Skip to main content

Annexin A6 Antibody - BSA Free

Novus Biologicals, part of Bio-Techne | Catalog # NBP1-90150

Novus Biologicals, part of Bio-Techne
Catalog #
Availability
Size / Price
Qty
Loading...
NBP1-90150
NBP1-90150-25ul

Key Product Details

Validated by

Orthogonal Validation

Species Reactivity

Validated:

Human

Predicted:

Mouse (98%), Rat (98%). Backed by our 100% Guarantee.

Applications

Immunohistochemistry, Immunohistochemistry-Paraffin

Label

Unconjugated

Antibody Source

Polyclonal Rabbit IgG

Format

BSA Free

Concentration

Concentrations vary lot to lot. See vial label for concentration. If unlisted please contact technical services.

Product Specifications

Immunogen

This antibody was developed against Recombinant Protein corresponding to amino acids: LVAAYKDAYERDLEADIIGDTSGHFQKMLVVLLQGTREEDDVVSEDLVQQDVQDLYEAGELKWGTDEAQFIYILGNRSKQHLRLVFDEYLKTTGKPIEASIRGELSGDFEKLML

Clonality

Polyclonal

Host

Rabbit

Isotype

IgG

Description

Novus Biologicals Rabbit Annexin A6 Antibody - BSA Free (NBP1-90150) is a polyclonal antibody validated for use in IHC. All Novus Biologicals antibodies are covered by our 100% guarantee.

Scientific Data Images for Annexin A6 Antibody - BSA Free

Annexin A6 Antibody - BSA Free Immunohistochemistry: Annexin A6 Antibody - BSA Free [NBP1-90150]

Immunohistochemistry: Annexin A6 Antibody - BSA Free [NBP1-90150]

Analysis in human appendix and pancreas tissues using Anti-ANXA6 antibody. Corresponding ANXA6 RNA-seq data are presented for the same tissues.
Immunohistochemistry-Paraffin: Annexin A6 Antibody [NBP1-90150]

Immunohistochemistry-Paraffin: Annexin A6 Antibody [NBP1-90150]

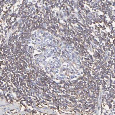
Immunohistochemistry-Paraffin: Annexin A6 Antibody [NBP1-90150] - Staining of human appendix shows cytoplasmic positivity in lymphoid tissue.
Immunohistochemistry-Paraffin: Annexin A6 Antibody [NBP1-90150]

Immunohistochemistry-Paraffin: Annexin A6 Antibody [NBP1-90150]

Immunohistochemistry-Paraffin: Annexin A6 Antibody [NBP1-90150] - Staining of human pancreas shows low expression as expected.

Applications for Annexin A6 Antibody - BSA Free

Application
Recommended Usage

Immunohistochemistry

1:500 - 1:1000

Immunohistochemistry-Paraffin

1:500 - 1:1000
Application Notes
For IHC-Paraffin, HIER pH 6 retrieval is recommended.

Formulation, Preparation, and Storage

Purification

Immunogen affinity purified

Formulation

PBS (pH 7.2) and 40% Glycerol

Format

BSA Free

Preservative

0.02% Sodium Azide

Concentration

Concentrations vary lot to lot. See vial label for concentration. If unlisted please contact technical services.

Shipping

The product is shipped with polar packs. Upon receipt, store it immediately at the temperature recommended below.

Stability & Storage

Store at 4C short term. Aliquot and store at -20C long term. Avoid freeze-thaw cycles.

Background: Annexin A6

The Annexins constitute a family of structurally-related, relatively abundant proteins that exhibit Ca2+-dependent binding to phospholipids. Annexins function in multiple aspects of cell biology including regulation of membrane trafficking, transmembrane channel activity, inhibition of phospholipase A2, inhibition of coagulation and mediation of cell-matrix interactions. Annexin A13 is considered the original progenitor of the 12 members of vertebrate Annexins. The expression of Annexin A13 is highly tissue-specific, being expressed only in intestinal and kidney epithelial cells. This expression is associated with a highly differentiated intracellular transport function. Two alternative splicing isoforms of Annexin A13 exist, both of which bind to rafts.

Alternate Names

ANX6, ANXA6, Calelectrin, CBP68, CPB-II, Lipocortin VI

Gene Symbol

ANXA6

Additional Annexin A6 Products

Product Documents for Annexin A6 Antibody - BSA Free

Certificate of Analysis

To download a Certificate of Analysis, please enter a lot number in the search box below.

Product Specific Notices for Annexin A6 Antibody - BSA Free

This product is for research use only and is not approved for use in humans or in clinical diagnosis. Primary Antibodies are guaranteed for 1 year from date of receipt.

Loading...
Loading...
Loading...
Loading...