Skip to main content

Apolipoprotein C-II/ApoC2 Antibody - BSA Free

Novus Biologicals, part of Bio-Techne | Catalog # NB400-155

Novus Biologicals, part of Bio-Techne
Catalog #
Availability
Size / Price
Qty
Loading...
NB400-155

Key Product Details

Species Reactivity

Human

Applications

Immunohistochemistry, Immunohistochemistry-Paraffin, Western Blot, ELISA, Immunoprecipitation

Label

Unconjugated

Antibody Source

Polyclonal Goat IgG

Format

BSA Free

Concentration

Please see the vial label for concentration. If unlisted please contact technical services.

Product Specifications

Immunogen

Apolipoprotein C-II/ApoC2 produced synthetically in full-length form (not selected epitopes) using conventional peptide technology. (Uniprot: P02655)

Reactivity Notes

Specific cross reaction of anti-apoLipoprotein antibodies with antigens from other species has not been determined. Non-specific cross reaction of anti-apoLipoprotein antibodies with other human serum proteins is negligible

Specificity

Typically less than 1% cross reactivity against other types of apoLipoprotein was detected by ELISA against purified standards. This antibody reacts with human apoLipoprotein C-II and has negligible cross-reactivity with Type A-I, A-II, B, C-I, C-III, E and J apoLipoproteins. Specific cross reaction of anti-apoLipoprotein antibodies with antigens from other species has not been determined. Non-specific cross reaction of anti-apoLipoprotein antibodies with other human serum proteins is negligible.

Clonality

Polyclonal

Host

Goat

Isotype

IgG

Description

This product has been prepared by immunoaffinity chromatography using immobilized antigens followed by extensive cross-adsorption against other apoLipoproteins and human serum proteins to remove any unwanted specificities

Store vial at 4C prior to opening. This product is stable 4C as an undiluted liquid. Dilute only prior to immediate use. For extended storage mix with an equal volume of glycerol, aliquot contents and freeze at -20C or below. Avoid cycles of freezing and thawing.

Scientific Data Images for Apolipoprotein C-II/ApoC2 Antibody - BSA Free

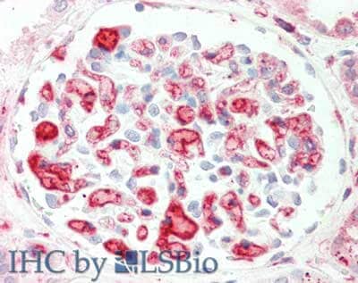
Immunohistochemistry: Apolipoprotein C-II/ApoC2 Antibody [NB400-155]

Immunohistochemistry: Apolipoprotein C-II/ApoC2 Antibody [NB400-155]

Immunohistochemistry: Apolipoprotein C-II/ApoC2 Antibody [NB400-155] - Tissue: kidney. Fixation: formalin fixed paraffin embedded. Primary antibody: Apolipoprotein C-II at 5 ug/mL for 1 h at RT. Secondary antibody: Peroxidase goat secondary antibody at 1:10,000 for 45 min at RT. Staining: Apolipoprotein C-II as precipitated red signal with hematoxylin purple nuclear counterstain.
Apolipoprotein C-II/ApoC2 Antibody

Apolipoprotein C-II/ApoC2 Antibody

Immunohistochemistry of Apolipoprotein C-II/ApoC2 Antibody. Tissue: human kidney. Fixation: formalin fixed paraffin embedded. Antigen retrieval: not required. Primary antibody: Apolipoprotein C-II at 5 ug/mL for 1 h at RT. Secondary antibody: Peroxidase goat secondary antibody at 1:10,000 for 45 min at RT. Staining: Apolipoprotein C-II as precipitated red signal with hematoxylin purple nuclear counterstain.

Applications for Apolipoprotein C-II/ApoC2 Antibody - BSA Free

Application
Recommended Usage

ELISA

1:5000-1:10000

Immunohistochemistry

1:50-1:200

Immunohistochemistry-Paraffin

1:50-1:200

Immunoprecipitation

1:100

Western Blot

1:5000-1:10000
Application Notes
This product have been tested in immunohistochemistry and used for indirect trapping ELISA for quantitation of antigen in serum using a standard curve, immunoprecipitation, immunohistochemistry, and for western blotting for highly sensitive qualitative analysis.

Formulation, Preparation, and Storage

Purification

Immunogen affinity purified

Formulation

0.125 M Sodium Borate, 0.075 M Sodium Chloride, 0.005 M EDTA, pH 8.0

Format

BSA Free

Preservative

0.01% Sodium Azide

Concentration

Please see the vial label for concentration. If unlisted please contact technical services.

Shipping

The product is shipped with polar packs. Upon receipt, store it immediately at the temperature recommended below.

Stability & Storage

Store at 4C short term. For extended storage, add an equal volume of glycerol, aliquot and store at -20C or below. Avoid repeated freeze-thaw cycles.

Background: Apolipoprotein C-II/ApoC2

At least 9 distinct polymorphic forms of apolipoproteins are known. The apolipoproteins act as stabilizers of the intact lipoprotein particles. Quantitative measurements of HDL, LDL and VLDL particles in human serum are often used to estimate an individuals' relative risk of coronary heart disease. In addition, quantitative immunological measurements of certain apolipoproteins (especially A-1 and B) have been suggested to be more accurate estimators of coronary heart disease than measurements of lipoprotein particles (especially HDL and LDL).

Alternate Names

APOC2, Apolipoprotein CII

Entrez Gene IDs

344 (Human)

Gene Symbol

APOC2

UniProt

Additional Apolipoprotein C-II/ApoC2 Products

Product Documents for Apolipoprotein C-II/ApoC2 Antibody - BSA Free

Certificate of Analysis

To download a Certificate of Analysis, please enter a lot number in the search box below.

Product Specific Notices for Apolipoprotein C-II/ApoC2 Antibody - BSA Free

This product is for research use only and is not approved for use in humans or in clinical diagnosis. Primary Antibodies are guaranteed for 1 year from date of receipt.

Loading...
Loading...
Loading...
Loading...