Skip to main content

ARH Antibody (OTI7E11)

Novus Biologicals, part of Bio-Techne | Catalog # NBP2-01435

Novus Biologicals, part of Bio-Techne
Catalog #
Availability
Size / Price
Qty
Loading...
NBP2-01435

Key Product Details

Species Reactivity

Human, Mouse, Rat

Applications

Flow Cytometry, Immunocytochemistry/ Immunofluorescence, Immunohistochemistry, Immunohistochemistry-Paraffin, Western Blot

Label

Unconjugated

Antibody Source

Monoclonal Mouse IgG1 Clone # OTI7E11

Concentration

0.79 mg/ml

Product Specifications

Immunogen

Full length human recombinant protein of human LDLRAP1(NP_056442) produced in HEK293T cell.

Reactivity Notes

Please note that this antibody is reactive to Mouse and derived from the same host, Mouse. Mouse-On-Mouse blocking reagent may be needed for IHC and ICC experiments to reduce high background signal. You can find these reagents under catalog numbers PK-2200-NB and MP-2400-NB. Please contact Technical Support if you have any questions.

Clonality

Monoclonal

Host

Mouse

Isotype

IgG1

Theoretical MW

33.7 kDa.
Disclaimer note: The observed molecular weight of the protein may vary from the listed predicted molecular weight due to post translational modifications, post translation cleavages, relative charges, and other experimental factors.

Description

Novus Biologicals Mouse ARH Antibody (OTI7E11) (NBP2-01435) is a monoclonal antibody validated for use in IHC, WB, Flow and ICC/IF. All Novus Biologicals antibodies are covered by our 100% guarantee.

Scientific Data Images for ARH Antibody (OTI7E11)

Western Blot: ARH Antibody (OTI7E11) [NBP2-01435]

Western Blot: ARH Antibody (OTI7E11) [NBP2-01435]

Western Blot: ARH Antibody (7E11) [NBP2-01435] - HEK293T cells were transfected with the pCMV6-ENTRY control (Left lane) or pCMV6-ENTRY ARH (Right lane) cDNA for 48 hrs and lysed. Equivalent amounts of cell lysates (5 ug per lane) were separated by SDS-PAGE and immunoblotted with anti-ARH.
Immunocytochemistry/ Immunofluorescence: ARH Antibody (OTI7E11) [NBP2-01435]

Immunocytochemistry/ Immunofluorescence: ARH Antibody (OTI7E11) [NBP2-01435]

Immunocytochemistry/Immunofluorescence: ARH Antibody (OTI7E11) [NBP2-01435] - Staining of COS7 cells transiently transfected by pCMV6-ENTRY ARH.
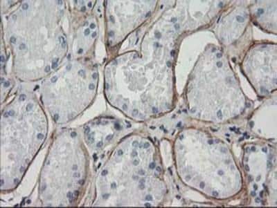
Immunohistochemistry-Paraffin: ARH Antibody (OTI7E11) [NBP2-01435]

Immunohistochemistry-Paraffin: ARH Antibody (OTI7E11) [NBP2-01435]

Immunohistochemistry-Paraffin: ARH Antibody (7E11) [NBP2-01435] - Staining of paraffin-embedded Human Kidney tissue using anti-ARH mouse monoclonal antibody.

Applications for ARH Antibody (OTI7E11)

Application
Recommended Usage

Flow Cytometry

1:100

Immunocytochemistry/ Immunofluorescence

1:100

Immunohistochemistry

1:150

Immunohistochemistry-Paraffin

1:150

Western Blot

1:2000

Formulation, Preparation, and Storage

Purification

Immunogen affinity purified

Formulation

PBS (pH 7.3), 1.0% BSA and 50% Glycerol

Preservative

0.02% Sodium Azide

Concentration

0.79 mg/ml

Shipping

The product is shipped with polar packs. Upon receipt, store it immediately at the temperature recommended below.

Stability & Storage

Store at -20C. Avoid freeze-thaw cycles.

Background: ARH

The protein encoded by this gene is a cytosolic protein which contains a phosphotyrosine binding (PTD) domain. The PTD domain has been found to interact with the cytoplasmic tail of the LDL receptor. Mutations in this gene lead to LDL receptor malfunction and cause the disorder autosomal recessive hypercholesterolaemia. [provided by RefSeq].

Alternate Names

ARH1, ARH2, ARHAutosomal recessive hypercholesterolemia protein, DKFZp586D0624, FHCB1ARH1, FHCB2LDL receptor adaptor protein, low density lipoprotein receptor adapter protein 1, low density lipoprotein receptor adaptor protein 1, MGC34705

Entrez Gene IDs

26119 (Human)

Gene Symbol

LDLRAP1

Additional ARH Products

Product Documents for ARH Antibody (OTI7E11)

Certificate of Analysis

To download a Certificate of Analysis, please enter a lot number in the search box below.

Product Specific Notices for ARH Antibody (OTI7E11)

This product is for research use only and is not approved for use in humans or in clinical diagnosis. Primary Antibodies are guaranteed for 1 year from date of receipt.

Loading...
Loading...
Loading...
Loading...
Loading...