Skip to main content

ARF1 Antibody

Novus Biologicals, part of Bio-Techne | Catalog # NBP2-29906

Novus Biologicals, part of Bio-Techne
Catalog #
Availability
Size / Price
Qty
Loading...
NBP2-29906
NBP2-29906-0.025mg

Key Product Details

Species Reactivity

Human, Mouse, Canine

Applications

Immunohistochemistry, Immunohistochemistry-Paraffin, Western Blot, Immunocytochemistry/ Immunofluorescence, Immunoprecipitation

Label

Unconjugated

Antibody Source

Polyclonal Rabbit IgG

Concentration

1 mg/ml

Product Specifications

Immunogen

Synthetic peptide DWLSNQLRNQK

Clonality

Polyclonal

Host

Rabbit

Isotype

IgG

Description

Novus Biologicals Rabbit ARF1 Antibody (NBP2-29906) is a polyclonal antibody validated for use in IHC, WB, ICC/IF and IP. Anti-ARF1 Antibody: Cited in 1 publication. All Novus Biologicals antibodies are covered by our 100% guarantee.

Scientific Data Images for ARF1 Antibody

Western Blot: ARF1 Antibody [NBP2-29906]

Western Blot: ARF1 Antibody [NBP2-29906]

Western Blot: ARF1 Antibody [NBP2-29906] - Analysis of 25ug of various whole cell lysates per well onto a 4-20% Tris-HCl polyacrylamide gel.
Immunocytochemistry/ Immunofluorescence: ARF1 Antibody [NBP2-29906]

Immunocytochemistry/ Immunofluorescence: ARF1 Antibody [NBP2-29906]

Immunocytochemistry/Immunofluorescence: ARF1 Antibody [NBP2-29906] - Analysis of Arf1 in HeLa cells. Formalin-fixed cells were permeabilized with 0.1% Triton X-100 in TBS for 10 minutes at room temperature and blocked with 5% normal goat serum for 15 minutes at room temperature. Cells were probed with an Arf1 polyclonal antibody at a dilution of 1:100 for at least 1 hour at room temperature, washed with PBS, and incubated with a DyLight 488-conjugated goat anti-rabbit IgG secondary antibody at a dilution of 1:400 for 30 minutes at room temperature. Nuclei (blue) were stained with Hoechst 33342 dye.
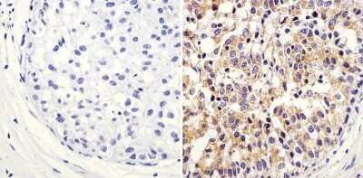
Immunohistochemistry-Paraffin: ARF1 Antibody [NBP2-29906]

Immunohistochemistry-Paraffin: ARF1 Antibody [NBP2-29906]

Immunohistochemistry-Paraffin: ARF1 Antibody [NBP2-29906] - Analysis showing staining in the cytoplasm of human breast carcinoma (right) compared to a negative control without primary antibody (left).

Applications for ARF1 Antibody

Application
Recommended Usage

Immunocytochemistry/ Immunofluorescence

1:100 - 1:200

Immunohistochemistry

1:10 - 1:100

Immunohistochemistry-Paraffin

1:10 - 1:100

Immunoprecipitation

2 ug

Western Blot

1:1000 - 1:2000
Application Notes
Successful WB usage in human, mouse, and canine samples. Successful IF and IP usage in human samples.

Formulation, Preparation, and Storage

Purification

Immunogen affinity purified

Formulation

PBS with 1 mg/ml BSA and 30% glycerol

Preservative

0.05% Sodium Azide

Concentration

1 mg/ml

Shipping

The product is shipped with polar packs. Upon receipt, store it immediately at the temperature recommended below.

Stability & Storage

Store at -20C. Avoid freeze-thaw cycles.

Background: ARF1

The ADP-ribosylation factor (Arf) family comprises a group of structurally and functionally conserved 21 kDa proteins, which are members of the Ras superfamily of regulatory GTP-binding proteins. Arf is involved in intracellular protein traffic to and within the Golgi complex. Arf has a number of disparate activities including maintenance of organelle integrity, assembly of coat proteins, as a co-factor for cholera toxin and as an activator of phospholipase D. The Arf family is divided functionally into the Arf and the Arf-like (Arl) proteins. Arfs share more than 60% sequence identity, appear to be ubiquitous in eukaryotes, and are highly conserved evolutionarily.

Long Name

ADP-ribosylation factor 1

Alternate Names

ADP-ribosylation factor 1

Entrez Gene IDs

375 (Human); 11840 (Mouse)

Gene Symbol

ARF1

Additional ARF1 Products

Product Documents for ARF1 Antibody

Certificate of Analysis

To download a Certificate of Analysis, please enter a lot number in the search box below.

Product Specific Notices for ARF1 Antibody

This product is for research use only and is not approved for use in humans or in clinical diagnosis. Primary Antibodies are guaranteed for 1 year from date of receipt.

Loading...
Loading...
Loading...
Loading...