Amphiphysin/AMPH Antibody - BSA Free
Novus Biologicals, part of Bio-Techne | Catalog # NBP1-87561
Key Product Details
Validated by
Orthogonal Validation, Independent Antibodies
Species Reactivity
Human
Applications
Immunohistochemistry, Immunohistochemistry-Paraffin, Western Blot, Immunocytochemistry/ Immunofluorescence
Label
Unconjugated
Antibody Source
Polyclonal Rabbit IgG
Format
BSA Free
Concentration
Concentrations vary lot to lot. See vial label for concentration. If unlisted please contact technical services.
Product Specifications
Immunogen
This antibody was developed against Recombinant Protein corresponding to amino acids: EKVIPSVVIEPASNHEEEGENEITIGAEPKETTEDAAPPGPTSETPELATEQKPIQDPQPTPSAPAMGAADQLASAREA
Clonality
Polyclonal
Host
Rabbit
Isotype
IgG
Description
Novus Biologicals Rabbit Amphiphysin/AMPH Antibody - BSA Free (NBP1-87561) is a polyclonal antibody validated for use in IHC, WB and ICC/IF. All Novus Biologicals antibodies are covered by our 100% guarantee.
Scientific Data Images for Amphiphysin/AMPH Antibody - BSA Free
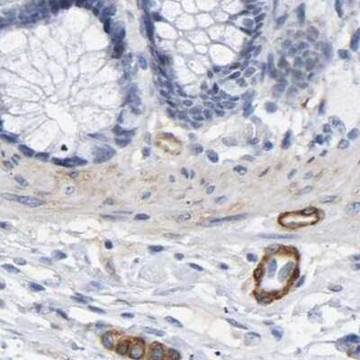
Immunohistochemistry-Paraffin: Amphiphysin/AMPH Antibody [NBP1-87561]
Immunohistochemistry-Paraffin: Amphiphysin/AMPH Antibody [NBP1-87561] - Staining of human cerebral cortex, colon, kidney and tonsil using Anti-AMPH antibody NBP1-87561 (A) shows similar protein distribution across tissues to independent antibody NBP1-86033 (B).Western Blot: Amphiphysin/AMPH Antibody [NBP1-87561]
Western Blot: Amphiphysin/AMPH Antibody [NBP1-87561] - Lane 1: Marker [kDa] 250, 130, 100, 70, 55, 35, 25, 15, 10Lane 2: Human Cerebral Cortex tissue
Applications for Amphiphysin/AMPH Antibody - BSA Free
Application
Recommended Usage
Immunocytochemistry/ Immunofluorescence
0.25-2 ug/ml
Immunohistochemistry
1:1000 - 1:2500
Immunohistochemistry-Paraffin
1:1000 - 1:2500
Western Blot
0.04-0.4 ug/ml
Application Notes
For IHC-Paraffin, HIER pH 6 retrieval is recommended. ICC/IF, Fixation Permeabilization: Use PFA/Triton X-100.
Formulation, Preparation, and Storage
Purification
Affinity purified
Formulation
PBS (pH 7.2) and 40% Glycerol
Format
BSA Free
Preservative
0.02% Sodium Azide
Concentration
Concentrations vary lot to lot. See vial label for concentration. If unlisted please contact technical services.
Shipping
The product is shipped with polar packs. Upon receipt, store it immediately at the temperature recommended below.
Stability & Storage
Store at 4C short term. Aliquot and store at -20C long term. Avoid freeze-thaw cycles.
Background: Amphiphysin/AMPH
Alternate Names
AMPH, AMPH1
Gene Symbol
AMPH
Additional Amphiphysin/AMPH Products
Product Documents for Amphiphysin/AMPH Antibody - BSA Free
Product Specific Notices for Amphiphysin/AMPH Antibody - BSA Free
This product is for research use only and is not approved for use in humans or in clinical diagnosis. Primary Antibodies are guaranteed for 1 year from date of receipt.
Loading...
Loading...
Loading...
Loading...