Skip to main content

APBA3/Mint-3 Antibody - BSA Free

Novus Biologicals, part of Bio-Techne | Catalog # NBP1-92117

Novus Biologicals, part of Bio-Techne
Catalog #
Availability
Size / Price
Qty
Loading...
NBP1-92117
NBP1-92117-25ul

Key Product Details

Species Reactivity

Human

Applications

Immunohistochemistry, Immunohistochemistry-Paraffin

Label

Unconjugated

Antibody Source

Polyclonal Rabbit IgG

Format

BSA Free

Concentration

Concentrations vary lot to lot. See vial label for concentration. If unlisted please contact technical services.

Product Specifications

Immunogen

This antibody was developed against Recombinant Protein corresponding to amino acids: QFEALPGDLVGPSPGGAPCPLHIATGHGLASQEIADAHGLLSAEAGRDDLLGLLHCEECPPSQTGPEEPLEPAPRLLQP

Clonality

Polyclonal

Host

Rabbit

Isotype

IgG

Description

Novus Biologicals Rabbit APBA3/Mint-3 Antibody - BSA Free (NBP1-92117) is a polyclonal antibody validated for use in IHC. All Novus Biologicals antibodies are covered by our 100% guarantee.

Scientific Data Images for APBA3/Mint-3 Antibody - BSA Free

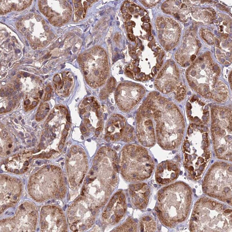
Immunohistochemistry-Paraffin: APBA3/Mint-3 Antibody [NBP1-92117]

Immunohistochemistry-Paraffin: APBA3/Mint-3 Antibody [NBP1-92117]

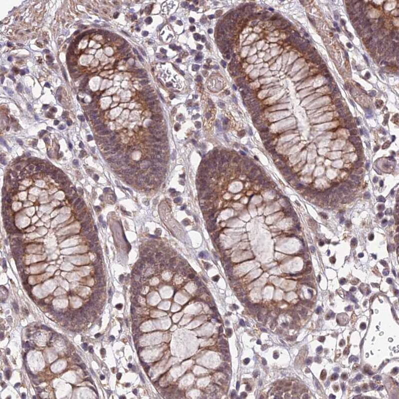
Immunohistochemistry-Paraffin: APBA3/Mint-3 Antibody [NBP1-92117] - Staining of human colon shows moderate cytoplasmic positivity in glandular cells.
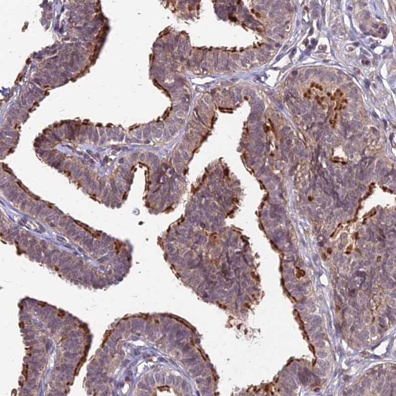
APBA3/Mint-3 Antibody - BSA Free Immunohistochemistry: APBA3/Mint-3 Antibody - BSA Free [NBP1-92117]

Immunohistochemistry: APBA3/Mint-3 Antibody - BSA Free [NBP1-92117]

Staining of human fallopian tube shows moderate cytoplasmic positivity in glandular cells.
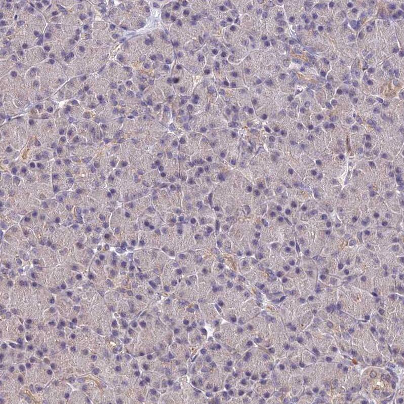
APBA3/Mint-3 Antibody - BSA Free Immunohistochemistry: APBA3/Mint-3 Antibody - BSA Free [NBP1-92117]

Immunohistochemistry: APBA3/Mint-3 Antibody - BSA Free [NBP1-92117]

Staining of human pancreas shows no positivity in exocrine glandular cells as expected.

Applications for APBA3/Mint-3 Antibody - BSA Free

Application
Recommended Usage

Immunohistochemistry

1:50 - 1:200

Immunohistochemistry-Paraffin

1:50 - 1:200
Application Notes
For IHC-Paraffin, HIER pH 6 retrieval is recommended. Immunocytochemistry/Immunofluorescence Fixation Permeabilization: Use PFA/Triton X-100.

Formulation, Preparation, and Storage

Purification

Immunogen affinity purified

Formulation

PBS (pH 7.2) and 40% Glycerol

Format

BSA Free

Preservative

0.02% Sodium Azide

Concentration

Concentrations vary lot to lot. See vial label for concentration. If unlisted please contact technical services.

Shipping

The product is shipped with polar packs. Upon receipt, store it immediately at the temperature recommended below.

Stability & Storage

Store at 4C short term. Aliquot and store at -20C long term. Avoid freeze-thaw cycles.

Background: APBA3

The munc-18 interacting (Mint) protein family is a group of evolutionarily conserved adaptor proteins that function in membrane transport and organization. In mammals, there exist three mint isoforms, Mint 1, 2, and 3. Although there is little amino acid sequence conservation in the amino-terminal half, the carboxy-terminal half of these proteins is highly conserved. Within this conserved portion there exists a phosphotyrosine-binding (PTB) and a PSD-95/DLG-A/ZO-1 (PDZ) domain, which function as protein interaction modules. Mint 1 and 2 appear to be expressed exclusively in the brain and are found to bind to munc-18, an essential component of the synaptic vesicle fusion machinery. Mint 3 is ubiquitously expressed in all tissues and is expressed at the lowest levels in the brain and testis. Studies show that Mint 3 does not interact with munc-18. Mint 3 has been found to interact with the Alzheimer®s Disease-related amyloid precursor protein (APP) and does so through its PTB and PDZ domains. It has been suggested that Mint 3 links APP to other transport machinery components, thereby regulating it transport, endocytosis, and metabolism. Abnormal APP metabolism has been shown to be the cause of an early-onset type of Alzheimer®s disease.

Long Name

Amyloid Beta [A4] Precursor Protein-binding, Family A, Member 3

Alternate Names

MINT3, X11L2

Gene Symbol

APBA3

Additional APBA3 Products

Product Documents for APBA3/Mint-3 Antibody - BSA Free

Certificate of Analysis

To download a Certificate of Analysis, please enter a lot number in the search box below.

Product Specific Notices for APBA3/Mint-3 Antibody - BSA Free

This product is for research use only and is not approved for use in humans or in clinical diagnosis. Primary Antibodies are guaranteed for 1 year from date of receipt.

Loading...
Loading...
Loading...
Loading...