Apolipoprotein A-I/ApoA1 Antibody (2083D) - Azide and BSA Free
Novus Biologicals, part of Bio-Techne | Catalog # MAB3664
Recombinant Monoclonal Antibody.
Conjugate
Catalog #
Key Product Details
Species Reactivity
Human
Applications
Immunohistochemistry, Western Blot, Flow Cytometry, Immunocytochemistry, CyTOF-ready
Label
Unconjugated
Antibody Source
Monoclonal Rabbit IgG Clone # 2083D
Format
Azide and BSA Free
Concentration
1.0 mg/ml
Product Specifications
Immunogen
rhApoA1 aa25-267
Clonality
Monoclonal
Host
Rabbit
Isotype
IgG
Description
>90% by SDS PAGE
Scientific Data Images for Apolipoprotein A-I/ApoA1 Antibody (2083D) - Azide and BSA Free
Western Blot: Apolipoprotein A-I/ApoA1 Antibody (2083D)Azide and BSA Free [MAB3664]
Western Blot: Apolipoprotein A-I/ApoA1 Antibody (2083D) [MAB3664] - Analysis of HepG2 cell lysate with 0.1 ug/ml of hApoA1 Monoclonal Antibody followed by HRP-conjugated Anti-Rabbit IgG Antibody. A specific band was detected for hApoA1 at approximately 25-30 kDa (as indicated). This experiment was conducted under reducing conditions and using Immunoblot Buffer Group 1.Immunocytochemistry: Apolipoprotein A-I/ApoA1 Antibody (2083D) - Azide and BSA Free [MAB3664]
Immunocytochemistry: Apolipoprotein A-I/ApoA1 Antibody (2083D) [MAB3664] - ApoA1 was detected in immersion fixed HepG2 cell using ApoA1 Monoclonal Antibody at 1 ug/ml dilution. Cells were stained using the NorthernLights 557-conjugated Anti-Rabbit IgG Secondary Antibody (red) and counterstained with DAPI (blue). Specific staining was localized to cytoplasmic.Immunohistochemistry: Apolipoprotein A-I/ApoA1 Antibody (2083D) - Azide and BSA Free [MAB3664]
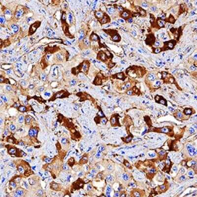
Immunohistochemistry: Apolipoprotein A-I/ApoA1 Antibody (2083D) [MAB3664] - ApoA1 was detected in immersion fixed paraffin-embedded sections of human lung cancer using ApoA1 Monoclonal Antibody at 1 ug/ml. Tissue was stained using Rabbit IgG VisUCyte HRP Polymer Antibody (brown) and counterstained with hematoxylin (blue). Specific staining was localized to cytoplasm in cancer cells.Applications for Apolipoprotein A-I/ApoA1 Antibody (2083D) - Azide and BSA Free
Application
Recommended Usage
CyTOF-ready
Optimal dilutions of this antibody should be experimentally determined.
Flow Cytometry
Optimal dilutions of this antibody should be experimentally determined.
Immunocytochemistry
Optimal dilutions of this antibody should be experimentally determined.
Immunohistochemistry
Optimal dilutions of this antibody should be experimentally determined.
Western Blot
Optimal dilutions of this antibody should be experimentally determined.
Application Notes
This antibody is Cytof ready.
Formulation, Preparation, and Storage
Purification
Protein A or G purified
Formulation
PBS
Format
Azide and BSA Free
Preservative
No Preservative
Concentration
1.0 mg/ml
Shipping
The product is shipped with polar packs. Upon receipt, store it immediately at the temperature recommended below.
Stability & Storage
Store at -20C in the dark. Avoid freeze-thaw cycles.
Background: Apolipoprotein A-I/ApoA1
Alternate Names
Alp-1, APOA1, Apolipoprotein AI, Brp-14, Ltw-1, Lvtw-1, Sep-1, Sep-2
Gene Symbol
APOA1
Additional Apolipoprotein A-I/ApoA1 Products
Product Documents for Apolipoprotein A-I/ApoA1 Antibody (2083D) - Azide and BSA Free
Product Specific Notices for Apolipoprotein A-I/ApoA1 Antibody (2083D) - Azide and BSA Free
This product is for research use only and is not approved for use in humans or in clinical diagnosis. Primary Antibodies are guaranteed for 1 year from date of receipt.
Loading...
Loading...
Loading...
Loading...
Loading...