Skip to main content

APBA3/Mint-3 Antibody - BSA Free

Novus Biologicals, part of Bio-Techne | Catalog # NBP3-06040

Novus Biologicals, part of Bio-Techne

Key Product Details

Species Reactivity

Human

Applications

Immunocytochemistry/ Immunofluorescence, Immunohistochemistry-Paraffin, Immunoprecipitation, Western Blot

Label

Unconjugated

Antibody Source

Polyclonal Rabbit IgG

Format

BSA Free

Concentration

Please see the vial label for concentration. If unlisted please contact technical services.

Product Specifications

Immunogen

Produced in rabbits immunized with E. coli-derived Human APBA3/Mint-3 fragment.

Clonality

Polyclonal

Host

Rabbit

Isotype

IgG

Description

This antibody can be stored at 2C-8C for one month without detectable loss of activity. Antibody products are stable for twelve months from date of receipt when stored at -20C to -80C. Avoid repeated freeze-thaw cycles.

Scientific Data Images for APBA3/Mint-3 Antibody - BSA Free

Western Blot: APBA3/Mint-3 Antibody [NBP3-06040]

Western Blot: APBA3/Mint-3 Antibody [NBP3-06040]

Western Blot: APBA3/Mint-3 Antibody [NBP3-06040] - Anti-APBA3 rabbit polyclonal antibody at 1:500 dilution Lane A: A431 Whole Cell Lysate Lane B: HeLa Whole Cell Lysate Lysates/proteins at 30 ug per lane. Secondary: Goat Anti-Rabbit IgG (H+L)HRP at 110000 dilution. Developed using the ECL technique. Performed under reducing conditions. Predicted band size:61 kDa
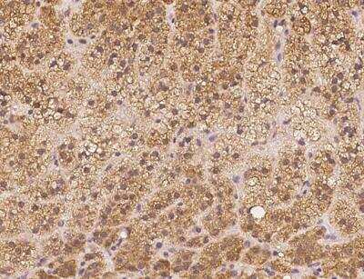
Immunohistochemistry-Paraffin: APBA3/Mint-3 Antibody [NBP3-06040]

Immunohistochemistry-Paraffin: APBA3/Mint-3 Antibody [NBP3-06040]

Immunohistochemistry-Paraffin: APBA3/Mint-3 Antibody [NBP3-06040] - Staining of human APBA3 in human adrenal gland with rabbit polyclonal antibody at 1:300 dilution.
Immunohistochemistry-Paraffin: APBA3/Mint-3 Antibody [NBP3-06040]

Immunohistochemistry-Paraffin: APBA3/Mint-3 Antibody [NBP3-06040]

Immunohistochemistry-Paraffin: APBA3/Mint-3 Antibody [NBP3-06040] - Staining of human APBA3 in human kidney with rabbit polyclonal antibody at 1:300 dilution.

Applications for APBA3/Mint-3 Antibody - BSA Free

Application
Recommended Usage

Immunocytochemistry/ Immunofluorescence

1:100-1:500

Immunohistochemistry-Paraffin

1:200-1:1000

Immunoprecipitation

1-5uL/mg of lysate

Western Blot

1:500-1:2000

Formulation, Preparation, and Storage

Purification

Antigen and protein A Affinity-purified

Formulation

PBS

Format

BSA Free

Preservative

0.03% Proclin 300

Concentration

Please see the vial label for concentration. If unlisted please contact technical services.

Shipping

The product is shipped with polar packs. Upon receipt, store it immediately at the temperature recommended below.

Stability & Storage

Store at 4C short term. Aliquot and store at -20C long term. Avoid freeze-thaw cycles.

Background: APBA3

The munc-18 interacting (Mint) protein family is a group of evolutionarily conserved adaptor proteins that function in membrane transport and organization. In mammals, there exist three mint isoforms, Mint 1, 2, and 3. Although there is little amino acid sequence conservation in the amino-terminal half, the carboxy-terminal half of these proteins is highly conserved. Within this conserved portion there exists a phosphotyrosine-binding (PTB) and a PSD-95/DLG-A/ZO-1 (PDZ) domain, which function as protein interaction modules. Mint 1 and 2 appear to be expressed exclusively in the brain and are found to bind to munc-18, an essential component of the synaptic vesicle fusion machinery. Mint 3 is ubiquitously expressed in all tissues and is expressed at the lowest levels in the brain and testis. Studies show that Mint 3 does not interact with munc-18. Mint 3 has been found to interact with the Alzheimer®s Disease-related amyloid precursor protein (APP) and does so through its PTB and PDZ domains. It has been suggested that Mint 3 links APP to other transport machinery components, thereby regulating it transport, endocytosis, and metabolism. Abnormal APP metabolism has been shown to be the cause of an early-onset type of Alzheimer®s disease.

Long Name

Amyloid Beta [A4] Precursor Protein-binding, Family A, Member 3

Alternate Names

MINT3, X11L2

Gene Symbol

APBA3

Additional APBA3 Products

Product Documents for APBA3/Mint-3 Antibody - BSA Free

Certificate of Analysis

To download a Certificate of Analysis, please enter a lot number in the search box below.

Product Specific Notices for APBA3/Mint-3 Antibody - BSA Free

This product is for research use only and is not approved for use in humans or in clinical diagnosis. Primary Antibodies are guaranteed for 1 year from date of receipt.

Loading...
Loading...
Loading...
Loading...