Skip to main content

ARHGAP12 Antibody - BSA Free

Novus Biologicals, part of Bio-Techne | Catalog # NBP3-06233

Novus Biologicals, part of Bio-Techne

Key Product Details

Species Reactivity

Human

Applications

Immunohistochemistry, Immunohistochemistry-Paraffin, Western Blot

Label

Unconjugated

Antibody Source

Polyclonal Rabbit IgG

Format

BSA Free

Concentration

Please see the vial label for concentration. If unlisted please contact technical services.

Product Specifications

Immunogen

Produced in rabbits immunized with E. coli-derived Human ARHGAP12 fragment.

Clonality

Polyclonal

Host

Rabbit

Isotype

IgG

Description

This antibody can be stored at 2C-8C for one month without detectable loss of activity. Antibody products are stable for twelve months from date of receipt when stored at -20C to -80C. Avoid repeated freeze-thaw cycles.

Scientific Data Images for ARHGAP12 Antibody - BSA Free

Western Blot: ARHGAP12 Antibody [NBP3-06233]

Western Blot: ARHGAP12 Antibody [NBP3-06233]

Western Blot: ARHGAP12 Antibody [NBP3-06233] - Anti-ARHGAP12 rabbit polyclonal antibody at 1:500 dilution.Lane A: HeLa Whole Cell Lysate.Lysatesroteins at 30 ug per lane. Secondary: Goat Anti-Rabbit IgG (H+L) HRP at 110000 dilution. Developed using the ECL technique. Performed under reducing conditions. Predicted band size:96 kDa. (We are unsure as to the identity of these extra bands.)
ARHGAP12 Antibody - BSA Free

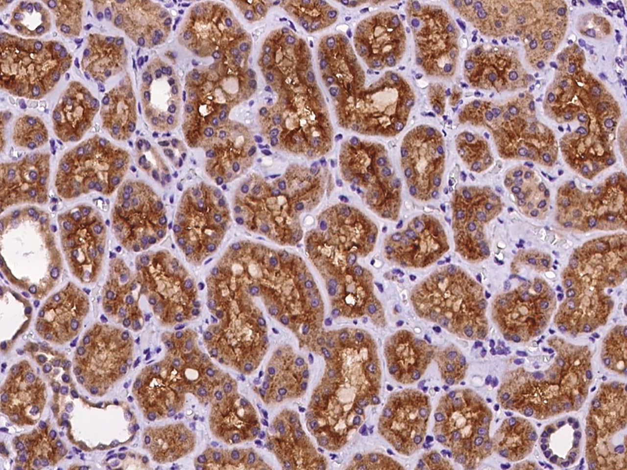
Immunohistochemistry-Paraffin: ARHGAP12 Antibody - BSA Free [NBP3-06233] -

Immunohistochemistry-Paraffin: ARHGAP12 Antibody - BSA Free [NBP3-06233] - Immunochemical staining of human ARHGAP12 in human kidney with NBP3-06233 at 1:100 dilution, formalin-fixed paraffin embedded sections.

Applications for ARHGAP12 Antibody - BSA Free

Application
Recommended Usage

Immunohistochemistry-Paraffin

1:50-1:200

Western Blot

1:500-1:2000

Formulation, Preparation, and Storage

Purification

Antigen and protein A Affinity-purified

Formulation

PBS

Format

BSA Free

Preservative

0.03% Proclin 300

Concentration

Please see the vial label for concentration. If unlisted please contact technical services.

Shipping

The product is shipped with polar packs. Upon receipt, store it immediately at the temperature recommended below.

Stability & Storage

Store at 4C short term. Aliquot and store at -20C long term. Avoid freeze-thaw cycles.

Background: ARHGAP12

RHO GTPases (see ARHA, MIM 165390) that participate in a wide variety of cellular processes are active in their GTP-bound form and inactive in their GDP-bound form. The hydrolysis of GTP and the inactivation of these GTPases are regulated by GTPase-activating proteins (GAPs), such as ARHGAP12 (Zhang et al., 2002 [PubMed 11854031]).[supplied by OMIM]

Alternate Names

Rho GTPase activating protein 12

Gene Symbol

ARHGAP12

Additional ARHGAP12 Products

Product Documents for ARHGAP12 Antibody - BSA Free

Certificate of Analysis

To download a Certificate of Analysis, please enter a lot number in the search box below.

Product Specific Notices for ARHGAP12 Antibody - BSA Free

This product is for research use only and is not approved for use in humans or in clinical diagnosis. Primary Antibodies are guaranteed for 1 year from date of receipt.

Loading...
Loading...
Loading...
Loading...