Skip to main content

Apolipoprotein A-IV/ApoA4 Antibody (CL0468) - Azide and BSA Free

Novus Biologicals, part of Bio-Techne | Catalog # NBP3-43969

Novus Biologicals, part of Bio-Techne
Catalog #
Availability
Size / Price
Qty
Loading...
NBP3-43969

Key Product Details

Validated by

Orthogonal Validation

Species Reactivity

Human

Applications

Immunohistochemistry-Paraffin, Western Blot

Label

Unconjugated

Antibody Source

Monoclonal Mouse IgG1 Clone # CL0468

Format

Azide and BSA Free

Concentration

LYOPH mg/ml

Product Specifications

Immunogen

This antibody was generated using a recombinant protein sequence of P06727, with the exact immunogen sequence remaining proprietary.

Clonality

Monoclonal

Host

Mouse

Isotype

IgG1

Description

Novus Biologicals Mouse Apolipoprotein A-IV/ApoA4 Antibody (CL0468) - Azide and BSA Free (NBP2-52932) is a monoclonal antibody validated for use in IHC and WB. All Novus Biologicals antibodies are covered by our 100% guarantee.

Scientific Data Images for Apolipoprotein A-IV/ApoA4 Antibody (CL0468) - Azide and BSA Free

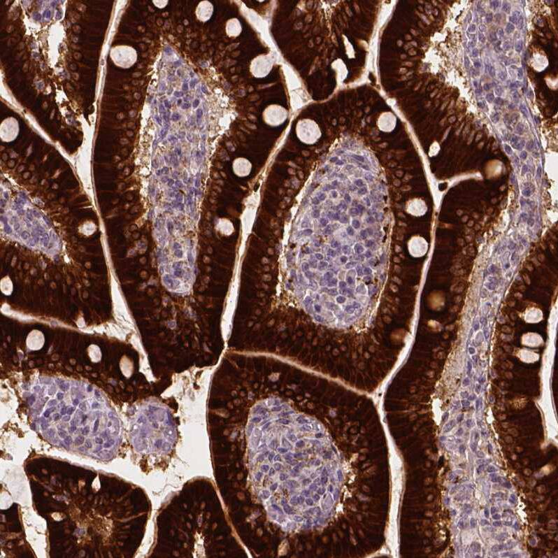
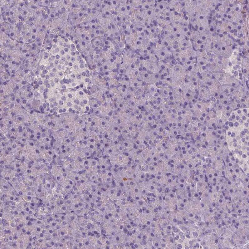
Apolipoprotein A-IV/ApoA4 Antibody (CL0468) - Azide and BSA Free Immunohistochemistry-Paraffin: Apolipoprotein A-IV/ApoA4 Antibody [NBP3-43969]

Immunohistochemistry-Paraffin: Apolipoprotein A-IV/ApoA4 Antibody [NBP3-43969]

Analysis in human small intestine and pancreas tissues using NBP3-43969 antibody. Corresponding Apolipoprotein A-IV/ApoA4 RNA-seq data are presented for the same tissues.
Apolipoprotein A-IV/ApoA4 Antibody (CL0468) - Azide and BSA Free Western Blot: Apolipoprotein A-IV/ApoA4 Antibody [NBP3-43969]

Western Blot: Apolipoprotein A-IV/ApoA4 Antibody [NBP3-43969]

Lane 1: Marker [kDa]
Lane 2: Human plasma
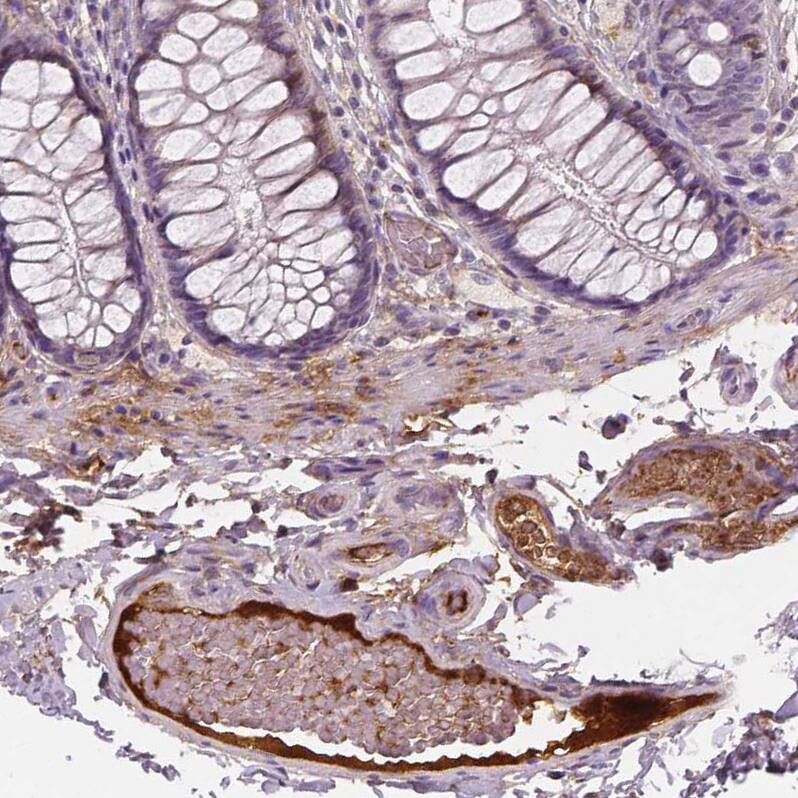
Apolipoprotein A-IV/ApoA4 Antibody (CL0468) - Azide and BSA Free Immunohistochemistry-Paraffin: Apolipoprotein A-IV/ApoA4 Antibody [NBP3-43969]

Immunohistochemistry-Paraffin: Apolipoprotein A-IV/ApoA4 Antibody [NBP3-43969]

Staining of human colon shows moderate positivity in plasma in blood vessels.

Applications for Apolipoprotein A-IV/ApoA4 Antibody (CL0468) - Azide and BSA Free

Application
Recommended Usage

Immunohistochemistry-Paraffin

1:200 - 1:500

Western Blot

1 ug/ml
Application Notes
For IHC-Paraffin, HIER pH 6 retrieval is recommended.

Formulation, Preparation, and Storage

Purification

Protein A purified

Reconstitution

Centrifuge the vial of lyophilized antibody at 12,000 x g for 20 seconds. Reconstitute by adding sterile, distilled water to achieve a final antibody concentration of 1mg/ml.

Formulation

Lyophilized from a 0.2 um filtered solution in PBS with Trehalose

Format

Azide and BSA Free

Preservative

No Preservative

Concentration

LYOPH mg/ml

Shipping

The product is shipped at ambient temperature. Upon receipt, store it immediately at the temperature recommended below.

Stability & Storage

Store at 4C short term. Aliquot and store at -20C long term. Avoid freeze-thaw cycles.

Background: Apolipoprotein A-IV/ApoA4

Apoliprotein (apo) A-IV gene contains 3 exons separated by two introns. A sequence polymorphism has been identified in the 3'UTR of the third exon. The primary translation product is a 396-residue preprotein which after proteolytic processing is secreted its primary site of synthesis, the intestine, in association with chylomicron particles. Although its precise function is not known, apo A-IV is a potent activator of lecithin-cholesterol acyltransferase in vitro.

Alternate Names

Apolipoprotein AIV

Gene Symbol

APOA4

Additional Apolipoprotein A-IV/ApoA4 Products

Product Documents for Apolipoprotein A-IV/ApoA4 Antibody (CL0468) - Azide and BSA Free

Certificate of Analysis

To download a Certificate of Analysis, please enter a lot number in the search box below.

Product Specific Notices for Apolipoprotein A-IV/ApoA4 Antibody (CL0468) - Azide and BSA Free

This product is for research use only and is not approved for use in humans or in clinical diagnosis. Primary Antibodies are guaranteed for 1 year from date of receipt.

Loading...
Loading...
Loading...
Loading...
Loading...
Loading...