Skip to main content

ARL5B Antibody - BSA Free

Novus Biologicals, part of Bio-Techne | Catalog # NBP3-47959

Novus Biologicals, part of Bio-Techne
Catalog #
Availability
Size / Price
Qty
Loading...
NBP3-47959

Key Product Details

Species Reactivity

Human, Mouse

Applications

ELISA, Immunocytochemistry/ Immunofluorescence, Immunohistochemistry, Western Blot

Label

Unconjugated

Antibody Source

Polyclonal Rabbit IgG

Format

BSA Free

Concentration

Please see the vial label for concentration. If unlisted please contact technical services.

Product Specifications

Immunogen

ADP-ribosylation factor-like 5B. (Uniprot# Q96KC2)

Clonality

Polyclonal

Host

Rabbit

Isotype

IgG

Theoretical MW

25 kDa.
Disclaimer note: The observed molecular weight of the protein may vary from the listed predicted molecular weight due to post translational modifications, post translation cleavages, relative charges, and other experimental factors.

Description

Novus Biologicals Rabbit ARL5B Antibody - BSA Free (NBP3-47959) is a polyclonal antibody validated for use in IHC, WB, ELISA and ICC/IF. All Novus Biologicals antibodies are covered by our 100% guarantee.

Scientific Data Images for ARL5B Antibody - BSA Free

ARL5B Antibody - BSA Free

Western Blot: ARL5B Antibody - BSA Free [NBP3-47959] -

Western Blot: ARL5B Antibody - BSA Free [NBP3-47959] - Human liver tissue were subjected to SDS PAGE followed by western blot with (ARL5B antibody) at dilution of 1:500
ARL5B Antibody - BSA Free

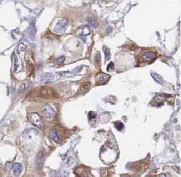
Immunohistochemistry: ARL5B Antibody - BSA Free [NBP3-47959] -

Immunohistochemistry: ARL5B Antibody - BSA Free [NBP3-47959] - Immunohistochemistry of paraffin-embedded human pancreas cancer using (ARL5B antibody) at dilution of 1:50

Applications for ARL5B Antibody - BSA Free

Application
Recommended Usage

Immunocytochemistry/ Immunofluorescence

1:20-1:200

Immunohistochemistry

1:20-1:200

Western Blot

1:500-1:2000

Formulation, Preparation, and Storage

Purification

Immunogen affinity purified

Formulation

PBS, 50% Glycerol, pH (7.3)

Format

BSA Free

Preservative

0.02% Sodium Azide

Concentration

Please see the vial label for concentration. If unlisted please contact technical services.

Shipping

The product is shipped with polar packs. Upon receipt, store it immediately at the temperature recommended below.

Stability & Storage

Store at -20C. Avoid freeze-thaw cycles.

Background: ARL5B

ARL5B plays a role in the regulation of retrograde transport. It is part of the superfamily of RAS regulatory GTPases.

Alternate Names

ADP-ribosylation factor-like 5B, ADP-ribosylation factor-like 8, ADP-ribosylation factor-like protein 5B, ADP-ribosylation factor-like protein 8, ADP-ribosylation-like factor 8, ARL8

Gene Symbol

ARL5B

Additional ARL5B Products

Product Documents for ARL5B Antibody - BSA Free

Certificate of Analysis

To download a Certificate of Analysis, please enter a lot number in the search box below.

Product Specific Notices for ARL5B Antibody - BSA Free

This product is for research use only and is not approved for use in humans or in clinical diagnosis. Primary Antibodies are guaranteed for 1 year from date of receipt.

Loading...
Loading...
Loading...
Loading...