Skip to main content

ARC/NOL3 Antibody

Novus Biologicals, part of Bio-Techne | Catalog # NBP2-19561

Novus Biologicals, part of Bio-Techne
Catalog #
Availability
Size / Price
Qty
Loading...
NBP2-19561

Key Product Details

Species Reactivity

Human, Mouse, Rat

Applications

Immunohistochemistry, Immunohistochemistry-Paraffin, Immunohistochemistry-Frozen, Western Blot, Immunocytochemistry/ Immunofluorescence

Label

Unconjugated

Antibody Source

Polyclonal Rabbit IgG

Concentration

Concentrations vary lot to lot. See vial label for concentration. If unlisted please contact technical services.

Product Specifications

Immunogen

Recombinant protein encompassing a sequence within the center region of human ARC/NOL3. The exact sequence is proprietary.

Localization

Isoform 1: Nucleus; nucleolus; Isoform 2: Cytoplasm

Clonality

Polyclonal

Host

Rabbit

Isotype

IgG

Theoretical MW

24 kDa.
Disclaimer note: The observed molecular weight of the protein may vary from the listed predicted molecular weight due to post translational modifications, post translation cleavages, relative charges, and other experimental factors.

Description

Novus Biologicals Rabbit ARC/NOL3 Antibody (NBP2-19561) is a polyclonal antibody validated for use in IHC, WB and ICC/IF. All Novus Biologicals antibodies are covered by our 100% guarantee.

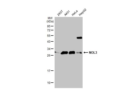
Scientific Data Images for ARC/NOL3 Antibody

Immunocytochemistry/ Immunofluorescence: ARC/NOL3 Antibody [NBP2-19561]

Immunocytochemistry/ Immunofluorescence: ARC/NOL3 Antibody [NBP2-19561]

Immunocytochemistry/Immunofluorescence: ARC/NOL3 Antibody [NBP2-19561] - Confocal immunofluorescence analysis (Olympus FV10i) of paraformaldehyde-fixed HeLa, using NOL3 antibody (Green) at 1:500 dilution. Alpha-tubulin filaments were labeled with (Red) at 1:2000.
Immunohistochemistry-Paraffin: ARC/NOL3 Antibody [NBP2-19561]

Immunohistochemistry-Paraffin: ARC/NOL3 Antibody [NBP2-19561]

Immunohistochemistry-Paraffin: ARC/NOL3 Antibody [NBP2-19561] - Mouse brain. NOL3 stained by NOL3 antibody diluted at 1:500. Antigen Retrieval: Citrate buffer, pH 6.0, 15 min.
Immunohistochemistry-Paraffin: ARC/NOL3 Antibody [NBP2-19561]

Immunohistochemistry-Paraffin: ARC/NOL3 Antibody [NBP2-19561]

Immunohistochemistry-Paraffin: ARC/NOL3 Antibody [NBP2-19561] - Hela xenograft, using NOL3 antibody at 1:500 dilution. Antigen Retrieval: Trilogy™ (EDTA based, pH 8.0) buffer, 15min.

Applications for ARC/NOL3 Antibody

Application
Recommended Usage

Immunocytochemistry/ Immunofluorescence

1:100-1:1000

Immunohistochemistry

1:100-1:1000

Immunohistochemistry-Frozen

1:100-1:1000

Immunohistochemistry-Paraffin

1:100-1:1000

Western Blot

1:500-1:3000

Formulation, Preparation, and Storage

Purification

Antigen Affinity-purified

Formulation

PBS, 20% Glycerol

Preservative

0.025% Proclin 300

Concentration

Concentrations vary lot to lot. See vial label for concentration. If unlisted please contact technical services.

Shipping

The product is shipped with polar packs. Upon receipt, store it immediately at the temperature recommended below.

Stability & Storage

Aliquot and store at -20C or -80C. Avoid freeze-thaw cycles.

Background: ARC

This gene encodes an anti-apoptotic protein that has been shown to down-regulate the enzyme activities of caspase 2, caspase 8 and tumor protein p53. Multiple transcript variants encoding different isoforms have been found for this gene. [provided by RefSeq]

Long Name

Apoptosis Repressor with Caspase Recruitment Domain

Alternate Names

NOL3

Gene Symbol

NOL3

Additional ARC Products

Product Documents for ARC/NOL3 Antibody

Certificate of Analysis

To download a Certificate of Analysis, please enter a lot number in the search box below.

Product Specific Notices for ARC/NOL3 Antibody

This product is for research use only and is not approved for use in humans or in clinical diagnosis. Primary Antibodies are guaranteed for 1 year from date of receipt.

Loading...
Loading...
Loading...
Loading...

⚠ WARNING: This product can expose you to chemicals including mercury, which is known to the State of California to cause reproductive toxicity with developmental effects.  For more information go to www.P65Warnings.ca.gov.