ARF1 Antibody (ARF1/2117) - Azide and BSA Free
Novus Biologicals, part of Bio-Techne | Catalog # NBP3-08473
Conjugate
Catalog #
Key Product Details
Species Reactivity
Human, Mouse, Rat
Applications
Immunohistochemistry-Paraffin
Label
Unconjugated
Antibody Source
Monoclonal Mouse IgG2a Kappa Clone # ARF1/2117
Format
Azide and BSA Free
Concentration
1 mg/ml
Product Specifications
Immunogen
Recombinant full-length human ARF1 protein (Uniprot: P84077)
Localization
Cytoplasmic (Golgi Apparatus)
Marker
Golgi Apparatus Marker
Clonality
Monoclonal
Host
Mouse
Isotype
IgG2a Kappa
Theoretical MW
20 kDa.
Disclaimer note: The observed molecular weight of the protein may vary from the listed predicted molecular weight due to post translational modifications, post translation cleavages, relative charges, and other experimental factors.
Disclaimer note: The observed molecular weight of the protein may vary from the listed predicted molecular weight due to post translational modifications, post translation cleavages, relative charges, and other experimental factors.
Description
1.0 mg/ml of antibody purified from Bioreactor Concentrate by Protein A/G. Prepared in 10mM PBS WITHOUT BSA & azide. Also available at 200 ug/ml WITH BSA & azide (NBP3-07774).
Antibody with azide - store at 2 to 8C. Antibody without azide - store at -20 to -80C.
Antibody with azide - store at 2 to 8C. Antibody without azide - store at -20 to -80C.
Scientific Data Images for ARF1 Antibody (ARF1/2117) - Azide and BSA Free
Immunohistochemistry-Paraffin: ARF1 Antibody (ARF1/2117) - Azide and BSA Free [NBP3-08473]
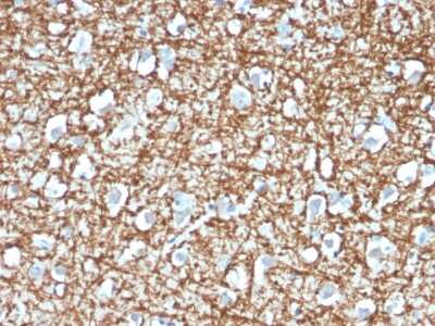
Immunohistochemistry-Paraffin: ARF1 Antibody (ARF1/2117) - Azide and BSA Free [NBP3-08473] - Formalin-fixed, paraffin-embedded Rat Brain stained with ARF1 Mouse Monoclonal Antibody (ARF1/2117).Immunohistochemistry-Paraffin: ARF1 Antibody (ARF1/2117) - Azide and BSA Free [NBP3-08473]
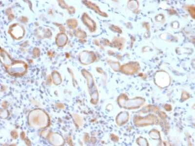
Immunohistochemistry-Paraffin: ARF1 Antibody (ARF1/2117) - Azide and BSA Free [NBP3-08473] - Formalin-fixed, paraffin-embedded human Kidney stained with ARF1 Mouse Monoclonal Antibody (ARF1/2117).Immunohistochemistry-Paraffin: ARF1 Antibody (ARF1/2117) - Azide and BSA Free [NBP3-08473]
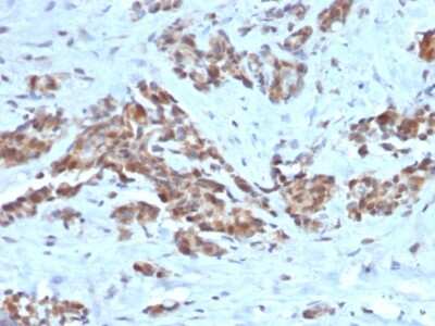
Immunohistochemistry-Paraffin: ARF1 Antibody (ARF1/2117) - Azide and BSA Free [NBP3-08473] - Formalin-fixed, paraffin-embedded human Liver stained with ARF1 Mouse Monoclonal Antibody (ARF1/2117).Applications for ARF1 Antibody (ARF1/2117) - Azide and BSA Free
Application
Recommended Usage
Immunohistochemistry-Paraffin
1-2 ug/ml
Application Notes
Immunohistochemistry Formalin-fixed: 1-2ug/ml for 30 minutes at RT. Staining of formalin-fixed tissues requires heating tissue sections in 10mM Tris with 1mM EDTA, pH 9.0, for 45 min at 95C followed by cooling at RT for 20 minutes.
Formulation, Preparation, and Storage
Purification
Protein A or G purified
Formulation
10 mM PBS
Format
Azide and BSA Free
Preservative
No Preservative
Concentration
1 mg/ml
Shipping
The product is shipped with polar packs. Upon receipt, store it immediately at the temperature recommended below.
Stability & Storage
Store at -20 to -80C. Avoid freeze-thaw cycles.
Background: ARF1
Long Name
ADP-ribosylation factor 1
Alternate Names
ADP-ribosylation factor 1
Gene Symbol
ARF1
Additional ARF1 Products
Product Documents for ARF1 Antibody (ARF1/2117) - Azide and BSA Free
Product Specific Notices for ARF1 Antibody (ARF1/2117) - Azide and BSA Free
This product is for research use only and is not approved for use in humans or in clinical diagnosis. Primary Antibodies are guaranteed for 1 year from date of receipt.
Loading...
Loading...
Loading...
Loading...