ARMER Antibody - BSA Free
Novus Biologicals, part of Bio-Techne | Catalog # NBP1-91681
Key Product Details
Species Reactivity
Validated:
Human
Predicted:
Mouse (98%), Rat (100%). Backed by our 100% Guarantee.
Applications
Immunohistochemistry, Immunohistochemistry-Paraffin
Label
Unconjugated
Antibody Source
Polyclonal Rabbit IgG
Format
BSA Free
Concentration
Concentrations vary lot to lot. See vial label for concentration. If unlisted please contact technical services.
Product Specifications
Immunogen
This antibody was developed against Recombinant Protein corresponding to amino acids: FGSNKWTTEQQQRFHEICSNLVKTRRRAVGWWKRLFTLKEE
Clonality
Polyclonal
Host
Rabbit
Isotype
IgG
Scientific Data Images for ARMER Antibody - BSA Free
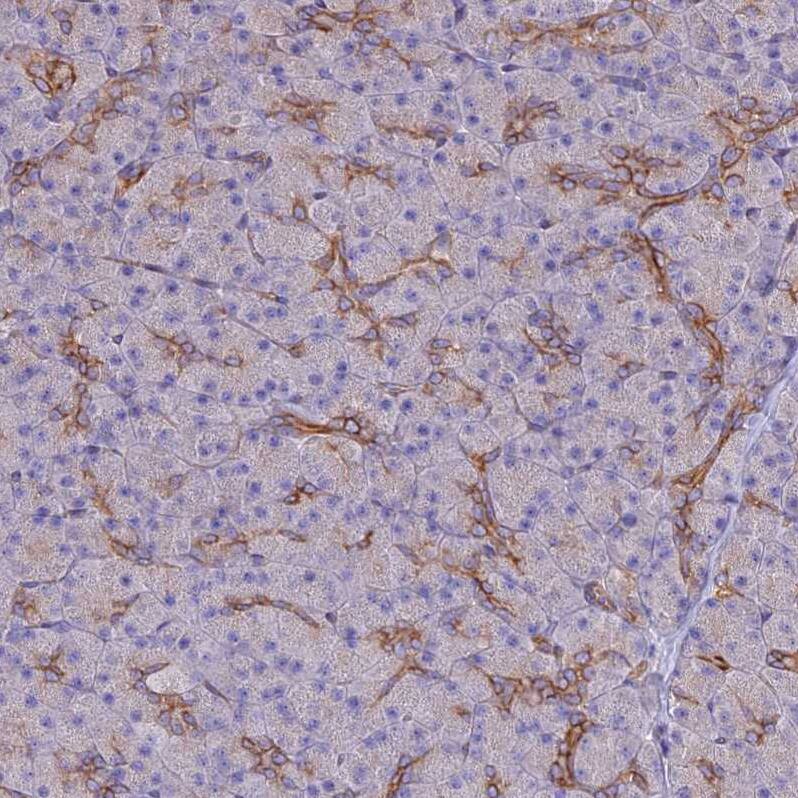
Immunohistochemistry-Paraffin: ARMER Antibody [NBP1-91681]
Immunohistochemistry-Paraffin: ARMER Antibody [NBP1-91681] - Staining of human pancreas shows moderate to strong membranous positivity in exocrine glandular cells.Immunohistochemistry-Paraffin: ARMER Antibody [NBP1-91681]
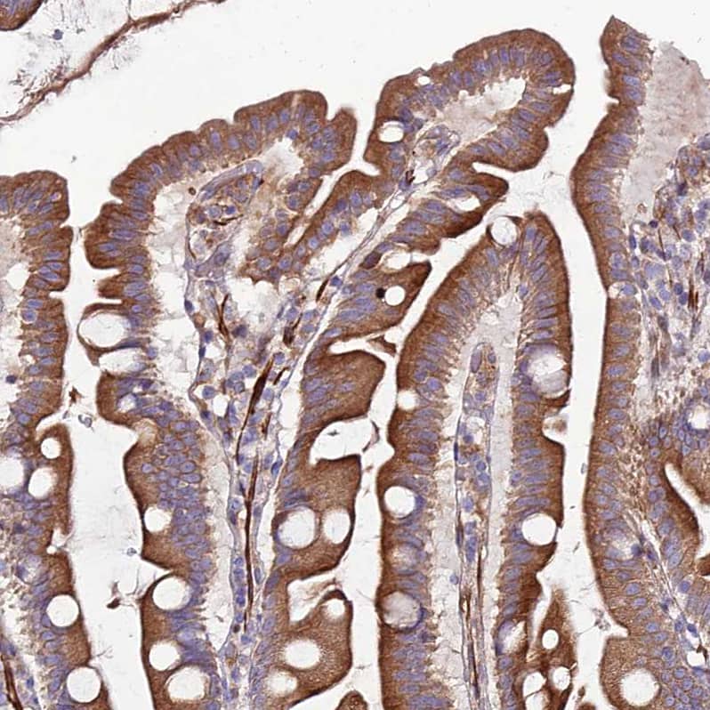
Immunohistochemistry-Paraffin: ARMER Antibody [NBP1-91681] - Staining of human duodenum shows moderate to strong cytoplasmic positivity in glandular cells.Immunohistochemistry: ARMER Antibody - BSA Free [NBP1-91681]
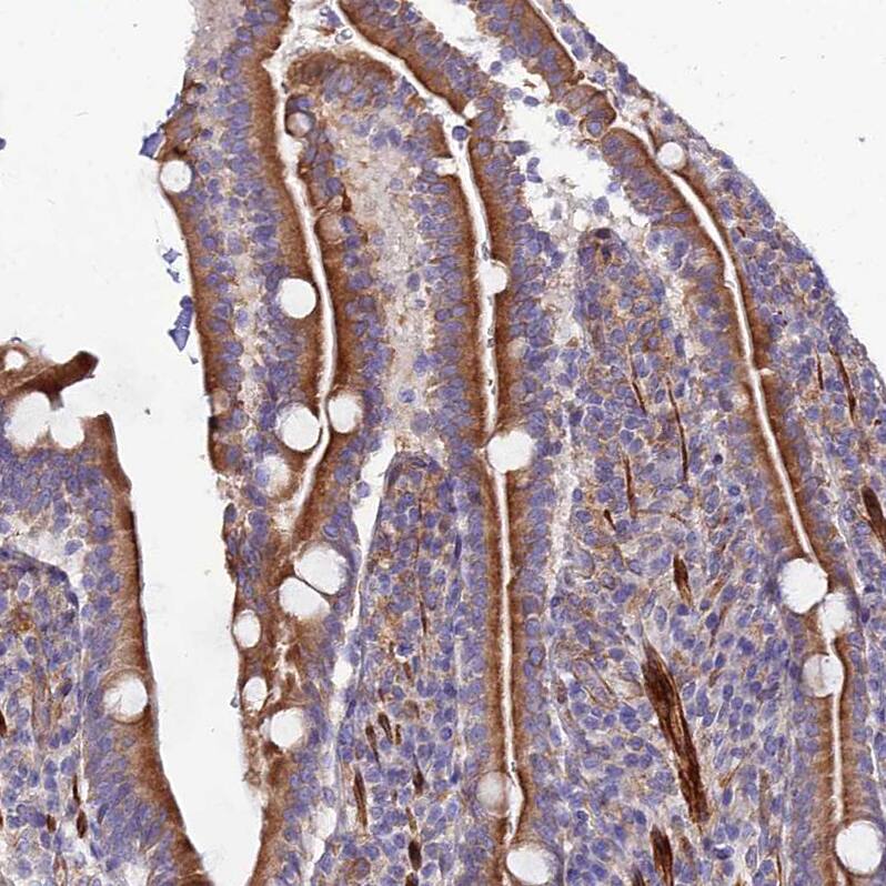
Staining of human small intestine shows moderate to strong cytoplasmic positivity in glandular cells.Applications for ARMER Antibody - BSA Free
Application
Recommended Usage
Immunohistochemistry
1:50 - 1:200
Immunohistochemistry-Paraffin
1:50 - 1:200
Application Notes
For IHC-Paraffin, HIER pH 6 retrieval is recommended.
Formulation, Preparation, and Storage
Purification
Affinity purified
Formulation
PBS (pH 7.2) and 40% Glycerol
Format
BSA Free
Preservative
0.02% Sodium Azide
Concentration
Concentrations vary lot to lot. See vial label for concentration. If unlisted please contact technical services.
Shipping
The product is shipped with polar packs. Upon receipt, store it immediately at the temperature recommended below.
Stability & Storage
Store at 4C short term. Aliquot and store at -20C long term. Avoid freeze-thaw cycles.
Background: ARMER
Alternate Names
ADP-ribosylation factor-like 6 interacting protein, ADP-ribosylation factor-like 6 interacting protein 1, AIP1, Aip-1, apoptotic regulator in the membrane of the endoplasmic reticulum, ARL-6-interacting protein 1, ARL6IPaip-1, ARMER, KIAA0069ADP-ribosylation factor-like protein 6-interacting protein 1
Entrez Gene IDs
23204 (Human)
Gene Symbol
ARL6IP1
UniProt
Additional ARMER Products
Product Documents for ARMER Antibody - BSA Free
Product Specific Notices for ARMER Antibody - BSA Free
This product is for research use only and is not approved for use in humans or in clinical diagnosis. Primary Antibodies are guaranteed for 1 year from date of receipt.
Loading...
Loading...
Loading...
Loading...