Skip to main content

ARHGAP25 Antibody (OTI2D5)

Novus Biologicals, part of Bio-Techne | Catalog # NBP2-03024

Novus Biologicals, part of Bio-Techne
Catalog #
Availability
Size / Price
Qty
Loading...
NBP2-03024

Key Product Details

Species Reactivity

Human, Mouse, Rat

Applications

Flow Cytometry, Immunocytochemistry/ Immunofluorescence, Immunohistochemistry, Immunohistochemistry-Paraffin, Western Blot

Label

Unconjugated

Antibody Source

Monoclonal Mouse IgG1 Clone # OTI2D5

Concentration

0.59 mg/ml

Product Specifications

Immunogen

Full length human recombinant protein of human ARHGAP25 (NP_055697) produced in HEK293T cell.

Reactivity Notes

Please note that this antibody is reactive to Mouse and derived from the same host, Mouse. Mouse-On-Mouse blocking reagent may be needed for IHC and ICC experiments to reduce high background signal. You can find these reagents under catalog numbers PK-2200-NB and MP-2400-NB. Please contact Technical Support if you have any questions.

Clonality

Monoclonal

Host

Mouse

Isotype

IgG1

Theoretical MW

72.3 kDa.
Disclaimer note: The observed molecular weight of the protein may vary from the listed predicted molecular weight due to post translational modifications, post translation cleavages, relative charges, and other experimental factors.

Description

Novus Biologicals Mouse ARHGAP25 Antibody (OTI2D5) (NBP2-03024) is a monoclonal antibody validated for use in IHC, WB, Flow and ICC/IF. All Novus Biologicals antibodies are covered by our 100% guarantee.

Scientific Data Images for ARHGAP25 Antibody (OTI2D5)

Western Blot: ARHGAP25 Antibody (OTI2D5) [NBP2-03024]

Western Blot: ARHGAP25 Antibody (OTI2D5) [NBP2-03024]

Western Blot: ARHGAP25 Antibody (OTI2D5) [NBP2-03024] - Analysis of extracts (35ug) from 9 different cell lines by using anti-ARHGAP25 monoclonal antibody.
Immunocytochemistry/ Immunofluorescence: ARHGAP25 Antibody (OTI2D5) [NBP2-03024]

Immunocytochemistry/ Immunofluorescence: ARHGAP25 Antibody (OTI2D5) [NBP2-03024]

Immunocytochemistry/Immunofluorescence: ARHGAP25 Antibody (OTI2D5) [NBP2-03024] - Staining of COS7 cells transiently transfected by pCMV6-ENTRY ARHGAP25 .
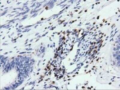
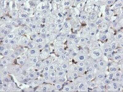
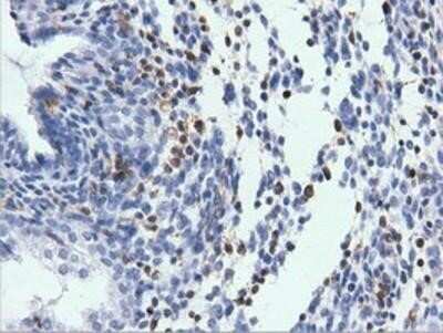
Immunohistochemistry-Paraffin: ARHGAP25 Antibody (OTI2D5) [NBP2-03024]

Immunohistochemistry-Paraffin: ARHGAP25 Antibody (OTI2D5) [NBP2-03024]

Immunohistochemistry-Paraffin: ARHGAP25 Antibody (OTI2D5) [NBP2-03024] - Staining of paraffin-embedded Human prostate tissue using anti-ARHGAP25 mouse monoclonal antibody.

Applications for ARHGAP25 Antibody (OTI2D5)

Application
Recommended Usage

Flow Cytometry

1:100

Immunocytochemistry/ Immunofluorescence

1:100

Immunohistochemistry

1:150

Immunohistochemistry-Paraffin

1:150

Western Blot

1:500-2000

Formulation, Preparation, and Storage

Purification

Immunogen affinity purified

Formulation

PBS (pH 7.3), 1.0% BSA and 50% Glycerol

Preservative

0.02% Sodium Azide

Concentration

0.59 mg/ml

Shipping

The product is shipped with polar packs. Upon receipt, store it immediately at the temperature recommended below.

Stability & Storage

Store at -20C. Avoid freeze-thaw cycles.

Background: ARHGAP25

ARHGAPs, such as ARHGAP25, encode negative regulators of Rho GTPases (see ARHA; MIM 165390), which are implicated in actin remodeling, cell polarity, and cell migration (Katoh and Katoh, 2004 [PubMed 15254788]).[supplied by OMIM].

Alternate Names

KAIA0053, KIAA0053, Rho GTPase activating protein 25, rho GTPase-activating protein 25, Rho-type GTPase-activating protein 25

Entrez Gene IDs

9938 (Human)

Gene Symbol

ARHGAP25

Additional ARHGAP25 Products

Product Documents for ARHGAP25 Antibody (OTI2D5)

Certificate of Analysis

To download a Certificate of Analysis, please enter a lot number in the search box below.

Product Specific Notices for ARHGAP25 Antibody (OTI2D5)

This product is for research use only and is not approved for use in humans or in clinical diagnosis. Primary Antibodies are guaranteed for 1 year from date of receipt.

Loading...
Loading...
Loading...
Loading...
Loading...