Skip to main content

AMPK beta 2/PRKAB2 Antibody - BSA Free

Novus Biologicals, part of Bio-Techne | Catalog # NBP1-92286

Novus Biologicals, part of Bio-Techne
Catalog #
Availability
Size / Price
Qty
Loading...
NBP1-92286
NBP1-92286-25ul

Key Product Details

Validated by

Orthogonal Validation

Species Reactivity

Validated:

Human

Predicted:

Mouse (93%), Rat (94%). Backed by our 100% Guarantee.

Applications

Immunocytochemistry/ Immunofluorescence, Immunohistochemistry, Immunohistochemistry-Paraffin, Western Blot

Label

Unconjugated

Antibody Source

Polyclonal Rabbit IgG

Format

BSA Free

Concentration

Concentrations vary lot to lot. See vial label for concentration. If unlisted please contact technical services.

Product Specifications

Immunogen

This antibody was developed against Recombinant Protein corresponding to amino acids: MGNTTSDRVSGERHGAKAARSEGAGGHAPGKEHKIMVGSTDDPSVFSLPDSKLPGDKEFVSWQQDLEDSVKPTQQARPTVIRWSEGGKEVFISGSF

Clonality

Polyclonal

Host

Rabbit

Isotype

IgG

Description

Novus Biologicals Rabbit AMPK beta 2/PRKAB2 Antibody - BSA Free (NBP1-92286) is a polyclonal antibody validated for use in IHC, WB and ICC/IF. All Novus Biologicals antibodies are covered by our 100% guarantee.

Scientific Data Images for AMPK beta 2/PRKAB2 Antibody - BSA Free

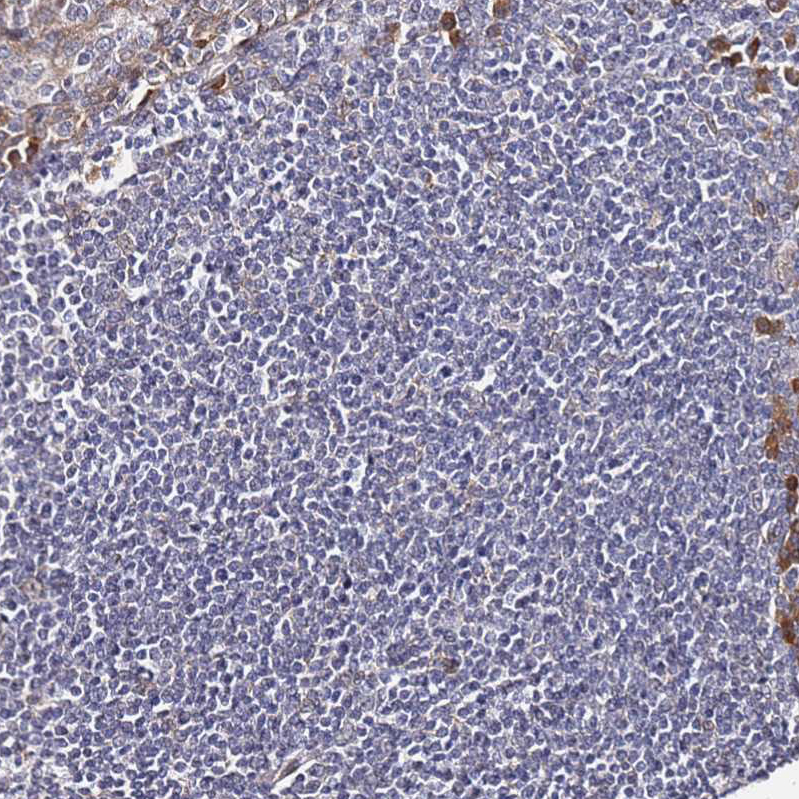
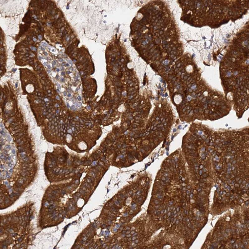
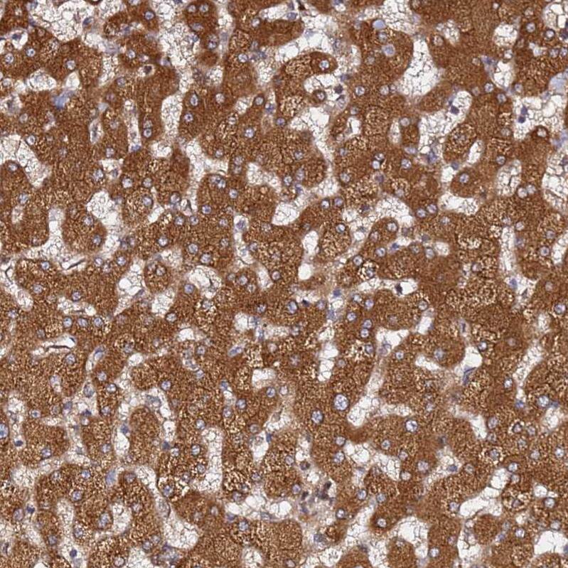
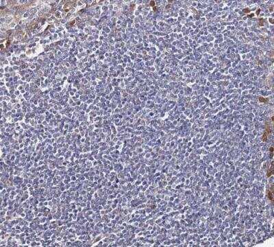
Immunohistochemistry-Paraffin: AMPK beta 2/PRKAB2 Antibody [NBP1-92286]

Immunohistochemistry-Paraffin: AMPK beta 2/PRKAB2 Antibody [NBP1-92286]

Immunohistochemistry-Paraffin: AMPK beta 2/PRKAB2 Antibody [NBP1-92286] - Analysis in human duodenum and tonsil tissues using NBP1-92286 antibody. Corresponding PRKAB2 RNA-seq data are presented for the same tissues
Western Blot: AMPK beta 2/PRKAB2 Antibody [NBP1-92286]

Western Blot: AMPK beta 2/PRKAB2 Antibody [NBP1-92286]

Western Blot: AMPK beta 2/PRKAB2 Antibody [NBP1-92286] - Analysis in human cell line BEWO.
Immunocytochemistry/ Immunofluorescence: AMPK beta 2/PRKAB2 Antibody [NBP1-92286]

Immunocytochemistry/ Immunofluorescence: AMPK beta 2/PRKAB2 Antibody [NBP1-92286]

Immunocytochemistry/Immunofluorescence: AMPK beta 2/PRKAB2 Antibody [NBP1-92286] - Staining of human cell line A-431 shows localization to nucleoplasm. Antibody staining is shown in green.

Applications for AMPK beta 2/PRKAB2 Antibody - BSA Free

Application
Recommended Usage

Immunocytochemistry/ Immunofluorescence

0.25-2 ug/ml

Immunohistochemistry

1:50 - 1:200

Immunohistochemistry-Paraffin

1:50 - 1:200

Western Blot

0.04-0.4 ug/ml
Application Notes
For IHC-Paraffin, HIER pH 6 retrieval is recommended. ICC/IF Fixation Permeabilization: Use PFA/Triton X-100.

Formulation, Preparation, and Storage

Purification

Immunogen affinity purified

Formulation

PBS (pH 7.2) and 40% Glycerol

Format

BSA Free

Preservative

0.02% Sodium Azide

Concentration

Concentrations vary lot to lot. See vial label for concentration. If unlisted please contact technical services.

Shipping

The product is shipped with polar packs. Upon receipt, store it immediately at the temperature recommended below.

Stability & Storage

Store at 4C short term. Aliquot and store at -20C long term. Avoid freeze-thaw cycles.

Background: AMPK beta 2

PRKAB2 is encoded by this gene is a regulatory subunit of the AMP-activated protein kinase (AMPK). AMPK is a heterotrimer consisting of an alpha catalytic subunit, and non-catalytic beta and gamma subunits. AMPK is an important energy-sensing enzyme that monitors cellular energy status. In response to cellular metabolic stresses, AMPK is activated, and thus phosphorylates and inactivates acetyl-CoA carboxylase (ACC) and beta-hydroxy beta-methylglutaryl-CoA reductase (HMGCR), key enzymes involved in regulating de novo biosynthesis of fatty acid and cholesterol. This subunit may be a positive regulator of AMPK activity. It is highly expressed in skeletal muscle and thus may have tissue-specific roles. [provided by RefSeq]

Long Name

AMP-activated Protein Kinase beta 2

Alternate Names

PRKAB2

Gene Symbol

PRKAB2

Additional AMPK beta 2 Products

Product Documents for AMPK beta 2/PRKAB2 Antibody - BSA Free

Certificate of Analysis

To download a Certificate of Analysis, please enter a lot number in the search box below.

Product Specific Notices for AMPK beta 2/PRKAB2 Antibody - BSA Free

This product is for research use only and is not approved for use in humans or in clinical diagnosis. Primary Antibodies are guaranteed for 1 year from date of receipt.

Loading...
Loading...
Loading...
Loading...