Skip to main content

ASC1 Antibody - BSA Free

Novus Biologicals, part of Bio-Techne | Catalog # NBP3-35533

Novus Biologicals, part of Bio-Techne
Catalog #
Availability
Size / Price
Qty
Loading...
NBP3-35533-100ul
NBP3-35533-20ul

Key Product Details

Species Reactivity

Human, Mouse, Rat

Applications

Immunohistochemistry, Immunohistochemistry-Paraffin, Western Blot, ELISA, Immunoprecipitation

Label

Unconjugated

Antibody Source

Polyclonal Rabbit IgG

Format

BSA Free

Concentration

Please see the vial label for concentration. If unlisted please contact technical services.

Product Specifications

Immunogen

Recombinant fusion protein containing a sequence corresponding to amino acids 282-581 of human ASC1 (NP_057297.2).

Sequence:
VIDDESDYFASDSNQWLSKLERETLQKREEELRELRHASRLSKKVTIDFAGRKILEEENSLAEYHSRLDETIQAIANGTLNQPLTKLDRSSEEPLGVLVNPNMYQSPPQWVDHTGAASQKKAFRSSGFGLEFNSFQHQLRIQDQEFQEGFDGGWCLSVHQPWASLLVRGIKRVEGRSWYTPHRGRLWIAATAKKPSPQEVSELQATYRLLRGKDVEFPNDYPSGCLLGCVDLIDCLSQKQFKEQFPDISQESDSPFVFICKNPQEMVVKFPIKGNPKIWKLDSKIHQGAKKGLMKQNKAV

Clonality

Polyclonal

Host

Rabbit

Isotype

IgG

Theoretical MW

66 kDa.
Disclaimer note: The observed molecular weight of the protein may vary from the listed predicted molecular weight due to post translational modifications, post translation cleavages, relative charges, and other experimental factors.

Description

Novus Biologicals Rabbit ASC1 Antibody - BSA Free (NBP3-35533) is a polyclonal antibody validated for use in IHC, WB, ELISA and IP. All Novus Biologicals antibodies are covered by our 100% guarantee.

Scientific Data Images for ASC1 Antibody - BSA Free

ASC1 Antibody

Western Blot: ASC1 Antibody [NBP3-35533] -

Western Blot: ASC1 Antibody [NBP3-35533] - Western blot analysis of various lysates using ASC1 Rabbit pAb at 1:1000 dilution.
Secondary antibody: HRP-conjugated Goat anti-Rabbit IgG (H+L) at 1:10000 dilution.
Lysates/proteins: 25ug per lane.
Blocking buffer: 3% nonfat dry milk in TBST.
Detection: ECL Basic Kit.
Exposure time: 30s.
ASC1 Antibody

Immunoprecipitation: ASC1 Antibody [NBP3-35533] -

Immunoprecipitation: ASC1 Antibody [NBP3-35533] - Immunoprecipitation analysis of 200 ug extracts of A-549 cells using 3 ug ASC1 antibody. Western blot was performed from the immunoprecipitate using ASC1 antibody at a dilution of 1:1000.
ASC1 Antibody

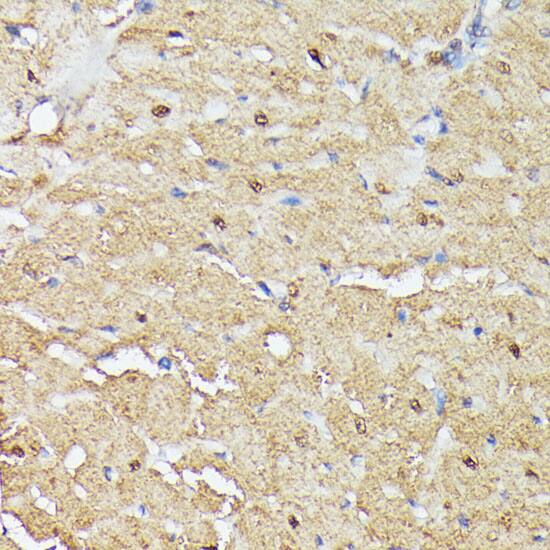
Immunohistochemistry: ASC1 Antibody [NBP3-35533] -

Immunohistochemistry: ASC1 Antibody [NBP3-35533] - Immunohistochemistry analysis of paraffin-embedded Rat heart using ASC1 Rabbit pAb at dilution of 1:100 (40x lens). Microwave antigen retrieval performed with 0.01M PBS Buffer (pH 7.2) prior to IHC staining.

Applications for ASC1 Antibody - BSA Free

Application
Recommended Usage

Immunohistochemistry-Paraffin

1:50 - 1:200

Immunoprecipitation

1:50 - 1:200

Western Blot

1:500 - 1:2000

Formulation, Preparation, and Storage

Purification

Affinity purified

Formulation

PBS (pH 7.3), 50% glycerol

Format

BSA Free

Preservative

0.01% Thimerosal

Concentration

Please see the vial label for concentration. If unlisted please contact technical services.

Shipping

The product is shipped with polar packs. Upon receipt, store it immediately at the temperature recommended below.

Stability & Storage

Store at -20C. Avoid freeze-thaw cycles.

Background: ASC1

Alternate Names

activating signal cointegrator 1, ASC-1, HsT17391, thyroid hormone receptor interactor 4, thyroid receptor interacting protein 4, Thyroid receptor-interacting protein 4, TR-interacting protein 4, TRIP-4

Gene Symbol

TRIP4

Additional ASC1 Products

Product Documents for ASC1 Antibody - BSA Free

Certificate of Analysis

To download a Certificate of Analysis, please enter a lot number in the search box below.

Product Specific Notices for ASC1 Antibody - BSA Free

This product is for research use only and is not approved for use in humans or in clinical diagnosis. Primary Antibodies are guaranteed for 1 year from date of receipt.

Loading...
Loading...
Loading...
Loading...