Skip to main content

Apc2 Antibody - BSA Free

Novus Biologicals, part of Bio-Techne | Catalog # NBP2-87013

Novus Biologicals, part of Bio-Techne
Catalog #
Availability
Size / Price
Qty
Loading...
NBP2-87013

Key Product Details

Species Reactivity

Human

Applications

Immunohistochemistry, Immunohistochemistry-Paraffin, Western Blot

Label

Unconjugated

Antibody Source

Polyclonal Rabbit

Format

BSA Free

Concentration

0.5 mg/ml

Product Specifications

Immunogen

The immunogen is a synthetic peptide directed towards the middle region of human Apc2. Peptide sequence: LAVARIDQLVEDISALHTSSDDSFSLSSGDPGQEAPREGRAQSCSPCRGP The peptide sequence for this immunogen was taken from within the described region.

Clonality

Polyclonal

Host

Rabbit

Description

Novus Biologicals Rabbit Apc2 Antibody - BSA Free (NBP2-87013) is a polyclonal antibody validated for use in IHC and WB. All Novus Biologicals antibodies are covered by our 100% guarantee.

Scientific Data Images for Apc2 Antibody - BSA Free

Western Blot: Apc2 Antibody [NBP2-87013]

Western Blot: Apc2 Antibody [NBP2-87013]

Western Blot: Apc2 Antibody [NBP2-87013] - WB Suggested Anti-APC2 Antibody Titration: 0.2-1 ug/ml. Positive Control: Human Placenta
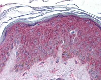
Immunohistochemistry: Apc2 Antibody [NBP2-87013]

Immunohistochemistry: Apc2 Antibody [NBP2-87013]

Immunohistochemistry: Apc2 Antibody [NBP2-87013] - Skin

Applications for Apc2 Antibody - BSA Free

Application
Recommended Usage

Western Blot

1.0 ug/ml

Formulation, Preparation, and Storage

Purification

Affinity purified

Formulation

PBS, 2% Sucrose

Format

BSA Free

Preservative

0.09% Sodium Azide

Concentration

0.5 mg/ml

Shipping

The product is shipped with polar packs. Upon receipt, store it immediately at the temperature recommended below.

Stability & Storage

Store at 4C short term. Aliquot and store at -20C long term. Avoid freeze-thaw cycles.

Background: Apc2

Apc2 ia a large protein complex, termed the anaphase-promoting complex (APC), or the cyclosome, promotes metaphase-anaphase transition by ubiquitinating its specific substrates such as mitotic cyclins and anaphase inhibitor, which are subsequently degraded by the 26S proteasome. Biochemical studies have shown that the vertebrate APC contains eight subunits. The composition of the APC is highly conserved in organisms from yeast to humans. The product of this gene is a component of the complex and shares sequence similarity with a recently identified family of proteins called cullins, which may also be involved in ubiquitin-mediated degradation.

Alternate Names

adenomatosis polyposis coli 2, adenomatous polyposis coli like, adenomatous polyposis coli protein 2, APCL

Gene Symbol

APC2

Additional Apc2 Products

Product Documents for Apc2 Antibody - BSA Free

Certificate of Analysis

To download a Certificate of Analysis, please enter a lot number in the search box below.

Product Specific Notices for Apc2 Antibody - BSA Free

This product is for research use only and is not approved for use in humans or in clinical diagnosis. Primary Antibodies are guaranteed for 1 year from date of receipt.

Loading...
Loading...
Loading...
Loading...