APOBEC4 Antibody - BSA Free
Novus Biologicals, part of Bio-Techne | Catalog # NBP3-48125
Key Product Details
Species Reactivity
Human
Applications
Immunohistochemistry, Western Blot, ELISA
Label
Unconjugated
Antibody Source
Polyclonal Rabbit IgG
Format
BSA Free
Concentration
Please see the vial label for concentration. If unlisted please contact technical services.
Product Specifications
Immunogen
apolipoprotein B mRNA editing enzyme, catalytic polypeptide-like 4(putative). (Uniprot# Q8WW27)
Clonality
Polyclonal
Host
Rabbit
Isotype
IgG
Description
Novus Biologicals Rabbit APOBEC4 Antibody - BSA Free (NBP3-48125) is a polyclonal antibody validated for use in IHC, WB and ELISA. All Novus Biologicals antibodies are covered by our 100% guarantee.
Scientific Data Images for APOBEC4 Antibody - BSA Free
Western Blot: APOBEC4 Antibody - BSA Free [NBP3-48125] -
Western Blot: APOBEC4 Antibody - BSA Free [NBP3-48125] - HeLa cells were subjected to SDS PAGE followed by western blot with (APOBEC4 antibody) at dilution of 1:1500Immunohistochemistry: APOBEC4 Antibody - BSA Free [NBP3-48125] -
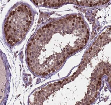
Immunohistochemistry: APOBEC4 Antibody - BSA Free [NBP3-48125] - Immunohistochemistry of paraffin-embedded human testis using (APOBEC4 antibody) at dilution of 1:50Applications for APOBEC4 Antibody - BSA Free
Application
Recommended Usage
Immunohistochemistry
1:20-1:200
Western Blot
1:500-1:2000
Application Notes
Theoretical Molecular Weight is 45-48 kDa
Formulation, Preparation, and Storage
Purification
Immunogen affinity purified
Formulation
PBS, 50% Glycerol, pH (7.3)
Format
BSA Free
Preservative
0.02% Sodium Azide
Concentration
Please see the vial label for concentration. If unlisted please contact technical services.
Shipping
The product is shipped with polar packs. Upon receipt, store it immediately at the temperature recommended below.
Stability & Storage
Store at -20C. Avoid freeze-thaw cycles.
Background: APOBEC4
Alternate Names
apolipoprotein B mRNA editing enzyme, catalytic polypeptide-like 4 (putative), Apolipoprotein B mRNA-editing enzyme catalytic polypeptide-like 4, C1orf169, chromosome 1 open reading frame 169, EC 3.5.4.-, FLJ25691, MGC26594, putative C->U-editing enzyme APOBEC-4, RP1-127C7.4
Gene Symbol
APOBEC4
Additional APOBEC4 Products
Product Documents for APOBEC4 Antibody - BSA Free
Product Specific Notices for APOBEC4 Antibody - BSA Free
This product is for research use only and is not approved for use in humans or in clinical diagnosis. Primary Antibodies are guaranteed for 1 year from date of receipt.
Loading...
Loading...
Loading...
Loading...