Skip to main content

ATAD3B Antibody - BSA Free

Novus Biologicals, part of Bio-Techne | Catalog # NBP1-76587

Novus Biologicals, part of Bio-Techne

Key Product Details

Species Reactivity

Human

Applications

Immunohistochemistry, Immunohistochemistry-Paraffin, Western Blot, ELISA

Label

Unconjugated

Antibody Source

Polyclonal Rabbit IgG

Format

BSA Free

Concentration

1 mg/ml

Product Specifications

Immunogen

Antibody was raised against a 14 amino acid synthetic peptide near the carboxy terminus of human ATAD3B. The immunogen is located within amino acids 570 - 620 of ATAD3B. Amino Acid Squence: ETLTSWSLATDPSY

Specificity

ATAD3B antibody is predicted to not cross-react with other ATAD protein family members. At least three isoforms of ATAD3B are known to exist.

Clonality

Polyclonal

Host

Rabbit

Isotype

IgG

Description

Novus Biologicals Rabbit ATAD3B Antibody - BSA Free (NBP1-76587) is a polyclonal antibody validated for use in IHC, WB and ELISA. All Novus Biologicals antibodies are covered by our 100% guarantee.

Scientific Data Images for ATAD3B Antibody - BSA Free

Western Blot: ATAD3B AntibodyBSA Free [NBP1-76587]

Western Blot: ATAD3B AntibodyBSA Free [NBP1-76587]

Western Blot: ATAD3B Antibody [NBP1-76587] - Human kidney tissue lysate with ATAD3B antibody at (A) 1 and (B) 2 ug/mL .
ATAD3B Antibody - BSA Free

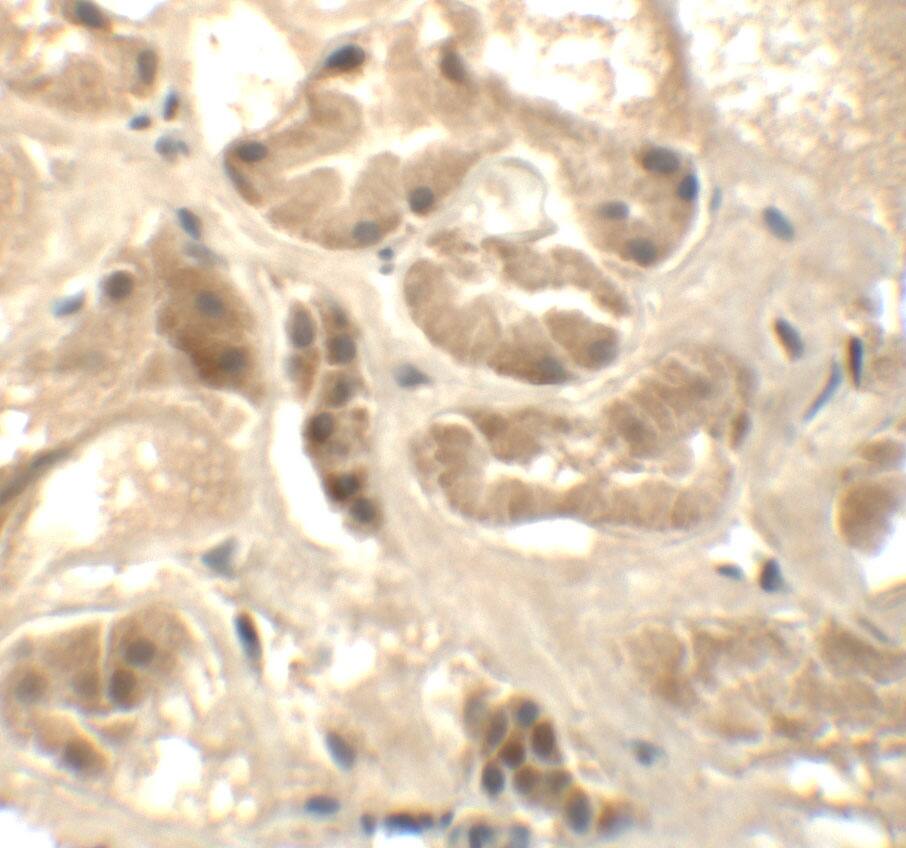
Immunohistochemistry: ATAD3B Antibody - BSA Free [NBP1-76587] -

Immunohistochemistry: ATAD3B Antibody - BSA Free [NBP1-76587] - Immunohistochemistry of ATAD3B in human kidney tissue with ATAD3B antibody at 5 ug/mL.

Applications for ATAD3B Antibody - BSA Free

Application
Recommended Usage

ELISA

1:100-1:2000

Immunohistochemistry

5 ug/ml

Immunohistochemistry-Paraffin

5 ug/ml

Western Blot

1-2 ug/ml

Formulation, Preparation, and Storage

Purification

Peptide affinity purified

Formulation

PBS

Format

BSA Free

Preservative

0.02% Sodium Azide

Concentration

1 mg/ml

Shipping

The product is shipped with polar packs. Upon receipt, store it immediately at the temperature recommended below.

Stability & Storage

Store at 4C short term. Aliquot and store at -20C long term. Avoid freeze-thaw cycles.

Background: ATAD3B

ATAD3B is a member of the AAA ATPase family, a family of proteins that catalyze ATP into ADP and are involved in several cellular functions such as cell-cycle regulation, protein proteolysis and transport. The AAA ATPase family is characterized by a highly conserved AAA motif containing Walker homology sequences and imparting ATPase activity. Mitochondrial membrane proteins ATAD3A/B contribute to the stabilization of nucleoids and may participate in the transformation pathway and the chemosensitivity of oligodendrogliomas. The gene encoding ATAD3A/B/C maps to human chromosome 1 and has been suggested to be an anti-apoptotic marker.

Alternate Names

AAA-ATPase TOB3, ATPase family AAA domain-containing protein 3B, ATPase family, AAA domain containing 3B, KIAA1273TOB3AAA-TOB3

Gene Symbol

ATAD3B

Additional ATAD3B Products

Product Documents for ATAD3B Antibody - BSA Free

Certificate of Analysis

To download a Certificate of Analysis, please enter a lot number in the search box below.

Product Specific Notices for ATAD3B Antibody - BSA Free

This product is for research use only and is not approved for use in humans or in clinical diagnosis. Primary Antibodies are guaranteed for 1 year from date of receipt.

Loading...
Loading...
Loading...
Loading...