Skip to main content

Angiopoietin-like Protein 4/ANGPTL4 Antibody (Kairos4-397G) - Azide and BSA Free

Novus Biologicals, part of Bio-Techne | Catalog # NBP2-80042

Novus Biologicals, part of Bio-Techne

Key Product Details

Species Reactivity

Human

Applications

Immunohistochemistry, Immunohistochemistry-Paraffin, Western Blot, ELISA

Label

Unconjugated

Antibody Source

Monoclonal Mouse IgG1 kappa Clone # Kairos4-397G

Format

Azide and BSA Free

Concentration

1 mg/ml

Product Specifications

Immunogen

Recombinant human coiled-coil domain of Angiopoietin-like Protein 4/ANGPTL4.

Specificity

Recognizes the coiled-coil domain (CCD) of human Angiopoietin-like Protein 4/ANGPTL4. Detects a band of ~19kDa by Western blot.

Clonality

Monoclonal

Host

Mouse

Isotype

IgG1 kappa

Description

Novus Biologicals Mouse Angiopoietin-like Protein 4/ANGPTL4 Antibody (Kairos4-397G) - Azide and BSA Free (NBP2-80042) is a monoclonal antibody validated for use in IHC, WB and ELISA. All Novus Biologicals antibodies are covered by our 100% guarantee.

Scientific Data Images

Western Blot: Angiopoietin-like Protein 4/ANGPTL4 Antibody (Kairos4-397G)Azide and BSA Free [NBP2-80042]

Western Blot: Angiopoietin-like Protein 4/ANGPTL4 Antibody (Kairos4-397G)Azide and BSA Free [NBP2-80042]

Western Blot: Angiopoietin-like Protein 4/ANGPTL4 Antibody (Kairos4-397G) [NBP2-80042] - Western blot analysis using anti-ANGPTL4 (CCD) (human), mAb (Kairos4-397G) at 1:500 dilution. 1: Human ANGPTL4 (CCD) (FLAG(R)-tagged). 2: Human ANGPTL4 (FLD) (FLAG(R)-tagged). 3: Human ANGPTL4 (FLAG(R)-tagged). 4: Human RBP4 (FLAG(R)-tagged) (negative control). 5: Human ANGPTL3 (CCD) (FLAG(R)-tagged). 6: Human ANGPTL2 (CCD) (FLAG(R)-tagged). 7: Human ANGPTL5 (CCD) (FLAG(R)-tagged). 8: Human ANGPTL3 (FLAG(R)-tagged).
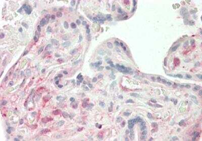
Immunohistochemistry-Paraffin: Angiopoietin-like Protein 4/ANGPTL4 Antibody (Kairos4-397G) - Azide and BSA Free [NBP2-80042]

Immunohistochemistry-Paraffin: Angiopoietin-like Protein 4/ANGPTL4 Antibody (Kairos4-397G) - Azide and BSA Free [NBP2-80042]

Immunohistochemistry-Paraffin: Angiopoietin-like Protein 4/ANGPTL4 Antibody (Kairos4-397G) [NBP2-80042] - Immunohistochemical staining of ANGPTL4 using anti-ANGPTL4 (coiled-coil domain) (human), mAb (Kairos4-397G) in human placenta tissue (10 ug/mL). This antibody has been tested in immunohistochemistry, analyzed by an anatomic pathologist and validated for use in IHC applications against formalin-fixed, paraffin-embedded human tissues. The image shows the localization of the antibody as the precipitated red signal, with a hematoxylin purple nuclear counterstain.

Applications

Application
Recommended Usage

ELISA

1:500 - 1:5000

Immunohistochemistry

10 ug/mL

Immunohistochemistry-Paraffin

10 ug/mL

Western Blot

1:500 - 1:5000

Formulation, Preparation, and Storage

Purification

Protein G purified

Formulation

0.2 um-filtered solution in PBS, pH 7.4

Format

Azide and BSA Free

Preservative

No Preservative

Concentration

1 mg/ml

Shipping

The product is shipped with polar packs. Upon receipt, store it immediately at the temperature recommended below.

Stability & Storage

Store at 4C short term. Aliquot and store at -20C long term. Avoid freeze-thaw cycles.

Background: Angiopoietin-like Protein 4/ANGPTL4

The ANGPTL4 gene is a member of the angiopoietin/angiopoietin-like gene family and encodes a glycosylated, secreted proteinwith a fibrinogen C-terminal domain. This gene is induced under hypoxic conditions in endothelial cells and is thetarget of peroxisome prol

Alternate Names

Angiopoietin like Protein 4, ANGPTL4, FIAF, HFARP, PGAR

Gene Symbol

ANGPTL4

Additional Angiopoietin-like Protein 4/ANGPTL4 Products

Product Documents

Certificate of Analysis

To download a Certificate of Analysis, please enter a lot number in the search box below.

Product Specific Notices

This product is for research use only and is not approved for use in humans or in clinical diagnosis. Primary Antibodies are guaranteed for 1 year from date of receipt.

Loading...
Loading...
Loading...
Loading...