Skip to main content

AP2 alpha Antibody (7D2B5) - BSA Free

Novus Biologicals, part of Bio-Techne | Catalog # NBP2-52572

Novus Biologicals, part of Bio-Techne
Catalog #
Availability
Size / Price
Qty
Loading...
NBP2-52572-0.025mg
NBP2-52572

Key Product Details

Species Reactivity

Human, Mouse, Rat, Monkey

Applications

Immunohistochemistry, Immunohistochemistry-Paraffin, Western Blot, ELISA, Flow Cytometry, CyTOF-ready

Label

Unconjugated

Antibody Source

Monoclonal Mouse IgG1 Clone # 7D2B5

Format

BSA Free

Concentration

1 mg/ml

Product Specifications

Immunogen

Purified recombinant fragment of human AP2 alpha (AA: 1-100) expressed in E. Coli.

Clonality

Monoclonal

Host

Mouse

Isotype

IgG1

Theoretical MW

48 kDa.
Disclaimer note: The observed molecular weight of the protein may vary from the listed predicted molecular weight due to post translational modifications, post translation cleavages, relative charges, and other experimental factors.

Description

Novus Biologicals Mouse AP2 alpha Antibody (7D2B5) - BSA Free (NBP2-52572) is a monoclonal antibody validated for use in IHC, WB, ELISA and Flow. Anti-AP2 alpha Antibody: Cited in 1 publication. All Novus Biologicals antibodies are covered by our 100% guarantee.

Scientific Data Images for AP2 alpha Antibody (7D2B5) - BSA Free

Western Blot: AP2 alpha Antibody (7D2B5)BSA Free [NBP2-52572]

Western Blot: AP2 alpha Antibody (7D2B5)BSA Free [NBP2-52572]

Western Blot: AP2 alpha Antibody (7D2B5) [NBP2-52572] - Analysis using TFAP2A mAb against human TFAP2A (AA: 1-100) recombinant protein. (Expected MW is 37 kDa)
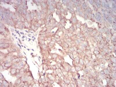
Immunohistochemistry-Paraffin: AP2 alpha Antibody (7D2B5) - BSA Free [NBP2-52572]

Immunohistochemistry-Paraffin: AP2 alpha Antibody (7D2B5) - BSA Free [NBP2-52572]

Immunohistochemistry-Paraffin: AP2 alpha Antibody (7D2B5) [NBP2-52572] - Analysis of paraffin-embedded TFAP2A tissues using endometrial cancer mouse mAb with DAB staining.
Flow Cytometry: AP2 alpha Antibody (7D2B5) - BSA Free [NBP2-52572]

Flow Cytometry: AP2 alpha Antibody (7D2B5) - BSA Free [NBP2-52572]

Flow Cytometry: AP2 alpha Antibody (7D2B5) [NBP2-52572] - Analysis of MCF-7 cells using TFAP2A mouse mAb (green) and negative control (red).

Applications for AP2 alpha Antibody (7D2B5) - BSA Free

Application
Recommended Usage

ELISA

1:10000

Flow Cytometry

1:200-1:400

Immunohistochemistry

1:200-1:1000

Immunohistochemistry-Paraffin

1:200-1:1000

Western Blot

1:500-1:2000
Application Notes
This antibody is Cytof ready.

Formulation, Preparation, and Storage

Purification

Protein G purified

Formulation

PBS

Format

BSA Free

Preservative

0.05% Sodium Azide

Concentration

1 mg/ml

Shipping

The product is shipped with polar packs. Upon receipt, store it immediately at the temperature recommended below.

Stability & Storage

Store at 4C short term. Aliquot and store at -20C long term. Avoid freeze-thaw cycles.

Background: AP2 alpha

AP2-alpha is a 52-kD retinoic acid-inducible and developmentally regulated activator of transcription that binds to a consensus DNA-binding sequence CCCCAGGC in the SV40 and metallothionein (MIM 156350) promoters.[supplied by OMIM]

Alternate Names

Activating enhancer-binding protein 2-alpha, Activator protein 2, AP-2 transcription factor, AP2-alpha, AP2TFAP-2alpha, AP-2transcription factor AP-2 alpha (activating enhancer-binding protein 2 alpha), BOFS, FLJ51761, TFAP2, transcription factor AP-2 alpha (activating enhancer binding protein 2 alpha), transcription factor AP-2-alpha

Gene Symbol

TFAP2A

Additional AP2 alpha Products

Product Documents for AP2 alpha Antibody (7D2B5) - BSA Free

Certificate of Analysis

To download a Certificate of Analysis, please enter a lot number in the search box below.

Product Specific Notices for AP2 alpha Antibody (7D2B5) - BSA Free

This product is for research use only and is not approved for use in humans or in clinical diagnosis. Primary Antibodies are guaranteed for 1 year from date of receipt.

Loading...
Loading...
Loading...
Loading...
Loading...