Skip to main content

Aquaporin-4 Antibody (CL0178) - Azide and BSA Free

Novus Biologicals, part of Bio-Techne | Catalog # NBP3-43897

Novus Biologicals, part of Bio-Techne
Catalog #
Availability
Size / Price
Qty
Loading...
NBP3-43897

Key Product Details

Validated by

Orthogonal Validation

Species Reactivity

Human

Applications

Immunohistochemistry-Paraffin, Western Blot

Label

Unconjugated

Antibody Source

Monoclonal Mouse IgG1 Clone # CL0178

Format

Azide and BSA Free

Concentration

LYOPH mg/ml

Product Specifications

Immunogen

This antibody was generated using a recombinant protein sequence of P55087, with the exact immunogen sequence remaining proprietary.

Clonality

Monoclonal

Host

Mouse

Isotype

IgG1

Description

Novus Biologicals Mouse Aquaporin-4 Antibody (CL0178) - Azide and BSA Free (NBP2-52872) is a monoclonal antibody validated for use in IHC and WB. All Novus Biologicals antibodies are covered by our 100% guarantee.

Scientific Data Images for Aquaporin-4 Antibody (CL0178) - Azide and BSA Free

Aquaporin-4 Antibody (CL0178) - Azide and BSA Free Immunohistochemistry-Paraffin: Aquaporin-4 Antibody [NBP3-43897]

Immunohistochemistry-Paraffin: Aquaporin-4 Antibody [NBP3-43897]

Analysis in human cerebral cortex and liver tissues using NBP3-43897 antibody. Corresponding Aquaporin-4 RNA-seq data are presented for the same tissues.
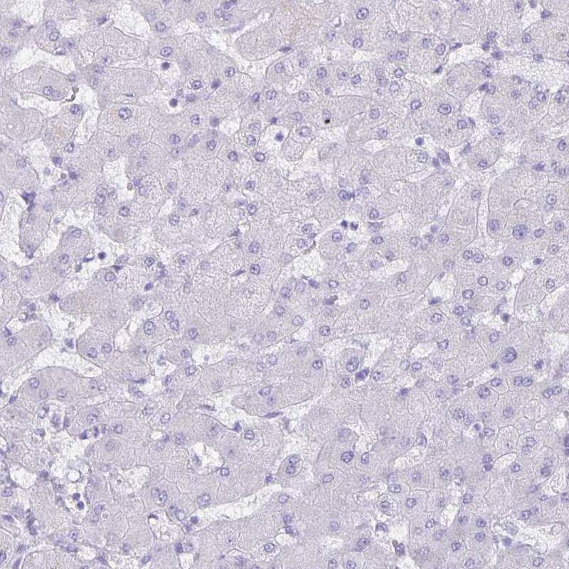
Aquaporin-4 Antibody (CL0178) - Azide and BSA Free Immunohistochemistry-Paraffin: Aquaporin-4 Antibody [NBP3-43897]

Immunohistochemistry-Paraffin: Aquaporin-4 Antibody [NBP3-43897]

Staining of human liver shows no positivity in hepatocytes as expected.
Aquaporin-4 Antibody (CL0178) - Azide and BSA Free Immunohistochemistry-Paraffin: Aquaporin-4 Antibody [NBP3-43897]

Immunohistochemistry-Paraffin: Aquaporin-4 Antibody [NBP3-43897]

Staining of human cerebral cortex shows moderate to strong membranous positivity in astrocytes.

Applications for Aquaporin-4 Antibody (CL0178) - Azide and BSA Free

Application
Recommended Usage

Immunohistochemistry-Paraffin

1:500 - 1:1000

Western Blot

1 ug/ml
Application Notes
For IHC-Paraffin, HIER pH 6 retrieval is recommended.

Formulation, Preparation, and Storage

Purification

Protein A purified

Reconstitution

Centrifuge the vial of lyophilized antibody at 12,000 x g for 20 seconds. Reconstitute by adding sterile, distilled water to achieve a final antibody concentration of 1mg/ml.

Formulation

Lyophilized from a 0.2 um filtered solution in PBS with Trehalose

Format

Azide and BSA Free

Preservative

No Preservative

Concentration

LYOPH mg/ml

Shipping

The product is shipped at ambient temperature. Upon receipt, store it immediately at the temperature recommended below.

Stability & Storage

Store at 4C short term. Aliquot and store at -20C long term. Avoid freeze-thaw cycles.

Background: Aquaporin 4/AQP4

The Aquaporin-4 gene encodes a member of the aquaporin family of intrinsic membrane proteins that function as water-selectivechannels in the plasma membranes of many cells. The encoded protein is the predominant aquaporin found in brain. Twoalternatively spliced tra

Long Name

Aquaporin 4

Alternate Names

AQP-4, AQP4, MIWC, WCH4

Gene Symbol

AQP4

Additional Aquaporin 4/AQP4 Products

Product Documents for Aquaporin-4 Antibody (CL0178) - Azide and BSA Free

Certificate of Analysis

To download a Certificate of Analysis, please enter a lot number in the search box below.

Product Specific Notices for Aquaporin-4 Antibody (CL0178) - Azide and BSA Free

This product is for research use only and is not approved for use in humans or in clinical diagnosis. Primary Antibodies are guaranteed for 1 year from date of receipt.

Loading...
Loading...
Loading...
Loading...
Loading...