Skip to main content

ASAH1 Antibody - BSA Free

Novus Biologicals, part of Bio-Techne | Catalog # NBP1-76933

Novus Biologicals, part of Bio-Techne

Key Product Details

Species Reactivity

Human, Mouse, Rat

Applications

Immunohistochemistry, Immunohistochemistry-Paraffin, Western Blot, ELISA, Immunocytochemistry/ Immunofluorescence

Label

Unconjugated

Antibody Source

Polyclonal Rabbit IgG

Format

BSA Free

Concentration

1 mg/ml

Product Specifications

Immunogen

Antibody was raised against a 16 amino acid synthetic peptide near the carboxy terminus of the human ASAH1. The immunogen is located within amino acids 240 - 290 of ASAH1. Amino Acid Squence: LENSTSYEEAKNLLTK

Reactivity Notes

Immunogen displays the following percentage of sequence identity for non-tested species: Bovine: (88%)

Specificity

Multiple isoforms of ASAH1 are known to exist.

Clonality

Polyclonal

Host

Rabbit

Isotype

IgG

Theoretical MW

49 kDa.
Disclaimer note: The observed molecular weight of the protein may vary from the listed predicted molecular weight due to post translational modifications, post translation cleavages, relative charges, and other experimental factors.

Description

Novus Biologicals Rabbit ASAH1 Antibody - BSA Free (NBP1-76933) is a polyclonal antibody validated for use in IHC, WB, ELISA and ICC/IF. All Novus Biologicals antibodies are covered by our 100% guarantee.

Scientific Data Images for ASAH1 Antibody - BSA Free

Western Blot: ASAH1 AntibodyBSA Free [NBP1-76933]

Western Blot: ASAH1 AntibodyBSA Free [NBP1-76933]

Western Blot: ASAH1 Antibody [NBP1-76933] - Analysis in human heart tissue lysate with antibody at 1 ug/mL.
ASAH1 Antibody - BSA Free

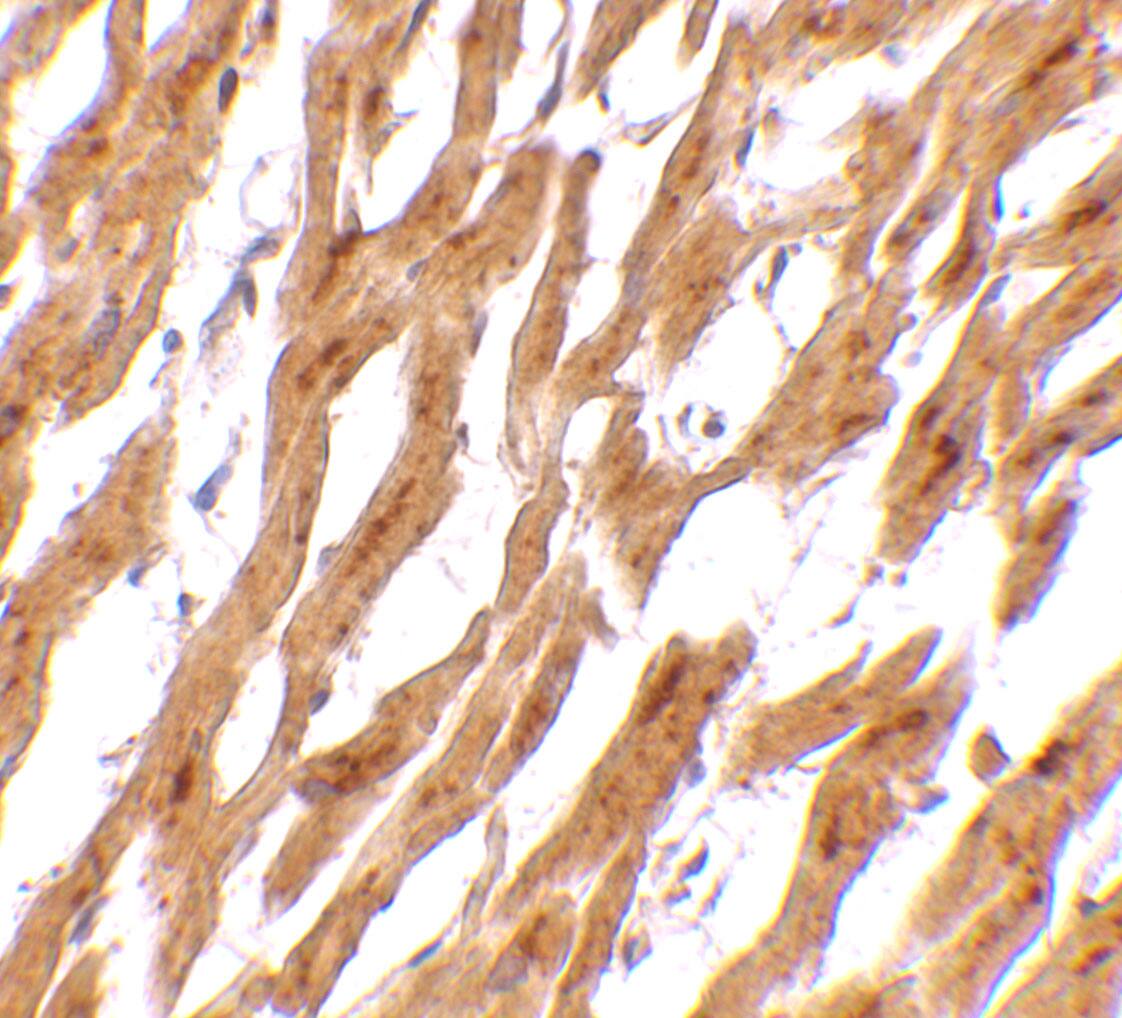
Immunohistochemistry: ASAH1 Antibody - BSA Free [NBP1-76933] -

Immunohistochemistry: ASAH1 Antibody - BSA Free [NBP1-76933] - Immunohistochemistry of ASAH1 in rat heart tissue with ASAH1 antibody at 5 u/mL.
ASAH1 Antibody - BSA Free

Immunocytochemistry/ Immunofluorescence: ASAH1 Antibody - BSA Free [NBP1-76933] -

Immunocytochemistry/ Immunofluorescence: ASAH1 Antibody - BSA Free [NBP1-76933] - Immunofluorescence of ASAH1 in Human Heart cells with ASAH1 antibody at 20 u/mL.

Applications for ASAH1 Antibody - BSA Free

Application
Recommended Usage

ELISA

1:100-1:2000

Immunocytochemistry/ Immunofluorescence

20 ug/mL

Immunohistochemistry

2.5 ug/ml

Immunohistochemistry-Paraffin

2.5 ug/ml

Western Blot

1 -2 ug/ml

Formulation, Preparation, and Storage

Purification

Peptide affinity purified

Formulation

PBS

Format

BSA Free

Preservative

0.02% Sodium Azide

Concentration

1 mg/ml

Shipping

The product is shipped with polar packs. Upon receipt, store it immediately at the temperature recommended below.

Stability & Storage

Store at 4C short term. Aliquot and store at -20C long term. Avoid freeze-thaw cycles.

Background: ASAH1

Sphingolipids are hydrolyzed by ceramidases to yield sphingosine and fatty acids. These ceramidases are classified according to the pH range that supports their optimal activity. ASAH1 is an acid ceramidase and key regulator of ceramide metabolism. Mutations in this gene results in Farber Lipogranulomatosis, a fatal human genetic disorder that results in the painful swelling of the joints and tendons and pulminary insufficiency, while a complete knockout of its expression is lethal in mice. Recent studies have shown elevated levels of ASAH1 in Alzheimer's disease (AD) patients correlating with a reduction in sphingomyelin and elevation of ceramide. Pretreatment of cultured neurons with recombinant AHAH1 prevented the cells from undergoing A-beta (Ab)-induced apoptosis. Multiple isoforms of this protein are known to exist.

Long Name

Acid ceramidase

Alternate Names

AC, ACDase, Acid CDase, ASAH, EC 3.5.1.-, EC 3.5.1.23, HSD-33, HSD33

Gene Symbol

ASAH1

Additional ASAH1 Products

Product Documents for ASAH1 Antibody - BSA Free

Certificate of Analysis

To download a Certificate of Analysis, please enter a lot number in the search box below.

Product Specific Notices for ASAH1 Antibody - BSA Free

This product is for research use only and is not approved for use in humans or in clinical diagnosis. Primary Antibodies are guaranteed for 1 year from date of receipt.

Loading...
Loading...
Loading...
Loading...