AP3B1 Antibody - BSA Free
Novus Biologicals, part of Bio-Techne | Catalog # NBP3-38363
Key Product Details
Species Reactivity
Human, Mouse, Rat
Applications
Immunohistochemistry, Immunohistochemistry-Paraffin, Western Blot, ELISA
Label
Unconjugated
Antibody Source
Polyclonal Rabbit IgG
Format
BSA Free
Concentration
Please see the vial label for concentration. If unlisted please contact technical services.
Product Specifications
Immunogen
Recombinant fusion protein containing a sequence corresponding to amino acids 895-1094 of human AP3B1 (NP_003655.3).
Sequence:
FGDKMVSIQITLNNTTDRKIENIHIGEKKLPIGMKMHVFNPIDSLEPEGSITVSMGIDFCDSTQTASFQLCTKDDCFNVNIQPPVGELLLPVAMSEKDFKKEQGVLTGMNETSAVIIAAPQNFTPSVIFQKVVNVANVGAVPSGQDNIHRFAAKTVHSGSLMLVTVELKEGSTAQLIINTEKTVIGSVLLRELKPVLSQG
Sequence:
FGDKMVSIQITLNNTTDRKIENIHIGEKKLPIGMKMHVFNPIDSLEPEGSITVSMGIDFCDSTQTASFQLCTKDDCFNVNIQPPVGELLLPVAMSEKDFKKEQGVLTGMNETSAVIIAAPQNFTPSVIFQKVVNVANVGAVPSGQDNIHRFAAKTVHSGSLMLVTVELKEGSTAQLIINTEKTVIGSVLLRELKPVLSQG
Clonality
Polyclonal
Host
Rabbit
Isotype
IgG
Theoretical MW
121 kDa.
Disclaimer note: The observed molecular weight of the protein may vary from the listed predicted molecular weight due to post translational modifications, post translation cleavages, relative charges, and other experimental factors.
Disclaimer note: The observed molecular weight of the protein may vary from the listed predicted molecular weight due to post translational modifications, post translation cleavages, relative charges, and other experimental factors.
Description
Novus Biologicals Rabbit AP3B1 Antibody - BSA Free (NBP3-38363) is a polyclonal antibody validated for use in IHC, WB and ELISA. All Novus Biologicals antibodies are covered by our 100% guarantee.
Scientific Data Images for AP3B1 Antibody - BSA Free
Immunohistochemistry: AP3B1 Antibody [NBP3-38363] -
Immunohistochemistry: AP3B1 Antibody [NBP3-38363] - Immunohistochemistry analysis of paraffin-embedded Human breast cancer using AP3B1 Rabbit pAb at dilution of 1:100 (40x lens). High pressure antigen retrieval performed with 0.01M Citrate Bufferr (pH 6.0) prior to IHC staining.Western Blot: AP3B1 Antibody [NBP3-38363] -
Western Blot: AP3B1 Antibody [NBP3-38363] - Western blot analysis of various lysates using AP3B1 Rabbit pAb at 1:1000 dilution.Secondary antibody: HRP-conjugated Goat anti-Rabbit IgG (H+L) at 1:10000 dilution.
Lysates/proteins: 25ug per lane.
Blocking buffer: 3% nonfat dry milk in TBST.
Detection: ECL Basic Kit.
Exposure time: 90s.
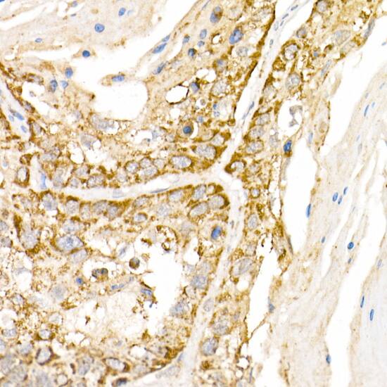
Immunohistochemistry: AP3B1 Antibody [NBP3-38363] -
Immunohistochemistry: AP3B1 Antibody [NBP3-38363] - Immunohistochemistry analysis of paraffin-embedded Human lung cancer using AP3B1 Rabbit pAb at dilution of 1:100 (40x lens). High pressure antigen retrieval performed with 0.01M Citrate Bufferr (pH 6.0) prior to IHC staining.Applications for AP3B1 Antibody - BSA Free
Application
Recommended Usage
Immunohistochemistry-Paraffin
1:50 - 1:200
Western Blot
1:500 - 1:2000
Formulation, Preparation, and Storage
Purification
Affinity purified
Formulation
PBS (pH 7.3), 50% glycerol
Format
BSA Free
Preservative
0.02% Sodium Azide
Concentration
Please see the vial label for concentration. If unlisted please contact technical services.
Shipping
The product is shipped with polar packs. Upon receipt, store it immediately at the temperature recommended below.
Stability & Storage
Store at -20C. Avoid freeze-thaw cycles.
Background: AP3B1
Alternate Names
Adapter-related protein complex 3 subunit beta-1, Adaptor protein complex AP-3 subunit beta-1, adaptor-related protein complex 3, beta 1 subunit, ADTB3, ADTB3APE, AP-3 complex subunit beta-1, Beta-3A-adaptin, beta3A-adaptin, Clathrin assembly protein complex 3 beta-1 large chain, HPS, HPS2AP-3 complex beta-3A subunit
Gene Symbol
AP3B1
Additional AP3B1 Products
Product Documents for AP3B1 Antibody - BSA Free
Product Specific Notices for AP3B1 Antibody - BSA Free
This product is for research use only and is not approved for use in humans or in clinical diagnosis. Primary Antibodies are guaranteed for 1 year from date of receipt.
Loading...
Loading...
Loading...
Loading...