Skip to main content

Annexin A13 Antibody - BSA Free

Novus Biologicals, part of Bio-Techne | Catalog # NBP1-90159

Novus Biologicals, part of Bio-Techne
Catalog #
Availability
Size / Price
Qty
Loading...
NBP1-90159
NBP1-90159-25ul

Key Product Details

Validated by

Independent Antibodies

Species Reactivity

Human

Applications

Immunohistochemistry, Immunohistochemistry-Paraffin

Label

Unconjugated

Antibody Source

Polyclonal Rabbit IgG

Format

BSA Free

Concentration

Concentrations vary lot to lot. See vial label for concentration. If unlisted please contact technical services.

Product Specifications

Immunogen

This antibody was developed against Recombinant Protein corresponding to amino acids: AIIEILSGRTSDERQQIKQKYKATYGKELEEVLKSELSGNFEKTALALLDRPSEYAARQLQKAMKGLGTDESVLIEV

Reactivity Notes

Immunogen displays the following percentage of sequence identity for non-tested species: Mouse (83%), Rat (82%)

Clonality

Polyclonal

Host

Rabbit

Isotype

IgG

Scientific Data Images for Annexin A13 Antibody - BSA Free

Immunohistochemistry-Paraffin: Annexin A13 Antibody [NBP1-90159]

Immunohistochemistry-Paraffin: Annexin A13 Antibody [NBP1-90159]

Immunohistochemistry-Paraffin: Annexin A13 Antibody [NBP1-90159] - Staining of human duodenum, fallopian tube, gallbladder and small intestine using Anti-ANXA13 antibody NBP1-90159 (A) shows similar protein distribution across tissues to independent antibody NBP1-90158 (B).
Immunohistochemistry-Paraffin: Annexin A13 Antibody [NBP1-90159]

Immunohistochemistry-Paraffin: Annexin A13 Antibody [NBP1-90159]

Immunohistochemistry-Paraffin: Annexin A13 Antibody [NBP1-90159] - Staining of human gallbladder.
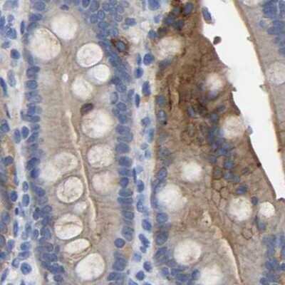
Immunohistochemistry-Paraffin: Annexin A13 Antibody [NBP1-90159]

Immunohistochemistry-Paraffin: Annexin A13 Antibody [NBP1-90159]

Immunohistochemistry-Paraffin: Annexin A13 Antibody [NBP1-90159] - Staining of human small intestine.

Applications for Annexin A13 Antibody - BSA Free

Application
Recommended Usage

Immunohistochemistry

1:20 - 1:50

Immunohistochemistry-Paraffin

1:20 - 1:50
Application Notes
For IHC-Paraffin, HIER pH 6 retrieval is recommended.

Formulation, Preparation, and Storage

Purification

Affinity purified

Formulation

PBS (pH 7.2) and 40% Glycerol

Format

BSA Free

Preservative

0.02% Sodium Azide

Concentration

Concentrations vary lot to lot. See vial label for concentration. If unlisted please contact technical services.

Shipping

The product is shipped with polar packs. Upon receipt, store it immediately at the temperature recommended below.

Stability & Storage

Store at 4C short term. Aliquot and store at -20C long term. Avoid freeze-thaw cycles.

Background: Annexin A13

Annexin A13 encodes a member of the annexin family. Members of this calcium-dependent phospholipid-binding protein family play a role in the regulation of cellular growth and in signal transduction pathways. The specific function of this gene has not yet been determined; however, it is associated with the plasma membrane of undifferentiated, proliferating endothelial cells and differentiated villus enterocytes. Alternatively spliced transcript variants encoding different isoforms have been identified.

Alternate Names

ANX13, ANXA13, ISA

Gene Symbol

ANXA13

Additional Annexin A13 Products

Product Documents for Annexin A13 Antibody - BSA Free

Certificate of Analysis

To download a Certificate of Analysis, please enter a lot number in the search box below.

Product Specific Notices for Annexin A13 Antibody - BSA Free

This product is for research use only and is not approved for use in humans or in clinical diagnosis. Primary Antibodies are guaranteed for 1 year from date of receipt.

Loading...
Loading...
Loading...
Loading...