Skip to main content

Annexin A10 Antibody - BSA Free

Novus Biologicals, part of Bio-Techne | Catalog # NBP1-90156

Novus Biologicals, part of Bio-Techne
Catalog #
Availability
Size / Price
Qty
Loading...
NBP1-90156
NBP1-90156-25ul

Key Product Details

Validated by

Orthogonal Validation

Species Reactivity

Validated:

Human

Cited:

Human, Mouse

Predicted:

Mouse (95%), Rat (97%). Backed by our 100% Guarantee.

Applications

Validated:

Immunohistochemistry, Immunohistochemistry-Paraffin, Western Blot, Simple Western

Cited:

Immunohistochemistry-Paraffin, Western Blot, IF/IHC

Label

Unconjugated

Antibody Source

Polyclonal Rabbit IgG

Format

BSA Free

Concentration

Concentrations vary lot to lot. See vial label for concentration. If unlisted please contact technical services.

Product Specifications

Immunogen

This antibody was developed against Recombinant Protein corresponding to amino acids: PPLYDAHELWHAMKGVGTDENCLIEILASRTNGEIFQMREAYCLQYSNNLQEDIYSETSGHFRDTLMNLVQGTREEGYTDPAMAAQDAMVLWEACQQKTGEHKTMLQMILCNK

Clonality

Polyclonal

Host

Rabbit

Isotype

IgG

Theoretical MW

37 kDa.
Disclaimer note: The observed molecular weight of the protein may vary from the listed predicted molecular weight due to post translational modifications, post translation cleavages, relative charges, and other experimental factors.

Description

Novus Biologicals Rabbit Annexin A10 Antibody - BSA Free (NBP1-90156) is a polyclonal antibody validated for use in IHC, WB and Simple Western. Anti-Annexin A10 Antibody: Cited in 26 publications. All Novus Biologicals antibodies are covered by our 100% guarantee.

Scientific Data Images for Annexin A10 Antibody - BSA Free

Annexin A10 Antibody - BSA Free Immunohistochemistry: Annexin A10 Antibody - BSA Free [NBP1-90156]

Immunohistochemistry: Annexin A10 Antibody - BSA Free [NBP1-90156]

Analysis in human stomach and tonsil tissues using NBP1-90156 antibody. Corresponding ANXA10 RNA-seq data are presented for the same tissues.
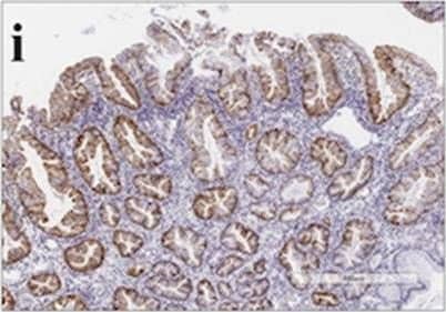
Immunohistochemistry-Paraffin: Annexin A10 Antibody [NBP1-90156]

Immunohistochemistry-Paraffin: Annexin A10 Antibody [NBP1-90156]

Immunohistochemistry-Paraffin: Annexin A10 Antibody [NBP1-90156] - Staining of human stomach shows moderate to strong nuclear positivity in glandular cells.
Immunohistochemistry-Paraffin: Annexin A10 Antibody [NBP1-90156]

Immunohistochemistry-Paraffin: Annexin A10 Antibody [NBP1-90156]

Immunohistochemistry-Paraffin: Annexin A10 Antibody [NBP1-90156] - Staining of human tonsil shows no positivity as expected.

Applications for Annexin A10 Antibody - BSA Free

Application
Recommended Usage

Immunohistochemistry

1:1000 - 1:2500

Immunohistochemistry-Paraffin

1:1000 - 1:2500

Simple Western

1:20

Western Blot

0.04-0.4 ug/ml
Application Notes
For IHC-Paraffin, HIER pH 6 retrieval is recommended.

In Simple Western only 10 - 15 uL of the recommended dilution is used per data point.
See Simple Western Antibody Database for Simple Western validation: Tested in U-251MG sp, separated by Size, antibody dilution of 1:20, apparent MW was 43 kDa. Separated by Size-Wes, Sally Sue/Peggy Sue.

Reviewed Applications

Read 2 reviews rated 5 using NBP1-90156 in the following applications:

Formulation, Preparation, and Storage

Purification

Immunogen affinity purified

Formulation

PBS (pH 7.2) and 40% Glycerol

Format

BSA Free

Preservative

0.02% Sodium Azide

Concentration

Concentrations vary lot to lot. See vial label for concentration. If unlisted please contact technical services.

Shipping

The product is shipped with polar packs. Upon receipt, store it immediately at the temperature recommended below.

Stability & Storage

Store at 4C short term. Aliquot and store at -20C long term. Avoid freeze-thaw cycles.

Background: Annexin A10

Annexin A10 encodes a member of the annexin family. Members of this calcium-dependent phospholipid-binding protein family play a role in the regulation of cellular growth and in signal transduction pathways. The function of this gene has not yet been determined.

Alternate Names

ANX14, ANXA10

Entrez Gene IDs

11199 (Human)

Gene Symbol

ANXA10

UniProt

Additional Annexin A10 Products

Product Documents for Annexin A10 Antibody - BSA Free

Certificate of Analysis

To download a Certificate of Analysis, please enter a lot number in the search box below.

Product Specific Notices for Annexin A10 Antibody - BSA Free

This product is for research use only and is not approved for use in humans or in clinical diagnosis. Primary Antibodies are guaranteed for 1 year from date of receipt.

Loading...
Loading...
Loading...
Loading...