Skip to main content

Angiomotin like 1 Antibody - BSA Free

Novus Biologicals, part of Bio-Techne | Catalog # NBP1-91665

Novus Biologicals, part of Bio-Techne
Catalog #
Availability
Size / Price
Qty
Loading...
NBP1-91665-25ul
NBP1-91665

Key Product Details

Species Reactivity

Human

Applications

Immunohistochemistry, Immunohistochemistry-Paraffin, Immunocytochemistry/ Immunofluorescence

Label

Unconjugated

Antibody Source

Polyclonal Rabbit IgG

Format

BSA Free

Concentration

Concentrations vary lot to lot. See vial label for concentration. If unlisted please contact technical services.

Product Specifications

Immunogen

This antibody was developed against Recombinant Protein corresponding to amino acids: SPSACYSPSSPVQVLEDSTYFSPDFQLYSGRHETSALTVEATSSIREKVVEDPLCNFHSPNFLRISEVEMRGSEDAAAGTVLQRLIQEQLRYGTPTENMNLLAIQHQATGSAGPAHPTNNFSSTENLTQEDPQMVYQSARQEPQGQEHQV

Reactivity Notes

Immunogen displays the following percentage of sequence identity for non-tested species: Mouse (82%)

Clonality

Polyclonal

Host

Rabbit

Isotype

IgG

Description

Novus Biologicals Rabbit Angiomotin like 1 Antibody - BSA Free (NBP1-91665) is a polyclonal antibody validated for use in IHC and ICC/IF. All Novus Biologicals antibodies are covered by our 100% guarantee.

Scientific Data Images for Angiomotin like 1 Antibody - BSA Free

Immunocytochemistry/ Immunofluorescence: Angiomotin like 1 Antibody [NBP1-91665]

Immunocytochemistry/ Immunofluorescence: Angiomotin like 1 Antibody [NBP1-91665]

Immunocytochemistry/Immunofluorescence: Angiomotin like 1 Antibody [NBP1-91665] - Staining of human cell line A-431 shows localization to cytosol & cell junctions. Antibody staining is shown in green.
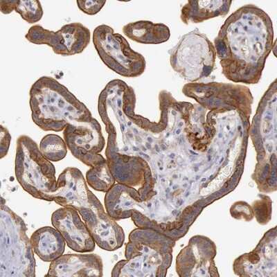
Immunohistochemistry-Paraffin: Angiomotin like 1 Antibody [NBP1-91665]

Immunohistochemistry-Paraffin: Angiomotin like 1 Antibody [NBP1-91665]

Immunohistochemistry-Paraffin: Angiomotin like 1 Antibody [NBP1-91665] - Staining of human placenta shows strong cytoplasmic and membranous positivity in trophoblastic cells.

Applications for Angiomotin like 1 Antibody - BSA Free

Application
Recommended Usage

Immunocytochemistry/ Immunofluorescence

0.25-2 ug/ml

Immunohistochemistry

1:200 - 1:500

Immunohistochemistry-Paraffin

1:200 - 1:500
Application Notes
For IHC-Paraffin, HIER pH 6 retrieval method is recommended. ICC/IF Fixation Permeabilization: Use PFA/Triton X-100.

Formulation, Preparation, and Storage

Purification

Affinity purified

Formulation

PBS (pH 7.2) and 40% Glycerol

Format

BSA Free

Preservative

0.02% Sodium Azide

Concentration

Concentrations vary lot to lot. See vial label for concentration. If unlisted please contact technical services.

Shipping

The product is shipped with polar packs. Upon receipt, store it immediately at the temperature recommended below.

Stability & Storage

Store at 4C short term. Aliquot and store at -20C long term. Avoid freeze-thaw cycles.

Background: Angiomotin like 1

Angiomotin like 1 is encoded by this gene is a peripheral membrane protein that is a component of tight junctions or TJs. TJs form an apical junctional structure and act to control paracellular permeability and maintain cell polarity. This protein is related to angiomotin, an angiostatin binding protein that regulates endothelial cell migration and capillary formation. [provided by RefSeq]

Alternate Names

angiomotin like 1, angiomotin-like protein 1, JEAP, junction-enriched and associated protein

Entrez Gene IDs

154810 (Human)

Gene Symbol

AMOTL1

UniProt

Additional Angiomotin like 1 Products

Product Documents for Angiomotin like 1 Antibody - BSA Free

Certificate of Analysis

To download a Certificate of Analysis, please enter a lot number in the search box below.

Product Specific Notices for Angiomotin like 1 Antibody - BSA Free

This product is for research use only and is not approved for use in humans or in clinical diagnosis. Primary Antibodies are guaranteed for 1 year from date of receipt.

Loading...
Loading...
Loading...
Loading...