ASCC3L1 Antibody - BSA Free
Novus Biologicals, part of Bio-Techne | Catalog # NBP1-90086
Key Product Details
Species Reactivity
Validated:
Human
Predicted:
Mouse (98%), Rat (100%). Backed by our 100% Guarantee.
Applications
Immunohistochemistry, Immunohistochemistry-Paraffin, Immunocytochemistry/ Immunofluorescence
Label
Unconjugated
Antibody Source
Polyclonal Rabbit IgG
Format
BSA Free
Concentration
Concentrations vary lot to lot. See vial label for concentration. If unlisted please contact technical services.
Product Specifications
Immunogen
This antibody was developed against Recombinant Protein corresponding to amino acids: LHPRDIDAFWLQRQLSRFYDDAIVSQKKADEVLEILKTASDDRECENQLVLLLGFNTFDFIKVLRQHRMMILYCTLLASAQSEAEKERIMGKMEADPELSKFLY
Clonality
Polyclonal
Host
Rabbit
Isotype
IgG
Scientific Data Images for ASCC3L1 Antibody - BSA Free
Immunocytochemistry/ Immunofluorescence: ASCC3L1 Antibody - BSA Free [NBP1-90086]
Staining of human cell line U-2 OS shows localization to nucleoplasm.Immunohistochemistry-Paraffin: ASCC3L1 Antibody [NBP1-90086]
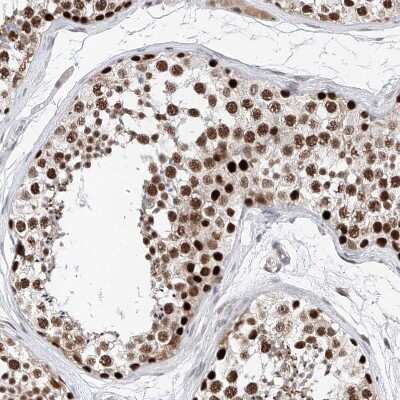
Immunohistochemistry-Paraffin: ASCC3L1 Antibody [NBP1-90086] - Staining of human testis shows strong nuclear positivity in cells in seminiferous ducts.Immunohistochemistry-Paraffin: ASCC3L1 Antibody [NBP1-90086]
Immunohistochemistry-Paraffin: ASCC3L1 Antibody [NBP1-90086] - Staining of human colon shows strong nuclear positivity in glandular cells.Applications for ASCC3L1 Antibody - BSA Free
Application
Recommended Usage
Immunocytochemistry/ Immunofluorescence
0.25-2 ug/ml
Immunohistochemistry
1:200 - 1:500
Immunohistochemistry-Paraffin
1:200 - 1:500
Application Notes
For IHC-Paraffin, HIER pH 6 retrieval is recommended. ICC/IF, Fixation Permeabilization: Use PFA/Triton X-100.
Formulation, Preparation, and Storage
Purification
Affinity purified
Formulation
PBS (pH 7.2) and 40% Glycerol
Format
BSA Free
Preservative
0.02% Sodium Azide
Concentration
Concentrations vary lot to lot. See vial label for concentration. If unlisted please contact technical services.
Shipping
The product is shipped with polar packs. Upon receipt, store it immediately at the temperature recommended below.
Stability & Storage
Store at 4C short term. Aliquot and store at -20C long term. Avoid freeze-thaw cycles.
Background: ASCC3L1
Alternate Names
ASCC3L1, BRR2, BRR2 homolog, FLJ11521, HELIC2, KIAA0788, RP33, small nuclear ribonucleoprotein 200kDa (U5), U5 small nuclear ribonucleoprotein 200 kDa helicase, U5 snRNP-specific 200 kDa protein, U5-200KD
Gene Symbol
SNRNP200
Additional ASCC3L1 Products
Product Documents for ASCC3L1 Antibody - BSA Free
Product Specific Notices for ASCC3L1 Antibody - BSA Free
This product is for research use only and is not approved for use in humans or in clinical diagnosis. Primary Antibodies are guaranteed for 1 year from date of receipt.
Loading...
Loading...
Loading...
Loading...