Skip to main content

ASCC3L1 Antibody

Novus Biologicals, part of Bio-Techne | Catalog # NBP1-79036

Novus Biologicals, part of Bio-Techne
Catalog #
Availability
Size / Price
Qty
Loading...
NBP1-79036

Key Product Details

Validated by

Independent Antibodies, Biological Validation

Species Reactivity

Validated:

Human, Mouse

Predicted:

Rat (100%). Backed by our 100% Guarantee.

Applications

Immunohistochemistry, Immunohistochemistry-Paraffin, Western Blot, Immunoprecipitation

Label

Unconjugated

Antibody Source

Polyclonal Rabbit IgG

Concentration

0.2 mg/ml

Product Specifications

Immunogen

The immunogen recognized by this antibody maps to a region between residue 1 and 50 of human Small Nuclear Ribonucleoprotein 200kDa using the numbering given in entry NP_054733.2 (GeneID 23020).

Clonality

Polyclonal

Host

Rabbit

Isotype

IgG

Scientific Data Images for ASCC3L1 Antibody

Western Blot: ASCC3L1 Antibody [NBP1-79036]

Western Blot: ASCC3L1 Antibody [NBP1-79036]

Western Blot: ASCC3L1 Antibody [NBP1-79036] - Whole cell lysate from HeLa (15 and 50 mcg for WB; 1 mg for IP, 20% of IP loaded), 293T (T; 50 mcg), Jurkat (J; 50 mcg) and mouse NIH3T3 (M; 50 mcg) cells. Antibodies: Affinity purified rabbit anti-SNRNP200 antibody used for WB at 0.04 mcg/ml (A) and 0.4 mcg/ml (B) and used for IP at 6 mcg/mg lysate. SNRNP200 was also immunoprecipitated by rabbit anti-SNRNP200 antibody NBP1-79037, which recognizes a downstream epitope.
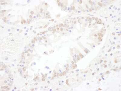
Immunohistochemistry-Paraffin: ASCC3L1 Antibody [NBP1-79036]

Immunohistochemistry-Paraffin: ASCC3L1 Antibody [NBP1-79036]

Immunohistochemistry-Paraffin: ASCC3L1 Antibody [NBP1-79036] - Sample: FFPE section of human colon carcinoma. Antibody: Affinity purified rabbit anti- SNRNP200 used at a dilution of 1:200 (1ug/ml). Detection: DAB. Counterstain: hematoxylin (blue).

Applications for ASCC3L1 Antibody

Application
Recommended Usage

Immunohistochemistry

1:100- 1:500

Immunohistochemistry-Paraffin

1:100 -1:500

Immunoprecipitation

2-10ug/mg

Western Blot

1:2000-1:10000
Application Notes
Epitope retrieval with citrate buffer pH6.0 is recommended for FFPE tissue sections.

Formulation, Preparation, and Storage

Purification

Immunogen affinity purified

Formulation

TBS and 0.1% BSA

Preservative

0.09% Sodium Azide

Concentration

0.2 mg/ml

Shipping

The product is shipped with polar packs. Upon receipt, store it immediately at the temperature recommended below.

Stability & Storage

Store at 4C. Do not freeze.

Background: ASCC3L1

Putative RNA helicase involved in the second step of RNA splicing. May promote one or more conformational changes in the dynamic network of RNA-RNA interactions in the spliceosome. Appears to catalyze an ATP-dependent unwinding of U4/U6 RNA duplices

Alternate Names

ASCC3L1, BRR2, BRR2 homolog, FLJ11521, HELIC2, KIAA0788, RP33, small nuclear ribonucleoprotein 200kDa (U5), U5 small nuclear ribonucleoprotein 200 kDa helicase, U5 snRNP-specific 200 kDa protein, U5-200KD

Gene Symbol

SNRNP200

Additional ASCC3L1 Products

Product Documents for ASCC3L1 Antibody

Certificate of Analysis

To download a Certificate of Analysis, please enter a lot number in the search box below.

Product Specific Notices for ASCC3L1 Antibody

This product is for research use only and is not approved for use in humans or in clinical diagnosis. Primary Antibodies are guaranteed for 1 year from date of receipt.

Loading...
Loading...
Loading...
Loading...