Skip to main content

AMOT Antibody (2C9) - BSA Free

Novus Biologicals, part of Bio-Techne | Catalog # NBP3-42926

Novus Biologicals, part of Bio-Techne
Catalog #
Availability
Size / Price
Qty
Loading...
NBP3-42926

Key Product Details

Species Reactivity

Human

Applications

Immunohistochemistry, Western Blot, ELISA

Label

Unconjugated

Antibody Source

Monoclonal Mouse IgG2B Clone # 2C9

Format

BSA Free

Concentration

Please see the vial label for concentration. If unlisted please contact technical services.

Product Specifications

Immunogen

angiomotin - (Uniprot# Q4VCS5)

Clonality

Monoclonal

Host

Mouse

Isotype

IgG2B

Theoretical MW

130 kDa.
Disclaimer note: The observed molecular weight of the protein may vary from the listed predicted molecular weight due to post translational modifications, post translation cleavages, relative charges, and other experimental factors.

Description

Novus Biologicals Mouse AMOT Antibody (2C9) - BSA Free (NBP3-42926) is a monoclonal antibody validated for use in IHC, WB and ELISA. All Novus Biologicals antibodies are covered by our 100% guarantee.

Scientific Data Images for AMOT Antibody (2C9) - BSA Free

AMOT Antibody (2C9)

Western Blot: AMOT Antibody (2C9) [NBP3-42926] -

Western Blot: AMOT Antibody (2C9) [NBP3-42926] - GC-7901 cells were subjected to SDS PAGE followed by western blot with (AMOT Antibody) at dilution of 1:2000
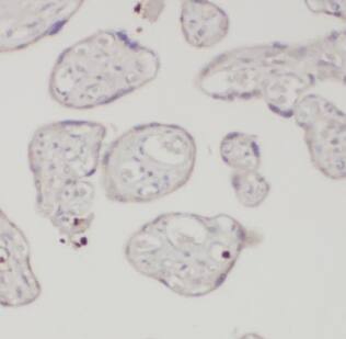
AMOT Antibody (2C9)

Immunohistochemistry: AMOT Antibody (2C9) [NBP3-42926] -

Immunohistochemistry: AMOT Antibody (2C9) [NBP3-42926] - Immunohistochemistry of paraffin-embedded human placenta using (AMOT antibody) at dilution of 1:100

Applications for AMOT Antibody (2C9) - BSA Free

Application
Recommended Usage

Immunohistochemistry

1:20 - 1:200

Western Blot

1:1000 - 1:10000

Formulation, Preparation, and Storage

Purification

Protein A or G purified

Formulation

PBS (pH 7.3), 50% glycerol

Format

BSA Free

Preservative

0.02% Sodium Azide

Concentration

Please see the vial label for concentration. If unlisted please contact technical services.

Shipping

The product is shipped with polar packs. Upon receipt, store it immediately at the temperature recommended below.

Stability & Storage

Store at -20C. Avoid freeze-thaw cycles.

Background: Angiomotin

AMOT belongs to the motin family of angiostatin binding proteins characterized by conserved coiled-coil domains and C-terminal PDZ binding motifs. The encoded protein is expressed predominantly in endothelial cells of capillaries as well as larger vessels of the placenta where it may mediate the inhibitory effect of angiostatin on tube formation and the migration of endothelial cells toward growth factors during the formation of new blood vessels. Alternative splicing results in multiple transcript variants encoding different isoforms. [provided by RefSeq]

Alternate Names

AMOT, CAG-2

Gene Symbol

AMOT

Additional Angiomotin Products

Product Documents for AMOT Antibody (2C9) - BSA Free

Certificate of Analysis

To download a Certificate of Analysis, please enter a lot number in the search box below.

Product Specific Notices for AMOT Antibody (2C9) - BSA Free

This product is for research use only and is not approved for use in humans or in clinical diagnosis. Primary Antibodies are guaranteed for 1 year from date of receipt.

Loading...
Loading...
Loading...
Loading...