Skip to main content

ARL3 Antibody (OTI1C6)

Novus Biologicals, part of Bio-Techne | Catalog # NBP2-46542

Novus Biologicals, part of Bio-Techne

Key Product Details

Species Reactivity

Human, Mouse, Rat

Applications

Immunohistochemistry, Immunohistochemistry-Paraffin, Western Blot

Label

Unconjugated

Antibody Source

Monoclonal Mouse IgG2A Clone # OTI1C6

Concentration

1 mg/ml

Product Specifications

Immunogen

Human recombinant protein fragment corresponding to amino acids 2-182 of human ARL3 (NP_004302) produced in E.coli.

Reactivity Notes

Please note that this antibody is reactive to Mouse and derived from the same host, Mouse. Mouse-On-Mouse blocking reagent may be needed for IHC and ICC experiments to reduce high background signal. You can find these reagents under catalog numbers PK-2200-NB and MP-2400-NB. Please contact Technical Support if you have any questions.

Clonality

Monoclonal

Host

Mouse

Isotype

IgG2A

Theoretical MW

20.3 kDa.
Disclaimer note: The observed molecular weight of the protein may vary from the listed predicted molecular weight due to post translational modifications, post translation cleavages, relative charges, and other experimental factors.

Description

Novus Biologicals Mouse ARL3 Antibody (OTI1C6) (NBP2-46542) is a monoclonal antibody validated for use in IHC and WB. All Novus Biologicals antibodies are covered by our 100% guarantee.

Scientific Data Images for ARL3 Antibody (OTI1C6)

Western Blot: ARL3 Antibody (OTI1C6) [NBP2-46542]

Western Blot: ARL3 Antibody (OTI1C6) [NBP2-46542]

Western Blot: ARL3 Antibody (1C6) [NBP2-46542] - Analysis of HEK293T cells were transfected with the pCMV6-ENTRY control (Left lane) or pCMV6-ENTRY ARL3.
Immunohistochemistry: ARL3 Antibody (OTI1C6) [NBP2-46542]

Immunohistochemistry: ARL3 Antibody (OTI1C6) [NBP2-46542]

Immunohistochemistry: ARL3 Antibody (1C6) [NBP2-46542] - Analysis of Human tonsil tissue. (Heat-induced epitope retrieval by 10mM citric buffer, pH6.0, 120C for 3min)
Immunohistochemistry: ARL3 Antibody (OTI1C6) [NBP2-46542]

Immunohistochemistry: ARL3 Antibody (OTI1C6) [NBP2-46542]

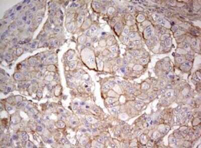
Immunohistochemistry: ARL3 Antibody (1C6) [NBP2-46542] - Analysis of Carcinoma of Human liver tissue.(Heat-induced epitope retrieval by 10mM citric buffer, pH6.0, 120C for 3min)

Applications for ARL3 Antibody (OTI1C6)

Application
Recommended Usage

Immunohistochemistry

1:150

Immunohistochemistry-Paraffin

1:150

Western Blot

1:2000

Formulation, Preparation, and Storage

Purification

Immunogen affinity purified

Formulation

PBS (pH 7.3), 1.0% BSA and 50% Glycerol

Preservative

0.02% Sodium Azide

Concentration

1 mg/ml

Shipping

The product is shipped with polar packs. Upon receipt, store it immediately at the temperature recommended below.

Stability & Storage

Store at -20C. Avoid freeze-thaw cycles.

Background: ARL3

ADP-ribosylation factor-like 3 is a member of the ADP-ribosylation factor family of GTP-binding proteins. ARL3 binds guanine nucleotides but lacks ADP-ribosylation factor activity. [provided by RefSeq]

Alternate Names

ADP-ribosylation factor-like 3, ARFL3ADP-ribosylation factor-like protein 3, ARF-like 3

Gene Symbol

ARL3

Additional ARL3 Products

Product Documents for ARL3 Antibody (OTI1C6)

Certificate of Analysis

To download a Certificate of Analysis, please enter a lot number in the search box below.

Product Specific Notices for ARL3 Antibody (OTI1C6)

This product is for research use only and is not approved for use in humans or in clinical diagnosis. Primary Antibodies are guaranteed for 1 year from date of receipt.

Loading...
Loading...
Loading...
Loading...