Skip to main content

ASMT Antibody - BSA Free

Novus Biologicals, part of Bio-Techne | Catalog # NBP2-92663

Novus Biologicals, part of Bio-Techne
Catalog #
Availability
Size / Price
Qty
Loading...
NBP2-92663-0.02ml
NBP2-92663-0.1ml

Key Product Details

Species Reactivity

Human, Mouse

Applications

Western Blot

Label

Unconjugated

Antibody Source

Polyclonal Rabbit IgG

Format

BSA Free

Concentration

Please see the vial label for concentration. If unlisted please contact technical services.

Product Specifications

Immunogen

Recombinant fusion protein containing a sequence corresponding to amino acids 1-298 of human ASMT (NP_001164510.1). MGSSEDQAYRLLNDYANGFMVSQVLFAACELGVFDLLAEAPGPLDVAAVAAGVRASAHGTELLLDICVSLKLLKVETRGGKAFYRNTELSSDYLTTVSPTSQCSMLKYMGRTSYRCWGHLADAVREGRNQYLETFGVPAEELFTAIYRSEGERLQFMQALQEVWSVNGRSVLTAFDLSVFPLMCDLGGDFFKDPLPEADLYILARVLHDWADGKCSHLLERIYHTCKPGGGILVIESLLDEDRRGPLLTQLYSLNMLVQTEGQERTPTHYHMLLSSAGFRDFQFKKTGAIYDAILARK

Clonality

Polyclonal

Host

Rabbit

Isotype

IgG

Description

Novus Biologicals Rabbit ASMT Antibody - BSA Free (NBP2-92663) is a polyclonal antibody validated for use in WB. All Novus Biologicals antibodies are covered by our 100% guarantee.

Scientific Data Images for ASMT Antibody - BSA Free

ASMT Antibody - BSA Free

Western Blot: ASMT Antibody - BSA Free [NBP2-92663] -

Western Blot: ASMT Antibody - BSA Free [NBP2-92663] - Western blot analysis of various lysates, using ASMT Rabbit pAb at 1:2000 dilution.
Secondary antibody: HRP-conjugated Goat anti-Rabbit IgG (H+L) at 1:10000 dilution.
Lysates/proteins: 25ug per lane.
Blocking buffer: 3% nonfat dry milk in TBST.
Detection: ECL Basic Kit.
Exposure time: 90s.
ASMT Antibody - BSA Free

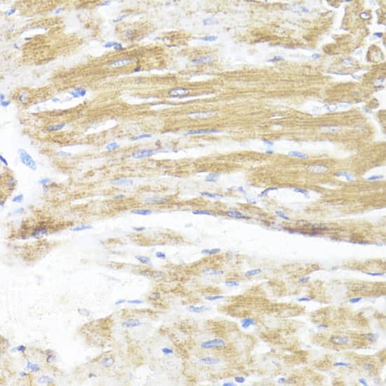
Immunohistochemistry: ASMT Antibody - BSA Free [NBP2-92663] -

Immunohistochemistry: ASMT Antibody - BSA Free [NBP2-92663] - Immunohistochemistry analysis of paraffin-embedded Rat heart using ASMT Rabbit pAb at dilution of 1:100 (40x lens). Microwave antigen retrieval performed with 0.01M PBS Buffer (pH 7.2) prior to IHC staining.
ASMT Antibody - BSA Free

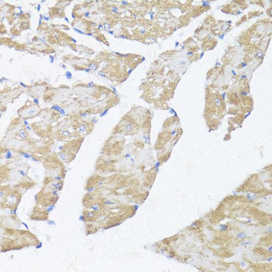
Immunohistochemistry: ASMT Antibody - BSA Free [NBP2-92663] -

Immunohistochemistry: ASMT Antibody - BSA Free [NBP2-92663] - Immunohistochemistry analysis of paraffin-embedded Mouse heart using ASMT Rabbit pAb at dilution of 1:100 (40x lens). Microwave antigen retrieval performed with 0.01M PBS Buffer (pH 7.2) prior to IHC staining.

Applications for ASMT Antibody - BSA Free

Application
Recommended Usage

Western Blot

1:1000 - 1:5000

Formulation, Preparation, and Storage

Purification

Affinity purified

Formulation

PBS (pH 7.3), 50% glycerol

Format

BSA Free

Preservative

0.02% Sodium Azide

Concentration

Please see the vial label for concentration. If unlisted please contact technical services.

Shipping

The product is shipped with polar packs. Upon receipt, store it immediately at the temperature recommended below.

Stability & Storage

Store at -20C. Avoid freeze-thaw cycles.

Background: ASMT

ASMT - acetylserotonin O-methyltransferase

Alternate Names

acetylserotonin N-methyltransferase, acetylserotonin O-methyltransferaseEC 2.1.1.4, ASMTY, HIOMTacetylserotonin methyltransferase (Y chromosome), HIOMTY, hydroxyindole O-methyltransferase

Gene Symbol

ASMT

Additional ASMT Products

Product Documents for ASMT Antibody - BSA Free

Certificate of Analysis

To download a Certificate of Analysis, please enter a lot number in the search box below.

Product Specific Notices for ASMT Antibody - BSA Free

This product is for research use only and is not approved for use in humans or in clinical diagnosis. Primary Antibodies are guaranteed for 1 year from date of receipt.

Loading...
Loading...
Loading...
Loading...