot. See vial label for concentration. If unlisted please contact technical services.

Shipping

The product is shipped with polar packs. Upon receipt, store it immediately at the temperature recommended below.

Stability & Storage

Store at 4C short term. Aliquot and store at -20C long term. Avoid freeze-thaw cycles.

Background: ATAD3B

ATAD3A (MIM 612316) and ATAD3B are mitochondrial membrane proteins that contribute to the stabilization of large mitochondrial DNA (mtDNA)-protein complexes called nucleoids (He et al., 2007 [PubMed 17210950]).[supplied by OMIM]

Alternate Names

AAA-ATPase TOB3, ATPase family AAA domain-containing protein 3B, ATPase family, AAA domain containing 3B, KIAA1273TOB3AAA-TOB3

Gene Symbol

ATAD3B

Additional ATAD3B Products

Product Documents for ATAD3B Antibody - BSA Free

Certificate of Analysis

To download a Certificate of Analysis, please enter a lot number in the search box below.

Product Specific Notices for ATAD3B Antibody - BSA Free

This product is for research use only and is not approved for use in humans or in clinical diagnosis. Primary Antibodies are guaranteed for 1 year from date of receipt.

Loading...
Loading...
Loading...
Loading...