ATAD2 Antibody (CL0182) - Azide and BSA Free
Novus Biologicals, part of Bio-Techne | Catalog # NBP3-44437
Conjugate
Catalog #
Forumulation
Catalog #
Key Product Details
Validated by
Knockout/Knockdown, Orthogonal Validation
Species Reactivity
Human
Applications
Immunohistochemistry-Paraffin, Western Blot, Immunocytochemistry/ Immunofluorescence, Simple Western
Label
Unconjugated
Antibody Source
Monoclonal Mouse IgG1 Clone # CL0182
Format
Azide and BSA Free
Concentration
LYOPH mg/ml
Product Specifications
Immunogen
This antibody was generated using a recombinant protein sequence of Q6PL18, with the exact immunogen sequence remaining proprietary.
Clonality
Monoclonal
Host
Mouse
Isotype
IgG1
Description
Novus Biologicals Mouse ATAD2 Antibody (CL0182) - Azide and BSA Free (NBP2-14786) is a monoclonal antibody validated for use in IHC, WB, ICC/IF and Simple Western. All Novus Biologicals antibodies are covered by our 100% guarantee.
Scientific Data Images for ATAD2 Antibody (CL0182) - Azide and BSA Free
Western Blot: ATAD2 Antibody [NBP3-44437]
Lane 1: Marker [kDa]Lane 2: ATAD2 Over-expression Lysate (Co-expressed with a C-terminal myc-DDK tag in mammalian HEK293T cells)
Lane 3: Negative control (vector only transfected HEK293T lysate)
Lane 4: U-251
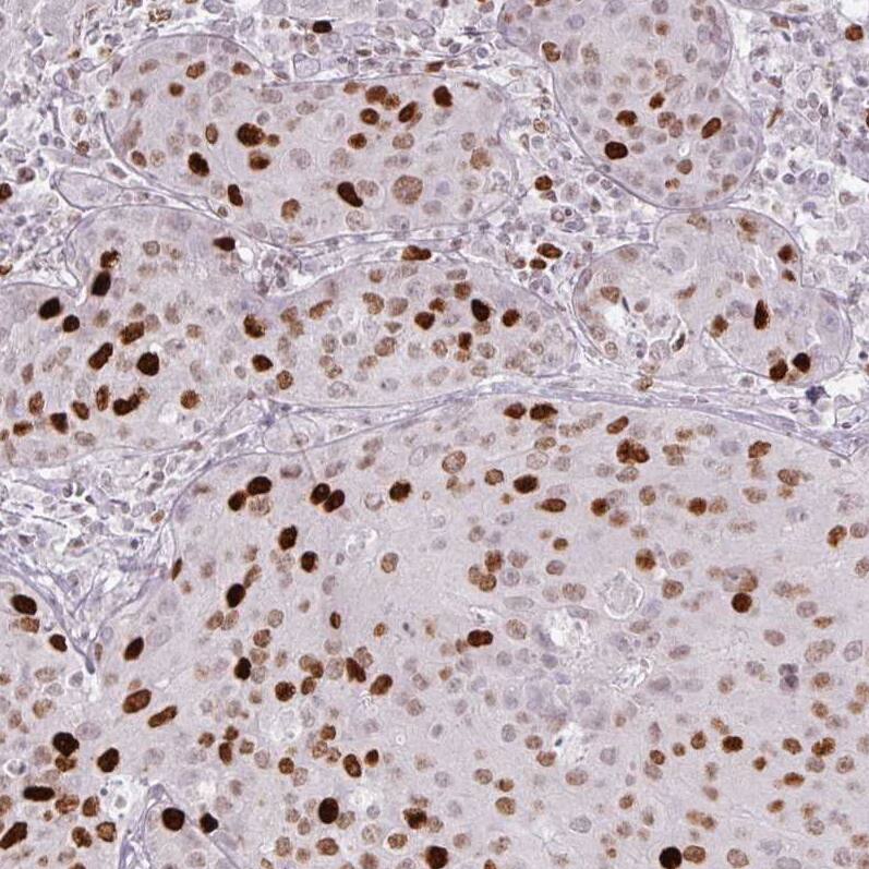
Immunohistochemistry-Paraffin: ATAD2 Antibody [NBP3-44437]
Staining of human breast cancer shows moderate to strong nuclear positivity in tumor cells.Applications for ATAD2 Antibody (CL0182) - Azide and BSA Free
Application
Recommended Usage
Immunocytochemistry/ Immunofluorescence
2-10 ug/ml
Immunohistochemistry-Paraffin
1:500 - 1:1000
Simple Western
1:20
Western Blot
1 ug/ml
Application Notes
For IHC-Paraffin, HIER pH 6 retrieval is recommended.
Immunocytochemistry/ Immunofluorescence/IF Fixation/Permeabilization: PFA/Triton X-100.
See Simple Western Antibody Database for Simple Western validation: Tested in U-251MG sp, separated by Size, antibody dilution of 1:20, apparent MW was 182 kDa
Immunocytochemistry/ Immunofluorescence/IF Fixation/Permeabilization: PFA/Triton X-100.
See Simple Western Antibody Database for Simple Western validation: Tested in U-251MG sp, separated by Size, antibody dilution of 1:20, apparent MW was 182 kDa
Formulation, Preparation, and Storage
Purification
Protein A purified
Reconstitution
Centrifuge the vial of lyophilized antibody at 12,000 x g for 20 seconds. Reconstitute by adding sterile, distilled water to achieve a final antibody concentration of 1mg/ml.
Formulation
Lyophilized from a 0.2 um filtered solution in PBS with Trehalose
Format
Azide and BSA Free
Preservative
No Preservative
Concentration
LYOPH mg/ml
Shipping
The product is shipped at ambient temperature. Upon receipt, store it immediately at the temperature recommended below.
Stability & Storage
Store at 4C short term. Aliquot and store at -20C long term. Avoid freeze-thaw cycles.
Background: ATAD2
Long Name
ATPase family, AAA domain containing 2
Alternate Names
ANCCA, CT137, PRO2000
Gene Symbol
ATAD2
Additional ATAD2 Products
Product Documents for ATAD2 Antibody (CL0182) - Azide and BSA Free
Product Specific Notices for ATAD2 Antibody (CL0182) - Azide and BSA Free
This product is for research use only and is not approved for use in humans or in clinical diagnosis. Primary Antibodies are guaranteed for 1 year from date of receipt.
Loading...
Loading...
Loading...
Loading...
Loading...