Skip to main content

Aromatase Antibody - BSA Free

Novus Biologicals, part of Bio-Techne | Catalog # NBP2-48998

Novus Biologicals, part of Bio-Techne
Catalog #
Availability
Size / Price
Qty
Loading...
NBP2-48998
NBP2-48998-25ul

Key Product Details

Validated by

Orthogonal Validation

Species Reactivity

Human

Applications

Immunocytochemistry/ Immunofluorescence, Immunohistochemistry, Immunohistochemistry-Paraffin

Label

Unconjugated

Antibody Source

Polyclonal Rabbit IgG

Format

BSA Free

Concentration

Concentrations vary lot to lot. See vial label for concentration. If unlisted please contact technical services.

Product Specifications

Immunogen

This antibody was developed against a recombinant protein corresponding to amino acids: IGERDIKIDDIQKLKVMENFIYESMRYQPVVDLVMRKALEDDVIDGYPVKKGTNIILNIGRMHRLEFFPKPNEFTL

Reactivity Notes

Mouse (89%), Rat (86%)

Clonality

Polyclonal

Host

Rabbit

Isotype

IgG

Description

Novus Biologicals Rabbit Aromatase Antibody - BSA Free (NBP2-48998) is a polyclonal antibody validated for use in IHC and ICC/IF. All Novus Biologicals antibodies are covered by our 100% guarantee.

Scientific Data Images for Aromatase Antibody - BSA Free

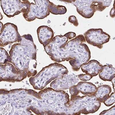
Immunohistochemistry-Paraffin: Aromatase Antibody [NBP2-48998]

Immunohistochemistry-Paraffin: Aromatase Antibody [NBP2-48998]

Immunohistochemistry-Paraffin: Aromatase Antibody [NBP2-48998] - Staining in human placenta and prostate tissues using anti-CYP19A1 antibody. Corresponding CYP19A1 RNA-seq data are presented for the same tissues.
Immunocytochemistry/ Immunofluorescence: Aromatase Antibody [NBP2-48998]

Immunocytochemistry/ Immunofluorescence: Aromatase Antibody [NBP2-48998]

Immunocytochemistry/Immunofluorescence: Aromatase Antibody [NBP2-48998] - Staining of human cell line ASC TERT1 shows localization to mitochondria. Antibody staining is shown in green.
Immunohistochemistry-Paraffin: Aromatase Antibody [NBP2-48998]

Immunohistochemistry-Paraffin: Aromatase Antibody [NBP2-48998]

Immunohistochemistry-Paraffin: Aromatase Antibody [NBP2-48998] - Staining of human placenta shows high expression.

Applications for Aromatase Antibody - BSA Free

Application
Recommended Usage

Immunocytochemistry/ Immunofluorescence

0.25-2 ug/ml

Immunohistochemistry

1:200 - 1:500

Immunohistochemistry-Paraffin

1:200 - 1:500
Application Notes
For IHC-Paraffin, HIER pH 6 retrieval is recommended. ICC/IF Fixation Permeabilization: Use PFA/Triton X-100.

Formulation, Preparation, and Storage

Purification

Immunogen affinity purified

Formulation

PBS (pH 7.2) and 40% Glycerol

Format

BSA Free

Preservative

0.02% Sodium Azide

Concentration

Concentrations vary lot to lot. See vial label for concentration. If unlisted please contact technical services.

Shipping

The product is shipped with polar packs. Upon receipt, store it immediately at the temperature recommended below.

Stability & Storage

Store at 4C short term. Aliquot and store at -20C long term. Avoid freeze-thaw cycles.

Background: Aromatase

Aromatase is a member of the cytochrome P450 superfamily, whose function is to produce estrogens by aromatizing androgens. The primary function of Aromatase is to convert androstenedione to estrone and testosterone to estradiol. This protein is also a key enzyme in steroidogenesis, specifically for the biosynthesis of estrogens. Because estrogens also promote certain cancers and other diseases, aromatase inhibitors are frequently used to treat such diseases. It also plays an important role in sexual differentiation, fertility, and carcinogenesis.

Aromatase is localized in the endoplasmic reticulum of the cell and its activity is regulated by tissue specific promoters that are in turn controlled by hormones, cytokines, and other factors. It can be found in many tissues reproductive tissues including gonads, brain, adipose tissue, placenta, blood vessels, skin, bone, endometrium as well as in tissue of endometriosis, uterine fibroids, breast cancer, and endometrial cancer.

Many environmental chemicals may influence aromatase activity and thereby disrupt endocrine function. The activity is increased by environmental factors such as age, obesity, insulin, gonadotropins, and alcohol but decreased by prolactin, anti-m llerian hormone, and smoking.

Long Name

Aromatase

Alternate Names

ARO1, CYAR, CYP19, CYP19A1, CYPXIX, EC 1.14.14.14, Estrogen synthase

Gene Symbol

CYP19A1

Additional Aromatase Products

Product Documents for Aromatase Antibody - BSA Free

Certificate of Analysis

To download a Certificate of Analysis, please enter a lot number in the search box below.

Product Specific Notices for Aromatase Antibody - BSA Free

This product is for research use only and is not approved for use in humans or in clinical diagnosis. Primary Antibodies are guaranteed for 1 year from date of receipt.

Loading...
Loading...
Loading...
Loading...