Skip to main content

ANO2 Antibody (CL10632) - Azide and BSA Free

Novus Biologicals, part of Bio-Techne | Catalog # NBP3-43920

Novus Biologicals, part of Bio-Techne
Catalog #
Availability
Size / Price
Qty
Loading...
NBP3-43920

Key Product Details

Species Reactivity

Human, Rat

Applications

Immunohistochemistry-Paraffin

Label

Unconjugated

Antibody Source

Monoclonal Mouse IgG1 Clone # CL10632

Format

Azide and BSA Free

Concentration

LYOPH mg/ml

Product Specifications

Immunogen

This antibody was generated using a recombinant protein sequence of Q9NQ90, with the exact immunogen sequence remaining proprietary.

Clonality

Monoclonal

Host

Mouse

Isotype

IgG1

Description

Novus Biologicals Mouse ANO2 Antibody (CL10632) - Azide and BSA Free (NBP3-07992) is a monoclonal antibody validated for use in IHC. All Novus Biologicals antibodies are covered by our 100% guarantee.

Scientific Data Images for ANO2 Antibody (CL10632) - Azide and BSA Free

ANO2 Antibody (CL10632) - Azide and BSA Free Immunohistochemistry-Paraffin: ANO2 Antibody [NBP3-43920]

Immunohistochemistry-Paraffin: ANO2 Antibody [NBP3-43920]

Staining of human fallopian tube shows moderate positivity in cilia in glandular cells.
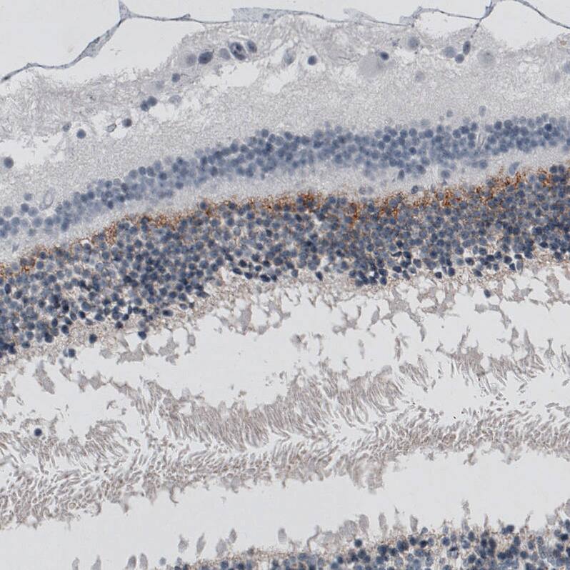
ANO2 Antibody (CL10632) - Azide and BSA Free Immunohistochemistry-Paraffin: ANO2 Antibody [NBP3-43920]

Immunohistochemistry-Paraffin: ANO2 Antibody [NBP3-43920]

Staining of human eye retina shows moderate positivity in the outer plexiform layer.
ANO2 Antibody (CL10632) - Azide and BSA Free Immunohistochemistry-Paraffin: ANO2 Antibody [NBP3-43920]

Immunohistochemistry-Paraffin: ANO2 Antibody [NBP3-43920]

Staining of human placenta shows strong cytoplasmic positivity in trophoblastic cells.

Applications for ANO2 Antibody (CL10632) - Azide and BSA Free

Application
Recommended Usage

Immunohistochemistry-Paraffin

1:50 - 1:200
Application Notes
For IHC-Paraffin, HIER pH 6 retrieval is recommended.

Formulation, Preparation, and Storage

Purification

Protein A purified

Reconstitution

Centrifuge the vial of lyophilized antibody at 12,000 x g for 20 seconds. Reconstitute by adding sterile, distilled water to achieve a final antibody concentration of 1mg/ml.

Formulation

Lyophilized from a 0.2 um filtered solution in PBS with Trehalose

Format

Azide and BSA Free

Preservative

No Preservative

Concentration

LYOPH mg/ml

Shipping

The product is shipped at ambient temperature. Upon receipt, store it immediately at the temperature recommended below.

Stability & Storage

Store at 4C short term. Aliquot and store at -20C long term. Avoid freeze-thaw cycles.

Background: ANO2

Alternate Names

anoctamin 2, anoctamin-2, DKFZp434P102, TMEM16B, transmembrane protein 16B (eight membrane-spanning domains)

Gene Symbol

ANO2

Additional ANO2 Products

Product Documents for ANO2 Antibody (CL10632) - Azide and BSA Free

Certificate of Analysis

To download a Certificate of Analysis, please enter a lot number in the search box below.

Product Specific Notices for ANO2 Antibody (CL10632) - Azide and BSA Free

This product is for research use only and is not approved for use in humans or in clinical diagnosis. Primary Antibodies are guaranteed for 1 year from date of receipt.

Loading...
Loading...
Loading...
Loading...
Loading...