Skip to main content

ARPC2 Antibody

Novus Biologicals, part of Bio-Techne | Catalog # NB100-1037

Novus Biologicals, part of Bio-Techne
Catalog #
Availability
Size / Price
Qty
Loading...
NB100-1037

Key Product Details

Species Reactivity

Validated:

Human, Mouse, Rat, Primate

Cited:

Human, Mouse, Rat, Primate

Predicted:

Bovine (100%), Canine (100%). Backed by our 100% Guarantee.

Applications

Validated:

Immunohistochemistry, Immunohistochemistry-Paraffin, Western Blot, Peptide ELISA, Immunocytochemistry/ Immunofluorescence

Cited:

Western Blot, Immunocytochemistry/ Immunofluorescence

Label

Unconjugated

Antibody Source

Polyclonal Goat IgG

Concentration

0.5 mg/ml

Product Specifications

Immunogen

Peptide with sequence C-EMKTITGKTFSSR corresponding to C-Terminus according to NP_005722.1, NP_690601.1.

Reactivity Notes

Rat reactivity reported in scientific literature (PMID: 28703125). Primate reactivity reported in scientific literature (PMID: 26349808). Mouse reactivity reported in scientific literature (PMID: 17682067). Predicted cross-reactivity based on sequence identity: Canine, Bovine.

Specificity

The reported variants NP_005722.1 and NP_690601.1 represent identical protein.

Clonality

Polyclonal

Host

Goat

Isotype

IgG

Description

Novus Biologicals Goat ARPC2 Antibody (NB100-1037) is a polyclonal antibody validated for use in IHC, WB, ELISA and ICC/IF. Anti-ARPC2 Antibody: Cited in 6 publications. All Novus Biologicals antibodies are covered by our 100% guarantee.

Scientific Data Images for ARPC2 Antibody

Western Blot: ARPC2 Antibody [NB100-1037]

Western Blot: ARPC2 Antibody [NB100-1037]

Western Blot: ARPC2 Antibody [NB100-1037] - Staining of CACO-2 with antibody at 0.5 ug/mL (A), HeLa (B) and Jurkat (C) lysate with antibody at 0.1 ug/mL (35 ug protein in RIPA buffer). Detected by chemiluminescence.
Immunocytochemistry/ Immunofluorescence: ARPC2 Antibody [NB100-1037]

Immunocytochemistry/ Immunofluorescence: ARPC2 Antibody [NB100-1037]

Immunocytochemistry/Immunofluorescence: ARPC2 Antibody [NB100-1037] - Immunofluorescence analysis of paraformaldehyde fixed HeLa cells, permeabilized with 0.15% Triton. Primary incubation 1hr (10 ug/mL) followed by Alexa Fluor 488 secondary antibody (2 ug/mL), showing cytoplasmic staining. The nuclear stain is DAPI (blue). Negative control: Unimmunized goat IgG (10 ug/mL) followed by Alexa Fluor 488 secondary antibody (2 ug/mL).
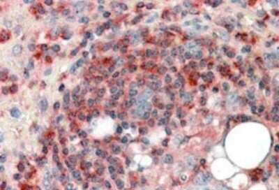
Immunohistochemistry-Paraffin: ARPC2 Antibody [NB100-1037]

Immunohistochemistry-Paraffin: ARPC2 Antibody [NB100-1037]

Immunohistochemistry-Paraffin: ARPC2 Antibody [NB100-1037] - Staining of Human Spleen. Steamed antigen retrieval with citrate buffer pH 6, AP-staining. Antibody at 3.8 ug/mL.

Applications for ARPC2 Antibody

Application
Recommended Usage

Immunocytochemistry/ Immunofluorescence

10 ug/mL

Immunohistochemistry

3 - 5 ug/mL

Immunohistochemistry-Paraffin

3 - 5 ug/mL

Peptide ELISA

Detection limit 1:32000

Western Blot

0.1 - 0.5 ug/mL
Application Notes
Western blot: Approx 34-35 kDa band observed in lysates of cell lines CACO-2, HeLa and Jurkat (calculated MW of 34.3 kDa according to NP_005722.1). IHC: In paraffin embedded Human Spleen shows cytoplasm staining in some splenocytes in and around a T-cell area.

Formulation, Preparation, and Storage

Purification

Immunogen affinity purified

Formulation

Tris saline (20 mM Tris pH 7.3, 150 mM NaCl), 0.5% BSA

Preservative

0.02% Sodium Azide

Concentration

0.5 mg/ml

Shipping

The product is shipped with polar packs. Upon receipt, store it immediately at the temperature recommended below.

Stability & Storage

Store at -20C. Avoid freeze-thaw cycles.

Background: ARPC2

The Arp2/3 protein complex has been implicated in the control of actin polymerization in cells and has been conserved through evolution. The exact role of the protein encoded by this gene, the p34 subunit, has yet to be determined. Two alternatively spliced variants have been characterized to date. Additional alternatively spliced variants have been described but their full length nature has not been determined.

Alternate Names

actin related protein 2/3 complex, subunit 2 (34 kD), actin related protein 2/3 complex, subunit 2, 34kDa, ARC34actin-related protein 2/3 complex subunit 2, Arp2/3 complex 34 kDa subunit, ARP2/3 protein complex subunit 34, p34-Arc, PNAS-139

Entrez Gene IDs

10109 (Human); 76709 (Mouse)

Gene Symbol

ARPC2

Additional ARPC2 Products

Product Documents for ARPC2 Antibody

Certificate of Analysis

To download a Certificate of Analysis, please enter a lot number in the search box below.

Product Specific Notices for ARPC2 Antibody

This product is for research use only and is not approved for use in humans or in clinical diagnosis. Primary Antibodies are guaranteed for 1 year from date of receipt.

Loading...
Loading...
Loading...
Loading...