Skip to main content

ANKRD33 Antibody - BSA Free

Novus Biologicals, part of Bio-Techne | Catalog # NBP3-48154

Novus Biologicals, part of Bio-Techne
Catalog #
Availability
Size / Price
Qty
Loading...
NBP3-48154

Key Product Details

Species Reactivity

Human

Applications

ELISA, Immunohistochemistry, Western Blot

Label

Unconjugated

Antibody Source

Polyclonal Rabbit IgG

Format

BSA Free

Concentration

Please see the vial label for concentration. If unlisted please contact technical services.

Product Specifications

Immunogen

ankyrin repeat domain 33. (Uniprot# Q7Z3H0)

Clonality

Polyclonal

Host

Rabbit

Isotype

IgG

Theoretical MW

49 kDa.
Disclaimer note: The observed molecular weight of the protein may vary from the listed predicted molecular weight due to post translational modifications, post translation cleavages, relative charges, and other experimental factors.

Description

Novus Biologicals Rabbit ANKRD33 Antibody - BSA Free (NBP3-48154) is a polyclonal antibody validated for use in IHC, WB and ELISA. All Novus Biologicals antibodies are covered by our 100% guarantee.

Scientific Data Images for ANKRD33 Antibody - BSA Free

ANKRD33 Antibody - BSA Free

Western Blot: ANKRD33 Antibody - BSA Free [NBP3-48154] -

Western Blot: ANKRD33 Antibody - BSA Free [NBP3-48154] - Y79 cells were subjected to SDS PAGE followed by western blot with (ANKRD33 Antibody) at dilution of 1:600
ANKRD33 Antibody - BSA Free

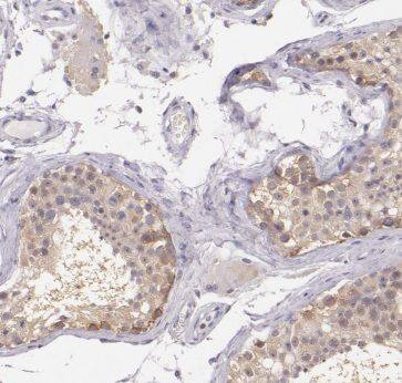
Immunohistochemistry: ANKRD33 Antibody - BSA Free [NBP3-48154] -

Immunohistochemistry: ANKRD33 Antibody - BSA Free [NBP3-48154] - Immunohistochemistry of paraffin-embedded human testis tissue slide using (ANKRD33 Antibody) at dilution of 1:50

Applications for ANKRD33 Antibody - BSA Free

Application
Recommended Usage

Immunohistochemistry

1:20-1:200

Western Blot

1:200-1:2000

Formulation, Preparation, and Storage

Purification

Immunogen affinity purified

Formulation

PBS, 50% Glycerol, pH (7.3)

Format

BSA Free

Preservative

0.02% Sodium Azide

Concentration

Please see the vial label for concentration. If unlisted please contact technical services.

Shipping

The product is shipped with polar packs. Upon receipt, store it immediately at the temperature recommended below.

Stability & Storage

Store at -20C. Avoid freeze-thaw cycles.

Background: ANKRD33

Alternate Names

ankyrin repeat domain 33

Gene Symbol

ANKRD33

Additional ANKRD33 Products

Product Documents for ANKRD33 Antibody - BSA Free

Certificate of Analysis

To download a Certificate of Analysis, please enter a lot number in the search box below.

Product Specific Notices for ANKRD33 Antibody - BSA Free

This product is for research use only and is not approved for use in humans or in clinical diagnosis. Primary Antibodies are guaranteed for 1 year from date of receipt.

Loading...
Loading...
Loading...
Loading...