Skip to main content

ASC2 Antibody - BSA Free

Novus Biologicals, part of Bio-Techne | Catalog # NB100-56076

Novus Biologicals, part of Bio-Techne
Catalog #
Availability
Size / Price
Qty
Loading...
NB100-56076SS
NB100-56076

Key Product Details

Species Reactivity

Human, Mouse

Applications

Validated:

Immunohistochemistry, Immunohistochemistry-Paraffin, Western Blot

Cited:

Western Blot

Label

Unconjugated

Antibody Source

Polyclonal Rabbit IgG

Format

BSA Free

Concentration

This product is unpurified. The exact concentration of antibody is not quantifiable.

Product Specifications

Immunogen

A recombinant full-length human ASC-2/POP1 protein was used as immunogen.

Clonality

Polyclonal

Host

Rabbit

Isotype

IgG

Description

Novus Biologicals Rabbit ASC2 Antibody - BSA Free (NB100-56076) is a polyclonal antibody validated for use in IHC and WB. Anti-ASC2 Antibody: Cited in 2 publications. All Novus Biologicals antibodies are covered by our 100% guarantee.

Scientific Data Images for ASC2 Antibody - BSA Free

Western Blot: ASC2 Antibody [NB100-56076]

Western Blot: ASC2 Antibody [NB100-56076]

Western Blot: ASC2 Antibody [NB100-56076] - Used to analyze ASC2/POP1 . HEK-293 cells were transiently transfected with plasmids encoding ASC-2, POP1 or a negative control plasmid. ASC-2 and POP1 were detected at the expected 12 kDa molecular weight.
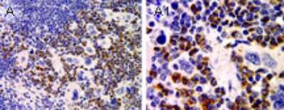
Immunohistochemistry-Paraffin: ASC2 Antibody [NB100-56076]

Immunohistochemistry-Paraffin: ASC2 Antibody [NB100-56076]

Immunohistochemistry-Paraffin: ASC2 Antibody [NB100-56076] - Used at 1:2000 to analyze ASC-2 expression in mouse spleen. A and A1, spleen at low and high magnification, respectively. ASC-2 staining is seen in the granulocytes, whereas the lymph and megakaryocytes are negative.
Immunohistochemistry: ASC2 Antibody [NB100-56076]

Immunohistochemistry: ASC2 Antibody [NB100-56076]

Immunohistochemistry: ASC2 Antibody [NB100-56076] - Used at 1:2000 to analyze ASC-2/POP1 expression in mouse. A) prostate tissue from a male mouse prostatitis. B) kidney from a mouse with pyelonephritis. A1 and B1, high magnification of A and B, respectively.

Applications for ASC2 Antibody - BSA Free

Application
Recommended Usage

Immunohistochemistry-Paraffin

1:1000-1:5000

Western Blot

1:1000-1:2000
Application Notes
In immuhistochemical studies, ASC-2/POP1 has been found to expressed predominantly in macrophages and granulocytes (Stehlik et al, 2003).

Formulation, Preparation, and Storage

Purification

Unpurified

Formulation

Whole antisera

Format

BSA Free

Preservative

0.05% Sodium Azide

Concentration

This product is unpurified. The exact concentration of antibody is not quantifiable.

Shipping

The product is shipped with polar packs. Upon receipt, store it immediately at the temperature recommended below.

Stability & Storage

Store at 4C short term. Aliquot and store at -20C long term. Avoid freeze-thaw cycles.

Background: ASC2

ASC-2/POP1 is a PAAD domain only protein originally identified in a bioinformatics screen aimed at understanding molecular apoptosis mechanisms (Pawtokski et al, 2001; reviewed in Fabiola et al, 2006, and Mariathasan and Vuvic, 2003.). ASC-2/POP1 has high amino acid sequence homology with ASC (64%), hence it was originally termed ASC-2. The PAAD (also known as PYRIN) domain is a conserved sequence motif identified in more than 35 human proteins with putative functions in apoptosis and inflammatory signaling pathways. PAAD was named after the protein families from which it was discovered: pyrin, AIM (absent-in-melanoma), ASC [apoptosis-associated speck-like protein containing a caspase recruitment domain (CARD], and death-domain (DD)-like. PAAD is thought to function as a protein-protein interaction domain, possibly coupling different signaling pathways such as apoptosis, inflammation and cancer. For example, PAADs are capable of homotypic interactions with themselves or other members of the PAAD family, suggesting that they participate in complex protein-interaction networks that link various signaling pathways. In humans, the gene encoding ASC-2/POP1 is on chromosome 16p12.1, only 14 kbp away from the ASC locus. The proximity of ASC-2/POP1 to ASC as well as the high sequence homology between them suggest that the ASC-2/POP1 and ASC genes arose by gene duplication. Studies have shown that ASC-2/POP1 associates with ASC via PAAD-PAAD interactions and modulates ASC-mediated roles in apoptosis and inflammation. ASC-2/POP1 may also have a role in modulating other multidomain PAAD-containing proteins. However, the physiological relevance of ASC-2/POP1 remains to be fully elucidated. Human ASC-2/POP1 is an 89 amino acid protein and migrates at ~10-12 kDa on SDS-PAGE gels (Stehlik et al, 2003).

Alternate Names

ASC2PAAD-only protein 1, ASCI, POP1pyrin domain-containing protein 1, PYC1, PYD (pyrin domain) containing 1, pyrin domain containing 1, pyrin-domain containing protein 1, Pyrin-only protein 1

Entrez Gene IDs

260434 (Human)

Gene Symbol

PYDC1

Additional ASC2 Products

Product Documents for ASC2 Antibody - BSA Free

Certificate of Analysis

To download a Certificate of Analysis, please enter a lot number in the search box below.

Product Specific Notices for ASC2 Antibody - BSA Free

This product is for research use only and is not approved for use in humans or in clinical diagnosis. Primary Antibodies are guaranteed for 1 year from date of receipt.

Loading...
Loading...
Loading...
Loading...