Skip to main content

ARHGAP25 Antibody - BSA Free

Novus Biologicals, part of Bio-Techne | Catalog # NBP2-92851

Novus Biologicals, part of Bio-Techne
Catalog #
Availability
Size / Price
Qty
Loading...
NBP2-92851-0.02ml
NBP2-92851-0.1ml

Key Product Details

Species Reactivity

Human, Mouse

Applications

Immunocytochemistry/ Immunofluorescence, Immunohistochemistry, Immunohistochemistry-Paraffin, Western Blot

Label

Unconjugated

Antibody Source

Polyclonal Rabbit IgG

Format

BSA Free

Concentration

Please see the vial label for concentration. If unlisted please contact technical services.

Product Specifications

Immunogen

Recombinant fusion protein containing a sequence corresponding to amino acids 1-370 of human ARHGAP25 (NP_001159748.1). MSLGQSACLFLSIARSRSVMTGEQMAAFHPSSTPNPLERPIKMGWLKKQRSIVKNWQQRYFVLRAQQLYYYKDEEDTKPQGCMYLPGCTIKEIATNPEEAGKFVFEIIPASWDQNRMGQDSYVLMASSQAEMEEWVKFLRRVAGTPCGAVFGQRLDETVAYEQKFGPHLVPILVEKCAEFILEHGRNEEGIFRLPGQDNLVKQLRDAFDAGERPSFDRDTDVHTVASLLKLYLRDLPEPVVPWSQYEGFLLCGQLTNADEAKAQQELMKQLSILPRDNYSLLSYICRFLHEIQLNCAVNKMSVDNLATVIGVNLIRSKVEDPAVIMRGTPQIQRVMTMMIRDHEVLFPKSKDIPLSPPAQKNDPKKAPVA

Clonality

Polyclonal

Host

Rabbit

Isotype

IgG

Description

Novus Biologicals Rabbit ARHGAP25 Antibody - BSA Free (NBP2-92851) is a polyclonal antibody validated for use in IHC, WB and ICC/IF. All Novus Biologicals antibodies are covered by our 100% guarantee.

Scientific Data Images for ARHGAP25 Antibody - BSA Free

Western Blot: ARHGAP25 AntibodyBSA Free [NBP2-92851]

Western Blot: ARHGAP25 AntibodyBSA Free [NBP2-92851]

Western Blot: ARHGAP25 Antibody [NBP2-92851] - Analysis of extracts of various cell lines, using ARHGAP25 at 1:1000 dilution.Secondary antibody: HRP Goat Anti-Rabbit IgG (H+L) at 1:10000 dilution.Lysates/proteins: 25ug per lane.Blocking buffer: 3% nonfat dry milk in TBST.
Immunocytochemistry/ Immunofluorescence: ARHGAP25 Antibody - BSA Free [NBP2-92851]

Immunocytochemistry/ Immunofluorescence: ARHGAP25 Antibody - BSA Free [NBP2-92851]

Immunocytochemistry/Immunofluorescence: ARHGAP25 Antibody [NBP2-92851] - Analysis of L929 cells using ARHGAP25 . Blue: DAPI for nuclear staining.
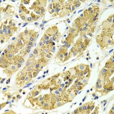
Immunohistochemistry-Paraffin: ARHGAP25 Antibody - BSA Free [NBP2-92851]

Immunohistochemistry-Paraffin: ARHGAP25 Antibody - BSA Free [NBP2-92851]

Immunohistochemistry-Paraffin: ARHGAP25 Antibody [NBP2-92851] - Paraffin-embedded human kidney using ARHGAP25 .

Applications for ARHGAP25 Antibody - BSA Free

Application
Recommended Usage

Immunocytochemistry/ Immunofluorescence

1:50-1:100

Immunohistochemistry

1:50-1:100

Western Blot

1:500-1:2000

Formulation, Preparation, and Storage

Purification

Affinity purified

Formulation

PBS (pH 7.3), 50% glycerol

Format

BSA Free

Preservative

0.02% Sodium Azide

Concentration

Please see the vial label for concentration. If unlisted please contact technical services.

Shipping

The product is shipped with polar packs. Upon receipt, store it immediately at the temperature recommended below.

Stability & Storage

Store at -20C. Avoid freeze-thaw cycles.

Background: ARHGAP25

ARHGAPs, such as ARHGAP25, encode negative regulators of Rho GTPases (see ARHA; MIM 165390), which are implicated in actin remodeling, cell polarity, and cell migration (Katoh and Katoh, 2004 [PubMed 15254788]).[supplied by OMIM]

Alternate Names

KAIA0053, KIAA0053, Rho GTPase activating protein 25, rho GTPase-activating protein 25, Rho-type GTPase-activating protein 25

Gene Symbol

ARHGAP25

Additional ARHGAP25 Products

Product Documents for ARHGAP25 Antibody - BSA Free

Certificate of Analysis

To download a Certificate of Analysis, please enter a lot number in the search box below.

Product Specific Notices for ARHGAP25 Antibody - BSA Free

This product is for research use only and is not approved for use in humans or in clinical diagnosis. Primary Antibodies are guaranteed for 1 year from date of receipt.

Loading...
Loading...
Loading...
Loading...