Skip to main content

ASPDH Antibody (OTI4G8) - Azide and BSA Free

Novus Biologicals, part of Bio-Techne | Catalog # NBP2-72508

Novus Biologicals, part of Bio-Techne

Key Product Details

Species Reactivity

Human, Mouse, Rat

Applications

Immunohistochemistry, Immunohistochemistry-Paraffin

Label

Unconjugated

Antibody Source

Monoclonal Mouse IgG1 Clone # OTI4G8

Format

Azide and BSA Free

Concentration

LYOPH mg/ml

Product Specifications

Immunogen

Full length human recombinant protein of human ASPDH (NP_001019827) produced in E.coli.

Reactivity Notes

Please note that this antibody is reactive to Mouse and derived from the same host, Mouse. Mouse-On-Mouse blocking reagent may be needed for IHC and ICC experiments to reduce high background signal. You can find these reagents under catalog numbers PK-2200-NB and MP-2400-NB. Please contact Technical Support if you have any questions.

Clonality

Monoclonal

Host

Mouse

Isotype

IgG1

Theoretical MW

18.5 kDa.
Disclaimer note: The observed molecular weight of the protein may vary from the listed predicted molecular weight due to post translational modifications, post translation cleavages, relative charges, and other experimental factors.

Description

Novus Biologicals Mouse ASPDH Antibody (OTI4G8) - Azide and BSA Free (NBP2-46550) is a monoclonal antibody validated for use in IHC. All Novus Biologicals antibodies are covered by our 100% guarantee.

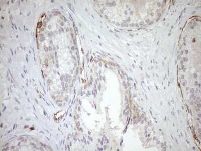
Scientific Data Images for ASPDH Antibody (OTI4G8) - Azide and BSA Free

Immunohistochemistry: ASPDH Antibody (OTI4G8) - Azide and BSA Free [NBP2-72508]

Immunohistochemistry: ASPDH Antibody (OTI4G8) - Azide and BSA Free [NBP2-72508]

Immunohistochemistry: ASPDH Antibody (OTI4G8) - Azide and BSA Free [NBP2-72508] - Analysis of Human pancreas tissue. (Heat-induced epitope retrieval by 1mM EDTA in 10mM Tris buffer (pH8.5) at 120C for 3 min)
Immunohistochemistry: ASPDH Antibody (OTI4G8) - Azide and BSA Free [NBP2-72508]

Immunohistochemistry: ASPDH Antibody (OTI4G8) - Azide and BSA Free [NBP2-72508]

Immunohistochemistry: ASPDH Antibody (OTI4G8) - Azide and BSA Free [NBP2-72508] - Analysis of Adenocarcinoma of Human breast tissue. (Heat-induced epitope retrieval by 1mM EDTA in 10mM Tris buffer (pH8.5) at 120C for 3 min)
Immunohistochemistry: ASPDH Antibody (OTI4G8) - Azide and BSA Free [NBP2-72508]

Immunohistochemistry: ASPDH Antibody (OTI4G8) - Azide and BSA Free [NBP2-72508]

Immunohistochemistry: ASPDH Antibody (OTI4G8) - Azide and BSA Free [NBP2-72508] - Analysis of Adenocarcinoma of Human colon tissue. (Heat-induced epitope retrieval by 1mM EDTA in 10mM Tris buffer (pH8.5) at 120C for 3 min)

Applications for ASPDH Antibody (OTI4G8) - Azide and BSA Free

Application
Recommended Usage

Immunohistochemistry

1:150

Formulation, Preparation, and Storage

Purification

Immunogen affinity purified

Reconstitution

we recommend adding 100uL distilled water to a final antibody concentration of about 1 mg/mL. To use this carrier-free antibody for conjugation experiment, we strongly recommend performing another round of desalting process.

Formulation

Lyophilized from PBS (pH 7.3) with 8% Trehalose

Format

Azide and BSA Free

Preservative

No Preservative

Concentration

LYOPH mg/ml

Shipping

The product is shipped with polar packs. Upon receipt, store it immediately at the temperature recommended below.

Stability & Storage

Store at -20C. Avoid freeze-thaw cycles.

Background: ASPDH

Specifically catalyzes the NAD or NADP-dependent dehydrogenation of L-aspartate to iminoaspartate (Bysimilarity)

Alternate Names

aspartate dehydrogenase domain containing, Aspartate dehydrogenase domain-containing protein, EC 1.4.1.21, putative L-aspartate dehydrogenase

Gene Symbol

ASPDH

Additional ASPDH Products

Product Documents for ASPDH Antibody (OTI4G8) - Azide and BSA Free

Certificate of Analysis

To download a Certificate of Analysis, please enter a lot number in the search box below.

Product Specific Notices for ASPDH Antibody (OTI4G8) - Azide and BSA Free

This product is for research use only and is not approved for use in humans or in clinical diagnosis. Primary Antibodies are guaranteed for 1 year from date of receipt.

Loading...
Loading...
Loading...
Loading...
Loading...