Skip to main content

ANO2 Antibody (CL10631) - BSA Free

Novus Biologicals, part of Bio-Techne | Catalog # NBP3-21178

Novus Biologicals, part of Bio-Techne
Catalog #
Availability
Size / Price
Qty
Loading...
NBP3-21178-25ul
NBP3-21178-100ul

Key Product Details

Species Reactivity

Human

Applications

Immunohistochemistry, Immunohistochemistry-Paraffin

Label

Unconjugated

Antibody Source

Monoclonal Mouse IgG1 Clone # CL10631

Format

BSA Free

Concentration

Concentrations vary lot to lot. See vial label for concentration. If unlisted please contact technical services.

Product Specifications

Immunogen

This antibody was developed using a recombinant protein derived from Q9NQ90, with the exact immunogen sequence remaining proprietary.

Reactivity Notes

Mouse, Rat (84%)

Clonality

Monoclonal

Host

Mouse

Isotype

IgG1

Description

Novus Biologicals Mouse ANO2 Antibody (CL10631) - BSA Free (NBP3-21178) is a monoclonal antibody validated for use in IHC. All Novus Biologicals antibodies are covered by our 100% guarantee.

Scientific Data Images for ANO2 Antibody (CL10631) - BSA Free

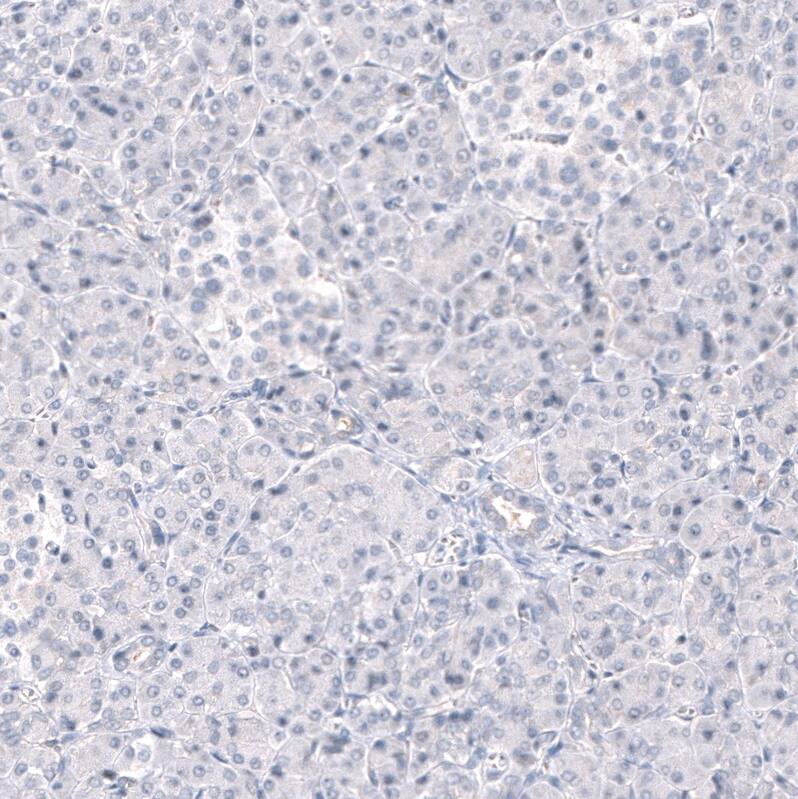
Immunohistochemistry-Paraffin: ANO2 Antibody [NBP3-21178] -

Immunohistochemistry-Paraffin: ANO2 Antibody [NBP3-21178] -

Staining of human fallopian tube shows strong positivity in cilia in glandular cells.
Immunohistochemistry-Paraffin: ANO2 Antibody [NBP3-21178] -

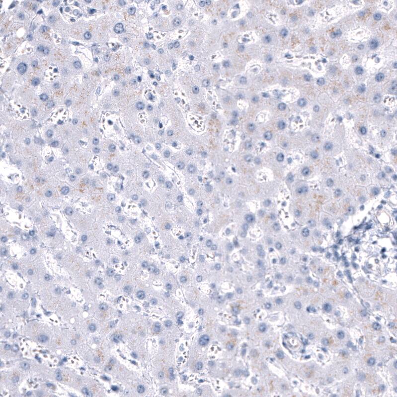
Immunohistochemistry-Paraffin: ANO2 Antibody [NBP3-21178] -

Staining of human liver shows no positivity in hepatocytes as expected.
Immunohistochemistry-Paraffin: ANO2 Antibody [NBP3-21178] -

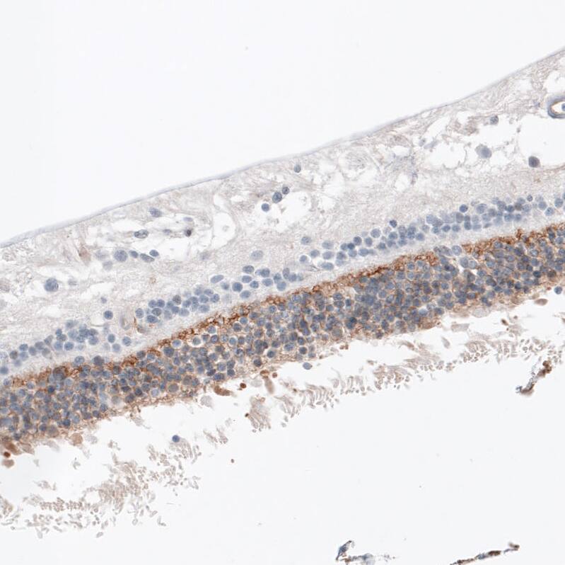
Immunohistochemistry-Paraffin: ANO2 Antibody [NBP3-21178] -

Staining of human retina shows moderate positivity in the outer plexiform layer.

Applications for ANO2 Antibody (CL10631) - BSA Free

Application
Recommended Usage

Immunohistochemistry

1:2500 - 1:5000

Immunohistochemistry-Paraffin

1:2500 - 1:5000
Application Notes
For IHC-Paraffin, HIER pH 6 retrieval is recommended.

Formulation, Preparation, and Storage

Purification

Protein A purified

Formulation

PBS, pH 7.2, 40% glycerol

Format

BSA Free

Preservative

0.02% Sodium Azide

Concentration

Concentrations vary lot to lot. See vial label for concentration. If unlisted please contact technical services.

Shipping

The product is shipped with polar packs. Upon receipt, store it immediately at the temperature recommended below.

Stability & Storage

Store at 4C short term. Aliquot and store at -20C long term. Avoid freeze-thaw cycles.

Background: ANO2

Alternate Names

anoctamin 2, anoctamin-2, DKFZp434P102, TMEM16B, transmembrane protein 16B (eight membrane-spanning domains)

Gene Symbol

ANO2

Additional ANO2 Products

Product Documents for ANO2 Antibody (CL10631) - BSA Free

Certificate of Analysis

To download a Certificate of Analysis, please enter a lot number in the search box below.

Product Specific Notices for ANO2 Antibody (CL10631) - BSA Free

This product is for research use only and is not approved for use in humans or in clinical diagnosis. Primary Antibodies are guaranteed for 1 year from date of receipt.

Loading...
Loading...
Loading...
Loading...